陆博,口腔医学博士,苏州口腔医院副主任医师,擅长美学正畸。热衷于用简单浅显的文字,为您打开口腔知识大门,欢迎关注。
近几年,大家对口腔健康越来越重视。
有蛀牙就补,有牙周炎就治疗,还有人已经超出健康层面,上升到对美观上的要求。
这本该是好事。
但部分商家却利用大家对口腔医疗的“盲区”,跳过正规医疗渠道,直接售卖材料。

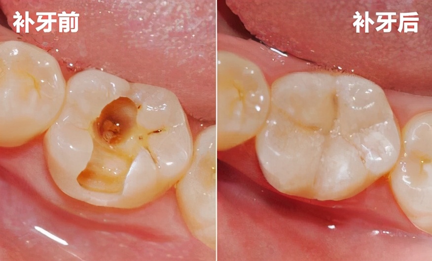
就拿“补牙”来说。
打开某宝搜索“ 补牙材料 ”,会出现一系列“ 自己在家就能补牙 ”的材料,最低 只要5元 ,还 包邮 ,着实令人震惊。

且不说材料安不安全,能不能放进嘴巴,难道补牙就是把材料,像砌墙一样塞进牙洞简单吗?
这样随意操作的结果只能是: 短暂遮住牙洞,不但不会解决蛀牙问题,还会带来一系列牙周问题。

并且,这会形成一个“恶性循环”——让越来越多的人产生“口腔行业是一个靠卖材料为生的暴利行业”的错误认知。
但 材料只是辅助 ,口腔行业真正值钱的地方在于,医生 精准的诊断 和 精湛纯熟的操作技术 。
这些是靠医生花了近十年的时间,研读苦学、不断练习而得来的,而不是靠材料。

为什么市场会这么混乱呢?
归根结底,不是商家黑心,而是 大家对于口腔治疗的认知不够 ,才让商家有可趁之机。
但凡我们多了解一点口腔知识,就是少一分被“坑”的风险。
那今天就聊一聊,补牙到底怎么补?钱都用在哪了?几十块和上千的补牙,差别到底在哪?
去除“垃圾”,保留牙体
牙齿之所以被蛀了个洞,是因为 细菌侵蚀牙体 。

蛀牙牙体
蛀牙细菌就是一袋“天然硫酸”,四处流窜。
如果放任不管,牙洞会越来越大,直到感染牙神经,整颗牙坏死。
如果只是简单地将牙洞填起来,细菌还是夹在材料和牙齿间,继续侵蚀牙体,等于白补。
所以补牙的第一步,就是清除病变的牙体。
此时你会听到机器“滋滋”的磨牙声,光听着就一阵牙酸有木有 ~

高速手机清除软组织
这一步非常考虑医生的技术和耐心。
如果彻底清除,反而会伤到牙齿内部的牙髓,引起炎症;
如果清除得不到位,病变组织还在,等于白磨。
短时间看不出差别,但时间一久,问题就暴露了。
只有根据症状,谨慎地在清除的基础上保留牙体,才能为后续的补牙打好基础。
酸化牙釉质
之前我们讲过,牙齿表面是一层比钻石还坚硬的物质—— 牙釉质 。
牙釉质洁白光滑,像陶瓷一样,根本粘不住补牙材料。
为了解决这个问题,就有了第二步操作—— 用酸蚀剂酸化牙齿 。
这样可以让牙齿的表面,暂时形成肉眼无法察觉的凹凸面, 增加摩擦力 ,为补牙做准备。

涂上酸蚀剂的牙齿
当然,随着技术发展,目前有一部分粘黏剂自带酸化功能,可以不用酸蚀剂啦。
但无论如何,努力提高材料的粘黏性,是医生和患者都希望的结果。
补牙材料多少钱
“医生,有没有又便宜又好用的补牙材料?”
“没有。”

补牙材料,占了所有部分费用中的大头,确实是“一分价钱一分货”。
但是,并不是价格越贵,就对你越好, 适合你的才是最重要的 。
一般来说,目前市面上有以下几个主流材料:
1.玻璃离子
目前市场上最便宜的材料 ,60—70一颗。
由于与牙齿本色有差别,很容易被看出来,所以是 大部分老年人的选择 。
2.纳米树脂
如果让医生推荐一款 性价比最高 的材料,非他莫属。
纳米树脂是目前使用最多的补牙材料,优点有两个:
一是 贴近天然颜色 ,补上几乎看不出来;二是 坚固耐用,不易脱落 。

而且价格也很亲民,一 颗200+(具体根据地区经济水平)。
也就是说,如果保护得当,300块不到价格,可以使用十几年,甚至几十年。
3.声波树脂
可能大部分人没有听过“声波树脂”。
它是补牙材料中的“奢侈品”,号称是效果最好的补牙材料。
作为补牙材料来说,虽然贵了点,但是让人家拥有别的材料没有的优良性能呢?

其中不得不提它最强大的功能—— 修复大面积蛀牙 。
曾有医生表示:“哪怕蛀牙只剩一半,声波树脂也能给你补起来。”
可见修复能力之强大,也算对得起平均 600—700元一颗的价格了。
不过还是那句话,适合自己的就是最好的,如果你只是普通的蛀牙,纳米树脂就可以了。
上千块的补牙,哪来的?
“明明只是去补牙,结果花了上千块,这是什么‘补牙’?”
哈哈,上千块那叫“根管治疗”,不仅仅是单纯的补牙。

什么是“根管治疗”?
通俗点讲,就是 对牙齿根管进行“大扫除” ,还它干净健康状态的治疗。

我举个简单的例子。
在一盆清水里倒一瓶黑墨水后,是无法再将墨水分离出来的。想要得到一盆清水,只能将这盆“脏水”倒掉。
这就是根管治疗的原理。
当蛀牙细菌深入牙髓时,普通补牙已经救不了牙齿了,此时只能清除根管里的牙髓,还牙齿一个干净的状态。

如果不清理,细菌会顺着根管往下跑,可能会危害整个口腔系统,问题只会更严重。

由于根管治疗操作很复杂,非常考验医生的技术,所以我们会单独出一篇详细讲讲。
总之,发现蛀牙赶紧补,不要拖到补不了,就只能做根管治疗了。
雕刻窝沟,呈现完美
牙齿上有凹凸不平的纹路,像齿轮一样契合,保证牙齿能切断、磨碎食物。
如果牙齿咀嚼面是平整的,或是直接补上不加调整,就会造成“咯牙”“咬不动”等异物感。
为了不影响吃饭,专业的口腔医生会在补牙后,将补牙的部分“雕刻”成牙齿原本的形状。

就像雕刻一件工艺品,这个过程需要反复调试,精雕细琢。
虽然不难,但需要医生的耐心、坚持和不敷衍。

看到这里,相信你对“补牙”已经有了一定了解,至少不会再被忽悠。
也能够明白,再好的材料,也需要专业的操作;
比起高昂的材料,更重要的是医生的责任心和医术。
这,才是治疗的关键和核心!

感谢阅读到这里~
如果你觉得本文真的让你学到了东西,希望你也 将本文分享给身边身边重要的的亲人和朋友 ,大家一起避开补牙的“雷”!
愿各位大朋友、小朋友——永远没蛀牙,健康常笑口!