【基本信息】女,19岁
【疾病类型】附件炎、输卵管卵巢炎、输卵管积脓、盆腔积液
【治疗医院】青岛大学附属医院(三甲)
【治疗方案】“哌拉西林钠他唑巴坦钠4.5G Q8h+奥硝唑0.5G Q12h”静脉滴注抗感染治疗,同时一天两次口服金藤妇康合剂 125ml,后期加用盐酸米诺环素(美满霉素)治疗
【治疗周期】16天
【治疗效果】血常规恢复正常,出院时盆腔脓肿较前明显缩小,疼痛症状消失,后期复查盆腔脓肿消失,患者对目前的治疗效果表示非常满意。
一、初识患者
一天门诊来了个小姑娘,因为肚子疼痛不适一个月来就诊,详细询问病情,姑娘19岁,有*生活性**,之前流产1次,没有其他疾病。近1个月下腹部疼痛不适,持续性,无发热,无腹泻,无不规则阴道流血,当地医院就诊,妇科超声及盆腔CT均未提示异常,予以抗生素治疗半个月,效果欠佳,仍有腹痛,来看门诊。
二、 患者的治疗过程
小姑娘捂着肚子,面露尴尬跟我说:医生快帮我看看到底怎么回事儿?我立刻对患者进行了门诊妇科查体:宫体前位,略大,有压痛;双侧附件增厚,有压痛。我立即给患者开了血常规和超声进一步检查。不一会儿,小姑娘就拿着检查结果回来了,血常规:白细胞计数 15.49*109/L,中性粒细胞比率 82.20%,C反应蛋白 90.53mg/l,结果所示白细胞计数,中性粒细胞比率,C反应蛋白都升高,提示细菌感染。
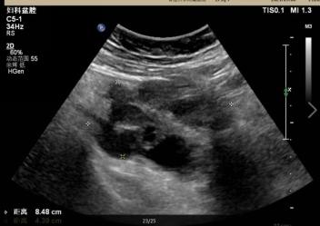
妇科超声(图1):右附件区见8.5x5.0x4.4cm囊性包块,壁厚,欠光滑,呈迂曲管状,内透声欠佳,见细密点状回声,囊壁见点条状血流信号;左附件区见6.7x5.4x4.8cm囊性包块,壁厚,欠光滑,局部呈迂曲管状,内透声欠佳,见细密点状回声,囊壁见点条状血流信号,内见少许卵巢组织,与卵巢分界不清;子宫前方见深约3.3cm液性回声,均透声可。超声提示:输卵管卵巢炎、输卵管积脓可能,盆腔积液。

妇科超声提示:输卵管卵巢炎、输卵管积脓可能,盆腔积液。
患者较年轻,尚未生育,治疗上以抗菌药物治疗为主,根据经验应该选择广谱抗菌药物以覆盖可能的病原体,包括淋病奈瑟菌、沙眼衣原体、支原体、厌氧菌和需氧菌等。且在确诊之后应该立刻治疗,及时合理的应用抗菌药物与远期预后直接相关。同时,中医、中药和物理治疗在盆腔炎性疾病的治疗中具有一定作用,在抗菌药物治疗的基础上,辅以康妇消炎栓、盆腔炎汤等中药治疗,可以减少慢性盆腔痛后遗症的发生。
在治疗前予以完善阴道内分泌物细菌培养、支原体培养、衣原体检查、淋球菌培养等,结果提示:解脲脲原体、人型支原体阳性,其余结果均未见明显异常。
所以,对该患者的治疗方案如下:静脉“哌拉西林钠他唑巴坦钠4.5G Q8h+奥硝唑0.5G Q12h”联合抗感染治疗;同时应用中成药治疗:金藤妇康合剂 125ml 一天两次口服;同时根据药敏结果(药敏结果见下图)加用盐酸米诺环素(美满霉素)治疗。

药敏结果
三、 患者的治疗效果
小姑娘非常配合治疗和定期复查,平均每隔7天左右前来复查血常规,根据检查结果显示:白细胞计数、中性粒细胞百分率的指标均已下降并恢复到基本正常范围(见下图),妇科超声盆腔脓肿较前明显缩小,后期复查超声盆腔脓肿消失,疼痛症状消失。患者对目前的治疗效果表示非常满意,露出了开心的笑容。


四、患者注意事项
1.注意休息,加强营养。
2.伴侣应定期进行检查,如果也为支原体感染,应同时进行治疗。
3.在治疗期间应避免无保护*生活性**。
4.一定遵医嘱规范、足疗程应用抗生素。
5.出院后继续口服我院中成药:盆腔炎汤。
6.在治疗后要定期复查。
五、医生感悟
时代发展到今天,一味批判婚前*行为性**似乎已没有多大意义,这是件既无需提倡鼓励、也无需如临大敌的事。但一定要特别注意的是要进行保护性的*行为性**,特别是伴侣不固定的时候,无保护*行为性**容易导致疾病甚至性病的发生。像这位小姑娘,正值青春花样好年华,如果能注意保护自己就会减少患病的可能,所以青春期女性一定要学会保护自己。
附件炎是一种常见的妇科类疾病,多发于成年女性,附件炎主要发病原因与年龄,*生活性**的数量和频率,尤其是*行为性**方面有很大关系,年轻者患附件炎的几率高于年纪大者,过早的存在*生活性**是比较容易存在妇科炎症的,多个*伴侣性**、*生活性**过频、经期*交性**等,都会增加感染的风险。
出现附件炎并不可怕,无须过度恐慌,只要及时就医,积极配合医生对症治疗,是可以有效恢复的。像这位小姑娘,药物治疗就可治愈。所以当身体不舒服时一定要及时到正规的医院进行检查,选择最为科学的治疗方案,积极配合医生进行治疗。
#了不起的中国医师#
#关爱女性#