点击「神经介入在线」可快速关注
为医者
修学乃终身之事
而求学之路漫漫
有所犹疑
幸遇名师
名师亦惜好学之人
倾己经验传道授业
终解心中疑惑
俱欢喜

学员:中国卒中学会国际卒中介入培训学院取栓班A组学员吴志林(云浮市人民医院)
名师:中国卒中学会国际卒中介入培训学院导师高峰教授(首都医科大学附属北京天坛医院)
学员遇犹疑
病情信息
》女性,67岁。
》主诉:因右侧肢体无力,言语含糊14小时,于2016-7-17入院。
》既往史:既往有高血压、糖尿病18年,一直服用降血压、降血糖药物,未能坚持服用抗血小板及降血脂药物。
》查体:心率82次/分,血压160/100mmHg,神志嗜睡,言语含糊,右侧鼻唇沟变浅,口角向左侧歪斜,伸舌右偏,颈无抵抗,右侧肢体肌力3级,右侧巴氏征阳性。
》2016-7-17 外院颅脑CT检查示:左侧基底节区腔隙性脑梗塞。
》入院诊断:
1)左侧大脑半球急性脑梗死;
2)高血压病3级(极高危组);
3)2型糖尿病。
诊疗经过
入院后病情进行性加重进展较快,不完全性失语,右侧肢体肌力从入院时3级加重至0级,内科治疗2周。
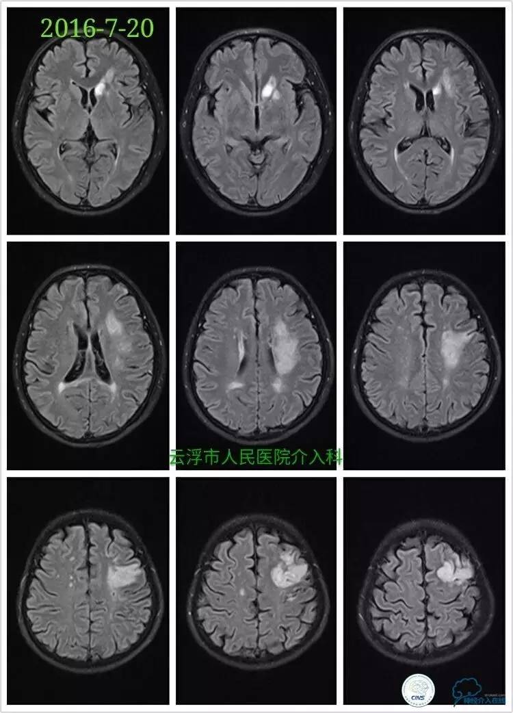
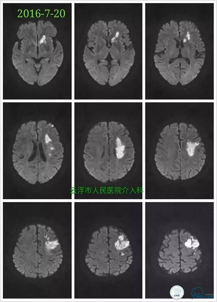
》2016-7-20
颅脑MRA检查:左侧额颞叶、基底节区、放射冠区急性脑梗塞,左侧颈内动脉颅内段重度狭窄。



》2016-08-02
行脑血管造影见:左侧颈内动脉交通段重度狭窄,左侧椎动脉开口重度狭窄,前交通、大脑前动脉、大脑后远端血管有部分代偿,左侧大脑中动脉区域侧支代偿不足。

再予一周术前准备:
血压、血糖管理,标准剂量双抗,强化他汀类降血脂,改善侧枝循环药物,营养支持等治疗,充分术前沟通。
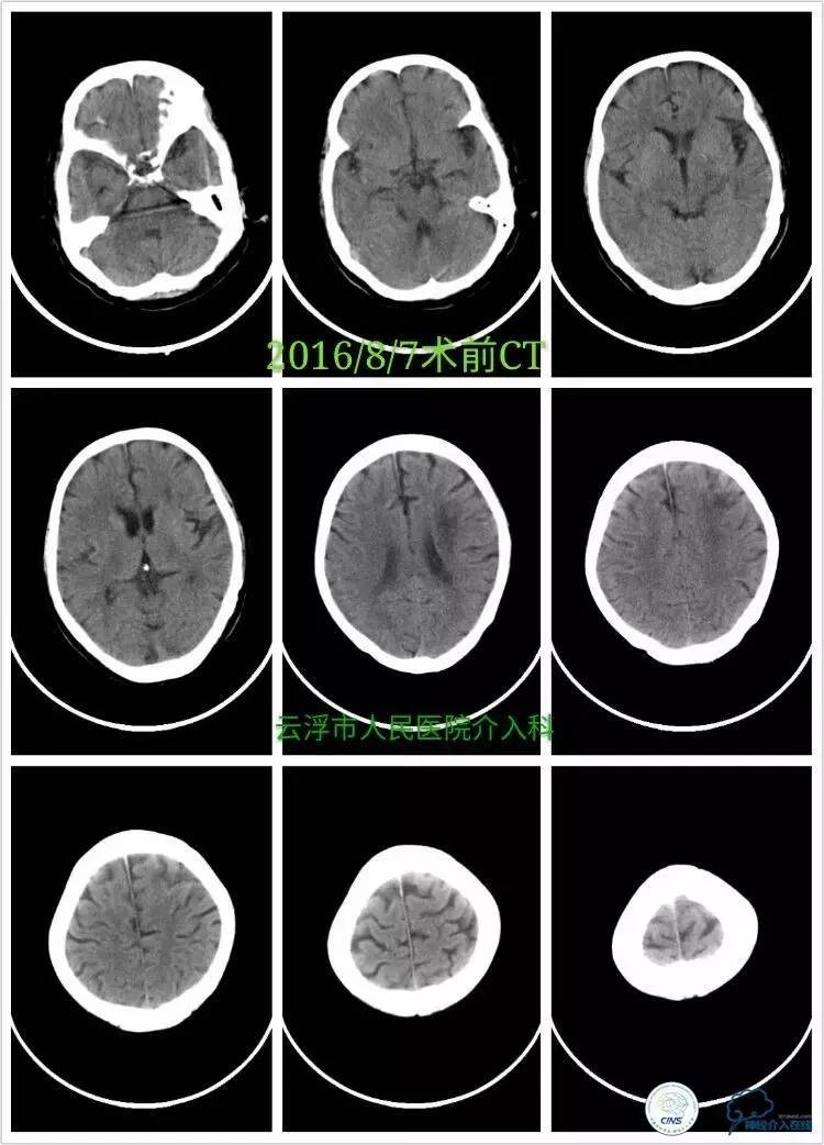
》术前颅脑CT平扫:

