年轻女性,典型阑尾炎表现,但CT检查意外发现了什么? #我要上头条# #微头条日签#急性阑尾炎是外科常见病,居各种急腹症的首位。转移性右下腹痛及阑尾点压痛、反跳痛为其常见临床表现,但是急性阑尾炎的病情变化多端。其临床表现为持续伴阵发性加剧的右下腹痛、恶心、呕吐,多数病人白细胞和嗜中性粒细胞计数增高。右下腹阑尾区(麦氏点)压痛,则是该病重要体征。急性阑尾炎一般分四种类型:急性单纯性阑尾炎,急性化脓性阑尾炎,坏疽及穿孔性阑尾炎和阑尾周围脓肿。
病因主要有:1.梗阻:阑尾为一细长的管道,仅一端与盲肠相通,一旦梗阻可使管腔内分泌物积存、内压增高,压迫阑尾壁阻碍远侧血运。在此基础上管腔内细菌侵入受损黏膜,易致感染。梗阻为急性阑尾炎发病常见的基本因素。
2.感染:其主要因素为阑尾腔内细菌所致的直接感染。阑尾腔因与盲肠相通,因此具有与盲肠腔内相同的以大肠杆菌和厌氧菌为主的菌种和数量。若阑尾黏膜稍有损伤,细菌侵入管壁,引起不同程度的感染。
临床表现主要有:腹痛,胃肠道症状,发热,压痛和反跳痛,腹肌紧张,皮肤感觉过敏等。
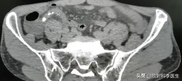
急性阑尾炎的CT表现:阑尾增粗,直径>6mm,阑尾壁增厚,阑尾腔内见粪石形成,阑尾周围脂肪间隙模糊,邻近肠管管壁可增厚,侧腹膜可增厚,有时可引起局限性腹膜炎表现,阑尾穿孔后可形成阑尾周围脓肿,有时可见气液平面。


急性阑尾炎伴粪石形成
原则上急性阑尾炎,除黏膜水肿型可以保守后痊愈外,都应采用阑尾切除手术治疗。
憩室炎,是和急性阑尾炎不同的急腹症,其发生率比急性阑尾炎少。憩室是肠黏膜层因肠内压力长期过高而被压入结肠肌肉的格状结构中而形成。结肠憩室可分为先天性和后天性两种,以后天性为多。憩室的形成,尤其是在左结肠,几乎皆为老化现象,年纪越大,越容易发生。憩室本身并不会造成任何问题,但若其开口被阻塞时,则形成憩室炎。
主要症状:在没有并发症发生时,憩室是没有症状的。若发炎时,则依其位置及严重度,症状可能是腹痛、便秘或腹泻、便血、发烧或寒颤、恶心并呕吐等。如果憩室炎发生在升结肠近端的肠管,邻近阑尾时,发生憩室炎时,其表现症状有可能会类似急性阑尾炎的表现,例如转移性右下腹痛。
憩室炎CT表现:憩室壁增厚,憩室腔内见高密度影,憩室周围脂肪间隙模糊,邻近肠管管壁增厚,有时邻近侧腹膜增厚,伴有局限性腹膜炎表现。

憩室炎伴粪石形成
憩室炎一般以内科疗法治疗即可;大部分憩室炎的发作,可以静脉注射抗生素治好,部份较严重的病患,则应禁食、插入鼻胃管及静脉注射补充液体。平常保养应保持排便正常,避免便秘。 对于那些憩室炎反复发作而对内科疗法无效的病人,可施以手术治疗,以切除病变的结肠段。