金女士(化名)在拿到病理报告,看到“乳腺癌”时,完全没办法思考这三个字代表着什么。
乳腺癌,目前已成为全球第一大癌症
女性卵巢会分泌大量的雌激素和孕激素来刺激乳房的生长,胸部里面可摸到的较硬的地方就是腺体组织,简称为乳腺。

医生表示, 常见的乳腺疾病包括乳腺增生,乳腺囊肿和乳腺纤维瘤等 ,不必过多恐慌,及时就医治疗。比如,现代生活中有70%-80%的女性存在不同程度的乳腺增生,多表现为乳房疼痛和乳房可摸到结节。乳腺增生多与内分泌功能紊乱,以及生气、焦虑和工作压力过大等情绪状态有关,需要遵医嘱,并及时调整心态和生活习惯。
而 乳腺癌,即发生在乳腺上皮细胞的恶性肿瘤。 并且,乳腺癌在女性癌症患者中,它的发病率和死亡率是最高的,目前已经成为“全球第一大癌症”,位于中国女性新发癌症病例数首位,也被称作“粉红杀手”。

当细胞生长发生异常,如乳腺癌易感基因BRCA1/2产生突变,其所具有的抑制肿瘤发生的功能就会受到影响,从而增加乳腺癌的发病风险。倘若出现不规则的乳房肿块、乳头溢液、流血和乳房皮肤异常、腋窝淋巴结肿大等症状需要加以重视。
乳腺癌并不是女性的专利,男性朋友同样具备乳腺组织,也需要注意预防和检查。
为什么偏偏是我患了乳腺癌呢?
乳腺癌的病因目前还未明确,除了基因突变、遗传因素之外,长期吸烟、饮酒、熬夜和肥胖等不良的生活方式,还有胸部接受过放射性治疗史等都是乳腺癌发生的高危因素。 大多数乳腺癌患者的早期症状都不明显,所以很容易就被忽视导致不能及时就医,发现的话就已经到了中晚期。
金女士在爱人的支持和鼓励下,接受了手术治疗,选择保乳手术。
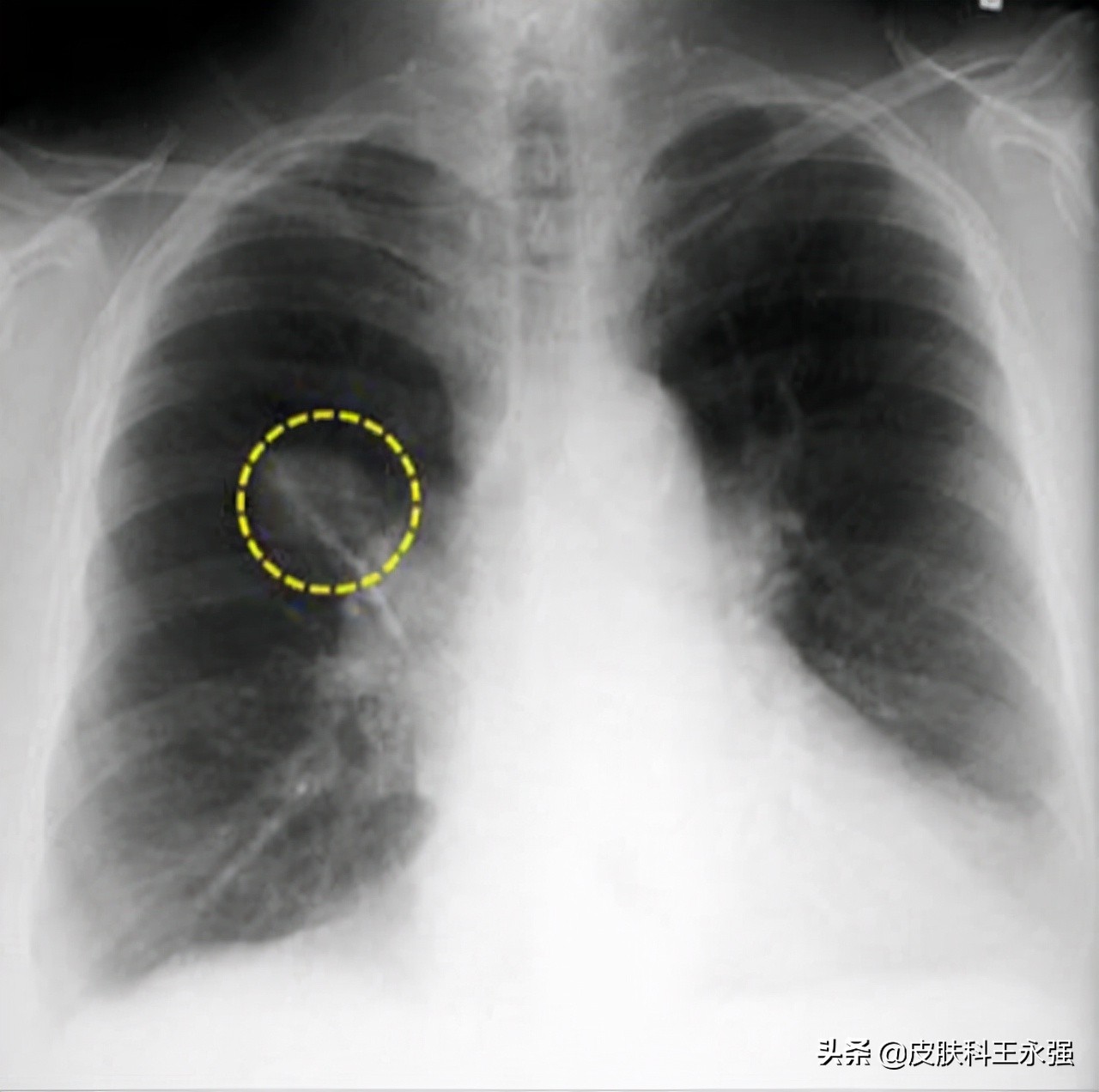
然而,一波未平一波又起,原以为可以很好的恢复。金女士再次复查时,却在肺部检查中发现了多个肺结节。

