北京海军总医院神经内科顶级专家邱峰主任的课,讲的很棒❤
题目:前庭性偏头痛的治疗和鉴别
------
医学V直播:国内免费的医学直播交流平台
♥如今,多数医生都会遇到心脑疾病患者... 在这里,有全国顶级心脑专家授课!
♥发愁,因为凑不够学分还要搞科研论文! 在这里,在线学习可以申请学分!
♥当你,遇到棘手患者不会诊治怎么办? 在这里,提出问题就能获得解答!
------
课程简介
临床上常见的三大症状:疼痛,发热,头晕。神经内科中最常见的就是头痛和头晕,而前庭性偏头痛的主要症状是头疼和眩晕。本讲座介绍了前庭性偏头痛的诊断标准,及与其他头疼的鉴别方法。
概况
19世纪的神经病学家即发现偏头痛与眩晕之间的关联;流行病学调查:25%~26%的偏头痛患者出现眩晕;长期被认为是偏头痛和头晕两个诊断;易被误诊为“颈椎病”、“椎基底动脉供血不足”等。
曾用过的概念:偏头痛相关性眩晕/头晕,偏头痛相关性前庭病,偏头痛性眩晕,偏头痛等位征。
临床症状
1. 临床症状
任何年龄可罹患,发病年龄较偏头痛晚;反复发作自发性眩晕伴恶心,有时呕吐;畏声、畏光、喜静、烦躁;可有事物模糊,偏盲;少数短暂意识模糊。
发作时间大多持续1小时内(数十秒至数小时或数日),一般经过休息后或睡眠(次日)好转;无或有明显头痛,头位变化时头晕加重,无特定方向性;有或无偏头痛史;随年龄出现偏头痛形式的转变:
头晕/眩晕-----偏头痛-----头晕/眩晕
青少年-----青中年-----老年(更年期后)
2. 临床表现
女性占2/3以上;反复发作的一侧或两侧搏动性头痛;10岁前、20岁前、40岁前发病率分别为25%、55%、90%;大多数患者有偏头痛家族史;发作前前驱症状(呕吐、畏光、畏声、抑郁、倦怠),10%有视觉或其他先兆;发作频度不等, 偶有持续性发作病例。
诊断标准
1. 诊断标准的变迁
VM在最新的国际头痛疾病分类第3版(ICHD-3)中作为一种新的分类被单独列出,删除了曾提出的可能的VM,只保留了VM的诊断标准。而在Barany学会头痛分类中,除了VM,还保留了很可能的VM的诊断标准。
2. 前庭性偏头痛诊断标准(2013年最新ICHD-3头痛诊断标准)
A.至少5次中重度的前庭症状发作,持续5min~72h;
B.既往或目前存在符合ICHD标准的伴或不伴先兆的偏头痛;
C.50%的前庭发作时伴有至少一项偏头痛性症状:
①头痛,至少有下列两项特点:单侧、搏动性、中重度疼痛、日常体力活动加重头痛;
②畏声及畏光;
③视觉先兆;
D.难以用其他前庭或ICHD疾患更好地解释。
3. 可能前庭性偏头痛诊断标准(2012年Barany学会与国际头痛协会共识)
A.至少5次中重度的前庭症状发作,持续5min ~ 72h;
B.前庭性偏头痛的诊断条件B和C中仅符合一项(偏头痛病史或发作时的偏头痛样症状);
C.难以用其他前庭或ICHD疾患更好地解释。
治疗
1. 发作时治疗:止吐剂,非甾体类抗炎药(NSAIDs),曲坦类药物。
2. 紧急治疗:乙酰水杨酸 (iv)、类固醇。
3. 预防性治疗:受体阻滞剂、氟桂利嗪、阿米替林。
鉴别诊断
1. 原发性头痛
(1)连续性偏侧颅痛 Hemicrania Continua
患病率约为1%;女性多见,发病高峰年龄30岁;52%的HC患者被误诊为偏头痛;40%的患者在症状加重期符合偏头痛诊断标准;疼痛常为单侧,偶可见疼痛侧转换;69%的疼痛为搏动性;75%的患者会伴有颅内自主神经系统症状,比如流泪,鼻粘膜充血症状较偏头痛(56%)患者更常见。
(2)丛集性头痛 Cluster headache
一侧眶周密集发作性剧烈头痛;发病较偏头痛晚,平均25岁,男:女=4~5:1;每天固定时间发作多,持续15min~3h;伴同侧结膜充血、流泪、流涕和 Horner征等;可伴头痛侧眼睑下垂,反复喷嚏;饮酒和血管扩张药可诱发。
(3)新发每日持续性头痛 New daily persistent headache, NDPH
从疼痛发作起始就是每天都发作;24小时内持续性无缓解;症状持续超过3个月;NDPH伴有很多偏头痛样症状,20%的患者既往有偏头痛病史。
(4)枕神经痛 Occipital neuralgia
