近日,医院为一名胰腺巨大假性囊肿的患者成功实施了超声内镜引导下胰腺假性囊肿穿刺胃内引流术,使患者避免了外科手术带来的创伤和疼痛。
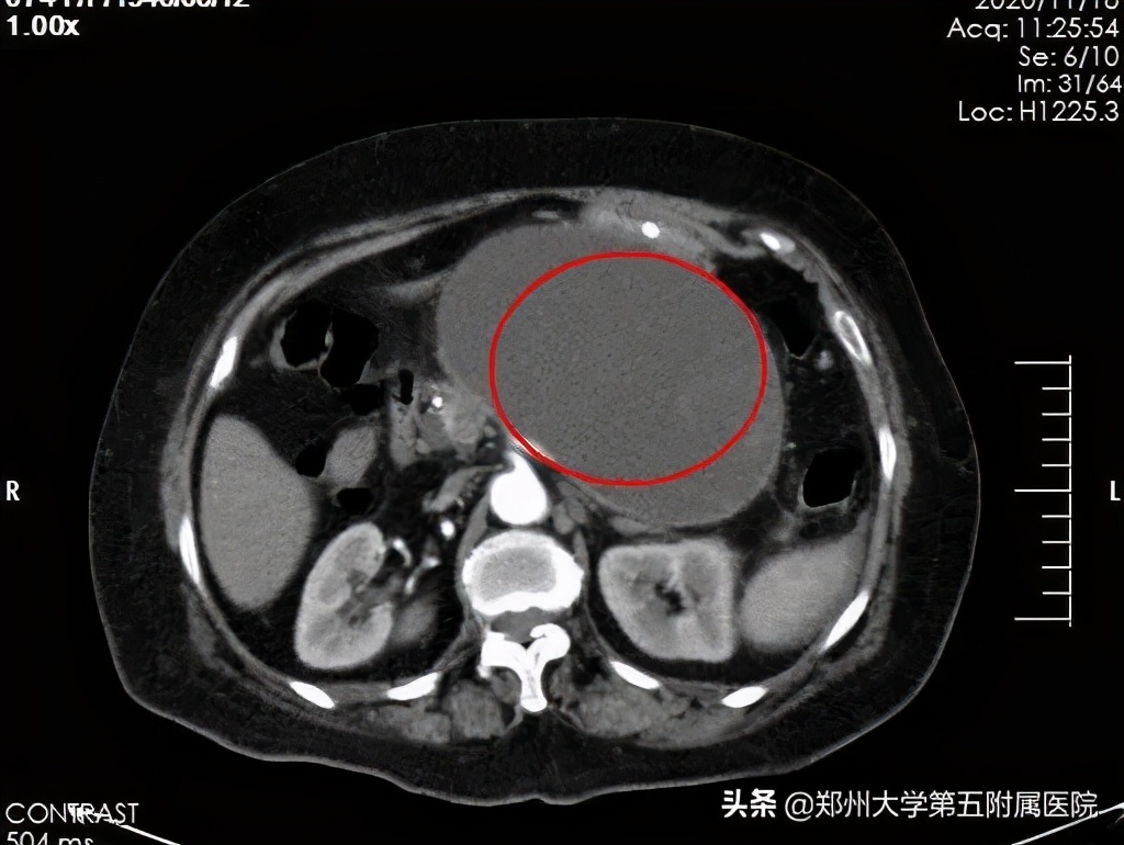
74岁的仇老太太今年8月底开始出现腹痛、腹胀、恶心、呕吐等症状,在当地医院确诊为“急性重症胰腺炎”。由于病情较重,辗转几个医院,治疗效果依然不满意,后来坏死的胰腺组织及渗出积液逐渐包裹形成了胰腺假性囊肿,观察8周胰腺假性囊肿逐渐增大,并出现了局部压迫症状,患者频繁恶心、呕吐,无法进食。后患者家属带她来到郑州大学五附院,查腹部CT提示胰腺体尾部巨大假性囊肿,大小近20cm。

老太太年纪大了,体质较差,从发病到现在将近3个月,几乎全在医院的床上度过,长时间的病痛折磨、禁食、卧床,后来更是留置空肠营养管,让她痛不欲生,体质更虚弱。经消化内科、外科等多学科会诊后,一致认为老太太适合创伤小恢复快的内镜下微创治疗。
消化内科二病区刘谦副主任医师为其制定了超声内镜引导下穿刺置管内引流术为最佳治疗方案。超声内镜(EUS),是将内镜和超声相结合的消化道检查技术,既能通过内镜直接观察消化道情况,还能通过超声实时扫描,可谓“强强联合”。而经超声内镜引导下胰腺假性囊肿引流术是近几年发展成熟的微创治疗方式,因其成功率高、创伤小、并发症低,是目前治疗胰腺假性囊肿较为理想的非手术治疗方法。在EUS的引导下,可以选择最佳的部位对胰腺假性囊肿进行穿刺,并在消化道和假性囊肿之间放置引流支架或导管,把囊肿里面的液体引流到消化道,囊肿一段时间就会消失。
在消化内镜中心主任郑权指导下,刘谦副主任医师先行超声胃镜检查,以确定囊肿的位置,大小,是否适合超声下穿刺置管引流,超声内镜显示囊肿15+cm,囊壁与胃壁距离小于1cm,病灶毗邻胃后壁,胃腔严重受压。在超声内镜引导下成功穿刺进囊肿,切开囊肿壁,大量脓液流出,囊肿明显缩小,后置入双猪尾支架和鼻囊肿引流管结束手术,术中引流囊液约1000ml。

▲ 超声内镜图见巨大囊肿及囊液

▲ 置管成功后囊液大量涌入胃腔

▲ 双猪尾支架

▲ 双猪尾支架及囊肿引流管
术后给予积极的抗感染治疗,在刘谦副主任医师和王文真医师以及护理团队的精心治疗下,术后患者腹胀明显减轻,3天后复查彩超及CT囊肿基本消失。由于创伤小,又是在无痛麻醉状态下施行操作,整个过程患者没有任何痛苦,术后第二天便下床活动。

▲ 术后复查CT
胰腺假性囊肿多继发于重症急性胰腺炎、慢性胰腺炎、胰腺损伤及胰腺外科手术术后胰漏,由血液、胰液外渗以及胰腺自身消化导致局部组织坏死崩解物等的聚积,不能吸收而形成,囊壁由炎性纤维结缔组织构成,囊内无胰腺上皮层衬垫,因此称为胰腺假性囊肿。对于胰腺假性囊肿,传统的治疗方法主要是外科手术和经皮穿刺引流。外科手术创伤较大,且需对消化道进行重建,影响解剖结构,术后患者不良反应较多。而经皮穿刺引流术容易引流不彻底,易感染和复发。超声内镜引导下胰腺假性囊肿穿刺置管支架内引流治疗术具有疗效确切、微创、花费少、痛苦小,恢复快、并发症少、复发率低等优点,已逐渐成为胰腺假性囊肿主要的和首选的治疗方法。该项技术的开展标志着郑州大学五附院消化内镜诊疗技术日臻完善,将更好地服务于广大病患。
超声内镜引导下胰腺假性囊肿内引流术适应症:
1.胰腺假性囊肿引起持续症状,如腹痛、早饱等.
2.胰腺假性囊肿压迫胃肠壁出现胃流出道梗阻、十二指肠梗阻、体重减轻等。
3.胰腺假性囊肿压迫胆总管引起发热、黄疸。
4.胰腺假性囊肿体积迅速增大。
5.胰腺假性囊肿并发感染、出血。