半夜,急诊科来了一位病人,是一位28岁的女子。来的时候眉头紧锁、面色苍白、嘴唇发绀,手脚止不住地颤抖。他的男朋友非常紧张,好像做错事般低着头。

轮到他们的时候,医生询问男生到底发生了什么?男生支支吾吾地说:今天同房的时候,她突然惨叫了一声,然后下面就流出了很多血……
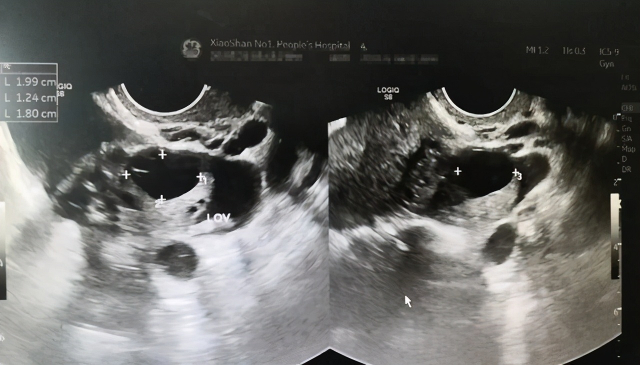
医生皱着眉头,开始给女孩做检查,经过腹腔B超检查发现,女孩左侧卵巢已经异常变大,里面的黄体出现了血肿。经过初步判断,该女生肚子里的出血量已经达到了1500ml,医生诧异地问:你想要她命吗?到底在搞什么?
男孩瞬间害怕,说:没啊医生,我不是故意的,我们今天就是换了个位置,她就这样了。

医生不再理睬男生,立即叫来了值班护士,告诉她们马上进行手术修补破裂的黄体,不然女生就要发生休克了。经过2h的抢救,女生最终脱离了生命危险,医生也松了一口气。
医生告诫这对情侣:像你们这样的年轻人,这个星期我碰到好几对了,夫妻生活不是打仗,别过火,很危险的。
黄体是什么?为什么不能让它破裂?
在女生的身体内,有一处名为黄体的组织结构,它是由排卵后卵泡转化的富有供血的腺体,新鲜时常以黄色表现,所以被称为黄体。
在临床上,黄体的种类分为两种,一种是没有受精的月经黄体,一般在女性月经前后出现,一种是已经受精的黄体,称为妊娠黄体,它的作用是分泌孕酮素、雌激素。
它在女生体内存在的时间长短,和是否受精相关,如果是月经黄体,那么它存在半个月左右就会萎缩,然后被结缔组织结巴代替变成白体。
如果卵子受精成功,黄体就会继续生长,一般会持续生长到怀孕后的六个月左右。它之所以呈现黄色,主要由粒黄体细胞和膜黄体细胞组成。

对于女生而言,黄体并不是毫无用处的东西,相反它的作用很大,能分泌多种女生必需的激素,参与女生内分泌的调节。
那么黄体有什么作用?首先,辅助怀孕。在月经开始前后,它可以刺激子宫黏膜腺体生长让子宫充血,增厚子宫内膜辅助受精卵植入。受精卵植入后,它又能辅助其产生胎盘,还能减少妊娠活跃性预防滑胎。
其次,辅助产乳。黄体可以配合雌激素刺激乳房腺体发育,做好产乳的准备。
第三,能使子宫颈关闭,减少粘液,使精子通透度减少,还能抑制促性腺素的分泌抑制排卵,保护已经受孕的关键过程。
为什么黄体不能破裂?
据临床统计,每年因为黄体破裂大出血的女性不计其数,有些非常严重者可能导致休克,不严重者会伴随着剧烈腹痛。一般来说,黄体破裂不直接导致女性死亡,但是有极少数个例因为失血过多失去生命,所以黄体破裂还是比较危险的。

在女性月经前后,黄体会充血异常鼓大,如果此时受到外力冲击、撞击就有可能造成破裂的危险,破裂后血液大量流出,可能导致不孕不育、卵巢黏连、失血过多的问题。
所以,你知道黄体为什么不能破裂了吧。
黄体破裂的原因和症状,望自查
可能出现黄体破裂的年龄,一般是从14岁到停经为止,只要女性开始出现月经,就有可能发生黄体破裂的危险,那么黄体破裂的诱导因素有哪些?

1,黄体可自行破裂
也不是所有黄体破裂都和*生活性**有关。黄体是一个充满丰富血流的腺体,它里面有数不清的毛细血管,当里面一条毛细血管发生破裂时,黄体内部就会出现强大的压力,一旦黄体较薄或者压力过强,黄体就有可能发生破裂出血。
自行破裂的黄体一般不用太过担心,因为多数可以治愈,如果患者凝血机制比较差或者出血量太大,才需要去医院做治疗。

2,*生活性**导致的黄体破裂
现在的年轻人玩的花样都非常多,因此双方可能会存在过猛的*生活性**,在门诊,我们经常看到因为*生活性**而来就诊的患者,黄体破裂自然也是多数。
特别在女性月经前后,黄体处于膨胀期,如果这个时候发生夫妻生活,双方的尺度还比较的大的话,就会容易造成黄体破裂的问题。可能上一秒还好好的,下一秒女性就因为失血过多而陷入昏迷。
3,某些疾病
疾病导致的黄体破裂虽然比较罕见,但也不是没有,当卵巢过分充血时,黄体就有可能出现黄体囊肿,然后发生破裂,一些子宫脱垂、急性阑尾炎的问题也有可能导致黄体破裂。
所以,黄体破裂不重要,重要的是规避导致黄体破裂的原因,让黄体不破裂。但是如果破裂了那也没办法,需要立即辨别清楚。
首先,腹痛。黄体存在于女性的盆腔中,因此如果它破裂了,那么女性的下腹部就会出现明显的疼痛。
其次,一些发生黄体破裂的女性会伴随着阴道流血、肛门坠胀的症状,这也比较好判断,只要阴道无原因流血,外加腹痛,就需要担心黄体破裂的问题。

第三,面色苍白。黄体破裂会导致失血,而女性因为每月都要来月经,因此本就处于贫血的边缘,所以稍微的黄体破裂失血就有可能导致低血压,表现为脉搏细速、额头细汗、面色苍白、晕厥等。
总结:
综上所述,黄体破裂是女性群体中较高发的问题,多数和过度的*生活性**息息相关,少数和疾病有关。所以医生告诫大家,在夫妻同房的时候,千万不能用“打仗”的方式对待彼此,否则出了意外是要付出代价的。