很多朋友到了老年,都会出现不同程度的膝关节疼痛。一般表现为钝性疼痛,病情进展缓慢,常于晨起或膝关节长时间停留在某一位置时,疼痛最为明显,稍加活动后,疼痛有所缓解。负重或膝关节活动过多时,疼痛再次加重,膝关节会出现僵硬,活动时常出现响声。如果出现了这些症状,很可能患上了退行性膝骨关节炎。

什么是退行性膝骨关节炎?
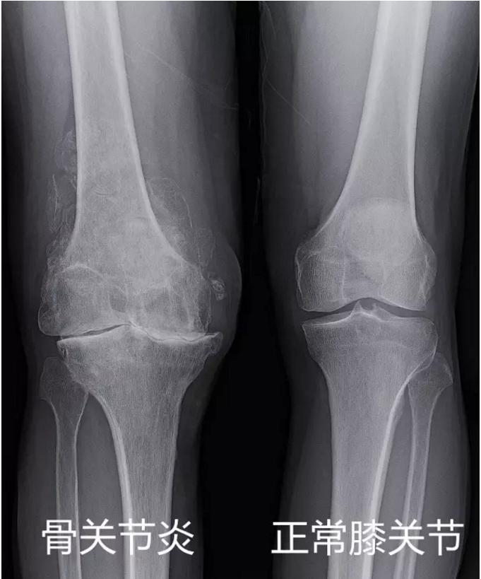
退行性膝骨关节炎是一种发生于老年人的膝关节衰老性病变,临床上以膝关节疼痛,肿胀,僵硬,活动受限为主要症状。主要原因是因为:各种因素导致的,关节内的软骨组织合成与降解失衡,从而导致软骨退化,甚至破坏。从而引发膝关节内的一系列的病理性反应所导致的疾病。

退行性膝骨关节炎在老年群体中发病率是非常高的,60岁以上的老年人,大约有50%的朋友患有这种疾病,70岁以上的患病率则高达78%。这是一种进行性加重的疾病,随着病情的加重,膝关节会发生关节不稳,屈伸活动受限,逐渐会出现下蹲、步行、跑跳能力严重下降,晚期还会出现下肢畸形。

出现这些症状是因为患者膝关节内的软骨发生变性、坏死、剥落,软骨下的骨质发生硬化,骨赘形成,关节内的滑膜充血,绒毛增生等病理改变引发的。
膝关节对老年人来说是一个非常重要的器官,膝关节有了问题不但严重影响老年人的运动能力,还特别容易造成老年人摔倒。对老年人来说,一次跌倒可能是致命的,往往会造成健康断崖式下降。即使不发生跌倒,退行性膝骨关节炎也会严重影响老人运动能力,影响老年朋友的生活质量。

退行性膝骨关节炎应该如何治疗?
退行性膝骨关节炎的治疗,以膝关节置换为主,但是由于手术创伤大,费用大,术后有一定的并发症风险,而且,患病的朋友多为高龄老人,很多人的身体状态无法耐受这种手术,所以,在临床应用上有一定的局限性。很多朋友会提出疑问,可不可以在不换关节的情况下治疗这种疾病呢?还真有。

如果患病的朋友由于各种原因不能做膝关节置换手术,也可以选择关节镜手术,关节镜手术是一种缓解症状的手术,并不是根治手术。手术医生会用关节镜清理悬浮絮状绒毛和增生的滑膜组织,去除影响关节活动的骨赘,清除关节内的软组织碎屑,取出游离体,修切破损的半月板、软骨,同时,大量的生理盐水冲洗关节腔,吸进腔内积液。
通过这些操作,可以有效清除病变软骨和坏死组织、炎症介质,改善膝关节内的环境。从而改善患病朋友的症状。但是,手术后的症状改善,因人而异,并不是所有人都会取得良好的效果的,有的朋友甚至感觉不到任何改善。这时候,医生往往会选择第三种治疗方式,膝关节内注射玻璃酸钠。

玻璃酸钠属于大分子黏多糖,是关节液和软骨基质的主要成分,在关节腔内起着润滑、保护关节软骨,改善病理性关节液等重要功能,对维持关节功能有着极其重要的作用。关节镜手术之后,关节内的滑液丢失,可以引起大量的炎症反应和水肿。
这也是为什么很多关节镜手术术后的朋友疼痛还会加重的一个重要原因,及时的补充玻璃酸钠,除了可以发挥黏弹剂的补充治疗作用外,还可以保护术后患者关节腔内的组织结构,诱导膝关节内的滑膜细胞分泌内源性的玻璃酸钠。

同时,注射的玻璃酸钠还可以在受损部位形成屏障,防止病损的进一步扩大。可以阻止炎症反应的发生,利于修复软骨损伤。因此,对于关节镜手术之后的患者,及时补充玻璃酸钠是非常重要的。在临床上张医生也观察到,一些病人即使未做关节置换或关节镜手术,单纯通过注射玻璃酸钠,也取得了不错的疗效。

看到这里,可能有些老年朋友会觉得糊涂,到底应该选择哪种治疗方式,下面我们就来聊一聊这方面的问题。
这三种治疗方法应该如何选择?
这是一个非常专业的问题,建议尽量在专业运动医学医生的指导下进行。在这里,张医生可以给您一些比较简单的建议:
- 关节轻微疼痛,活动没有明显受限,关节无畸形,这种情况可以先行关节注射玻璃酸钠治疗,一个疗程后如果症状仍不缓解,可考虑行关节镜手术。
- 关节疼痛较明显,活动有明显受限,关节无畸形,建议行关节镜手术,术后必须及时在关节腔内注射玻璃酸钠。
- 关节疼痛明显,活动明显受限,关节畸形,此时应用上面两种办法已经很难解决问题,建议行膝关节置换手术。

这只是最简单的评定办法,在临床上还有很多问题需要考量,决定一种疾病的治疗方式需要系统的思考。在这三种治疗方式中,膝关节注射是最安全的,也是应用最广泛的,而且很多时候会取得意想不到的疗效。
总之
退行性膝骨关节炎是老年人常见的一种膝关节退行性病变,治疗方式有膝关节置换,关节镜手术和膝关节注射玻璃酸钠,由于各种原因,很多老年朋友不能接受膝关节置换手术,从而选择关节镜治疗和注射玻璃酸钠治疗,也可以取得一定的疗效。

关于“老年人患上退变性膝骨关节炎,是换关节、膝关节注射,还是关节镜治疗”的问题,今天就聊到这里,如果您赞同张医生的观点,欢迎您关注、点赞或留言,创作不易,感谢支持,如果您还有其他的问题或看法,也请您在留言区留言,好的问题,也是张医生创作灵感的重要来源,期待着您对我的帮助,我是神外医生张伟,我们下次再见。

#健康明星计划##谣零零计划##生命召集令超能团#@月光海棠@于福田医生@想好好做医生的胖子