》2016-08-08
行左侧颈内交通段、左椎开口支架成形术治疗。

》左侧颈内交通段球囊扩张支架成形术:

》左侧椎动脉开口球囊扩张支架成形术:

术后
术后病情稳定继续行康复治疗。
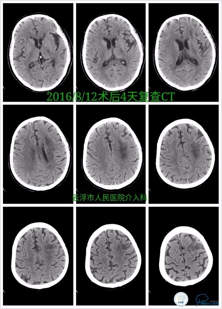
》术后第6小时复查颅脑CT:

》术后第四天颅脑CT:

术后第1周内观察患者认知、言语功能改善明显,右侧肢体肌力0级。
术后第3周观察患者部分混合性失语,右侧肢体上肢1级,下肢2级。
名师解疑惑

吴志林
学员
请问高峰老师对于进展性脑卒中这类型的病人,通过血管影像评估:存在颅内/外责任血管重度狭窄,存在缺血半暗带,侧枝循环代偿也不足够,不属于大面积脑梗塞灶,但梗塞病灶也不算特别小。一般是什么时候去干预好呢?
太早期去干预处理重度狭窄责任动脉血管又担心梗塞灶出血、高灌注等风险;时间拉得太长也担心一旦闭塞加重病情,或者担心因责任血管狭窄供血不足影响康复治疗效果。
这类型脑卒中血管内治疗干预接受过几个时间点观念:进展时急诊?2周以上?超过1个月?3个月?关注查阅过一些进展性脑卒中血管内治疗的相关资料,但是目前还没有找到一些有力的依据,概念还是比较模糊不清,在积累经验中。其实我一直认为是最应该在入院时病情进展时处理,但在基层工作因为各种原因,急诊术前评估有时也不能做得很完善,为了安全需要有所保留。
进展性卒中病人的血管内介入治疗目前尚有争议,相信急性卒中介入治疗证据确定,逐步推广后,下一个关注人群就是进展性卒中人群。
这部分人群可能获益仅次于急性卒中介入干预后,但机制和处理方式又介于急性干预和二级预防干预之间,获益也介于急性卒中和二级预防之间,顾忌也主要在于恢复血流灌注后出血转化并发症的发生,所以个人经验在处理此类病人时,掌握的原则也要参考急性卒中原则。
1)判断进展性卒中,尽早处理,在病情进展至NIHSS评分达到急性卒中处理标准(NIHSS >6分),影像评估评估ASPECTS>6分,侧支差,小梗死大半暗带,积极尽早处理;围手术期管理参照急性卒中介入围手术期管理;处理方式可能更倾向于二级预防处理方式(球囊扩张或支架成形),术后CT表现也类似急性卒中表现,急性梗死灶内可能有造影剂渗出表现严重可有出血转化,按急性卒中标准诊断和处理。
2)处理时间晚,卒中进展已达高峰持续时间长,则预后类似急性卒中超时间窗开通结局,预后不一定好,症状也很难短期内逆转,继续内科康复治疗,如起病症状即达高峰,超出急性干预时间窗,最好2-4周后,弥散影像指导下择期处理,目的也主要是二级预防和促进功能康复,逆转作用并非主要目的。

高峰老师
非常感谢高老师的详细解答,之前的困惑茅塞顿开,期待早日有相关指南推出。
这指南估计短期内不会推出,这部分人群做随机对照的难度太大了,更强调的是个体化治疗,影像评估还很难精确到急性半暗带、亚急性半暗带、慢性半暗带的精确鉴别。
高峰老师