疼痛部位:常局限于一侧或两侧后枕部或兼有后颈部的疼痛。
疼痛性质:多呈针刺样、闪击样、脉冲式疼痛。
诱发因素:头部活动、咳嗽等。
临床体征:枕大神经出口处压痛,并可向同侧枕、顶部扩散。枕大神经支配区痛觉过敏、减退。
(5)紧张型头痛 Tension-type headache, TH
临床表现:双侧枕部或全头部紧缩性或压迫性头痛;临床最常见的慢性头痛, 约占头痛病人的40%。
可能的病理生理机制:肌肉和肌筋膜结构收缩或缺血;细胞内\外钾离子转运障碍;CNS单胺能递质慢性和间断性功能障碍。
(6)痛性眼肌麻痹 Painful ophthalmoplegia
海绵窦特发性炎症伴头痛和眼肌麻痹;任何年龄, 壮年多见;球后和眶周顽固胀痛、刺痛及撕裂痛, 伴恶心、呕吐;痛侧眼外肌麻痹, 表现上睑下垂、眼球活动障碍;持续数天至数周缓解, 数月至数年后又可复发;皮质类固醇口服有效。
2. 继发性头痛
(1)动静脉畸形 AVM
48%的患者可表现为无特征性头痛;AVM患者可出现偏头痛样疼痛,伴或不伴视觉症状,尤其是枕叶病灶患者;由于AVM导致的头痛通常为非典型偏头痛,很少能符合ICHD-3偏头痛诊断标准;
95%表现为非搏动性疼痛。
(2)颈动脉夹层 Carotid artery dissection, CAD
8%自发性CAD患者可仅表现为头痛或颈部疼痛;20%的患者可出现雷击样疼痛发作;60%-95%的颈内动脉夹层(ICAD)患者在出现神经系统症状和体征前4天即可出现头痛;91%的ICAD患者头痛为同侧疼痛,主要位于额颞区、下颚、耳部,通常为刺痛而不是搏动性疼痛,可伴恶心、呕吐;25%的患者出现Horner综合征以及上睑下垂和瞳孔缩小。
(3)椎动脉夹层 Vertebral artery dissection, VAD
后颈部或枕部,压力性或搏动性疼痛,可波及肩部;70%椎动脉夹层(VAD)患者在出现NS症候14.5小时前即可出现头痛和颈部疼痛症状;夹层蔓延至颅内椎动脉时,出现眩晕、复视和外侧延髓或小脑梗死的体征,很少伴有恶心、呕吐、畏光畏声等偏头痛样特征;也可导致蛛网膜下腔出血。
(4)颞动脉炎 temporal arteritis, TA
年龄大于50岁新发头痛患者需考虑TA可能;老年女性多见,>70岁发生率约29.6/100,000/年;72%患者头痛是最常见的,33%患者头痛为首发症状;疼痛性质为搏动性或刺痛性,为急性或亚急性起病,可为持续性或间歇性,疼痛程度不等,可位于头部任何部位。
临床研究
1. 目的:
分析综合医院神经内科门诊以及住院的前庭性偏头痛(VM)患者的症候特点,以减少临床误诊和漏诊。
2. 方法:
连续收集海军总医院神经内科诊断的226例VM患者的临床资料,根据病史、临床症状和体征、相应的辅助检查结果,分析本组患者的临床症候。
3. 结果:
平均就诊年龄51.7岁,男、女性别比为1:1.48;97.3%的患者眩晕发作时有共同的伴随症状,包括畏光、畏声、喜静、心烦、不敢睁眼、视觉症候等;每次发作持续时间为数十秒至数天不等。
头痛与眩晕首次发作的时间前后顺序不固定。
53.1%:头痛早于眩晕数年出现;
35.8%:眩晕始终与头痛相伴;
10.2%:头痛晚于眩晕;
1.8%:整个病史中无头痛发生,仅表现为间断的眩晕或头晕症状。
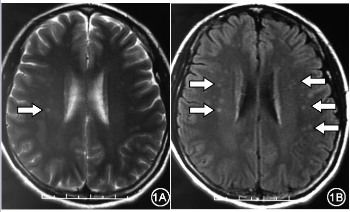
头颅MRI显示42例(43.3%)患者半卵圆中心内可见多个散在点状的长T2或液体衰减反转恢复 (FLAIR) 序列上呈高信号,而在T1WI序列呈等信号。


图 头MRI
课程小结
VM发病机制复杂,临床表现多样,发作形式有一定规律性,需注意与类似疾病的鉴别;VM主要表现为突出的前庭症状,不能仅以有无头痛症候来判断是否为VM!

订阅医学V直播,访问微信号【医学V直播心脑时间】,您可以免费在这里找到北上广最好的专家课程,听课、提问、获得解答。
头晕与眩晕怎么鉴别?脑炎如何诊断与治疗?癫痫的治疗规范方法?路易体痴呆的诊断?心脏科各类相关治疗方法有什么技巧?
北京协和医院、*013院医**、天坛医院、宣武医院和上海华山医院专家会为您解答。
更多讲座请登录:www.yxvzb.com,关注官方微信号:vzb0066