金女士问医生,这是因为乳腺癌的缘故吗?是癌细胞转移到肺部了吗?
乳腺癌术后发现肺部结节,并不一定是转移
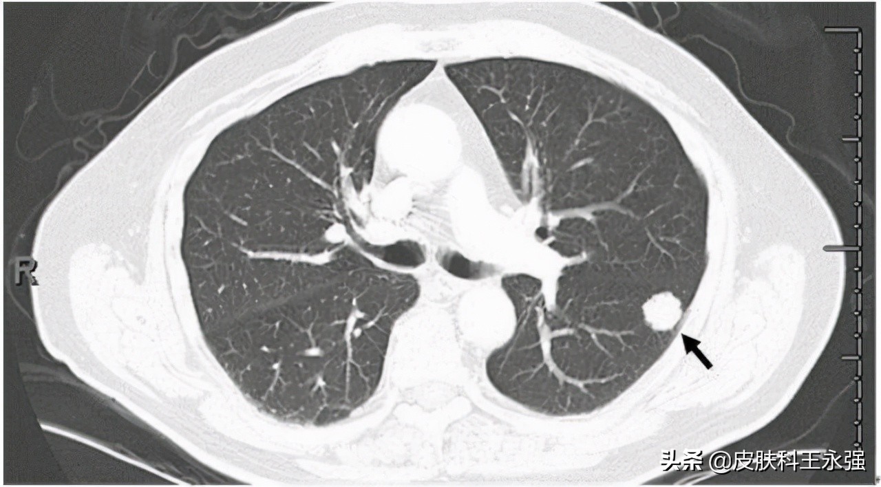
癌细胞失去了正常细胞的特性,就容易发生脱落,而游离的癌细胞可以通过淋巴和血液向远处转移,扩散至身体的其他部位。 肺部是常见的转移部位之一,乳腺癌、胰腺癌、肠癌和肝癌等均是比较容易发生肺转移的。
如果乳腺癌肺转移,就会存在肺结节,但是发现了肺结节,并不等于发生了乳腺癌肺转移。
倘若在乳腺癌发生之前,肺结节就已经存在,那基本上属于原发,排除转移的可能。而如果金女士所检查出的是肺部新增的结节,确实有转移的可能,而且可能性较大。这个时候需要综合的观察才能判断是原发的还是转移的。

金女士需要在3个月内复查,看结节是否出现变化,如果结节增多,就很大可能性考虑转移问题。
那么,原发和转移的区别是什么?
肺部组织因为血氧供应充足,就会容易受到癌细胞的侵犯。假设是乳腺癌肺转移,产生了肺结节,造成了肺部病变,可能会出现咳嗽咳痰等症状,严重的话产生胸部疼痛、气喘和咯血等。这意味着患者的病情发生了恶化,需要根据肺转移的数量和部位来选择合适的治疗方法,以免给身体带来更大的伤害。
而如果是肺部原发的肺结节,肺结核、炎性假瘤和肺部的局部炎症都可以引发肺结节。要检查结节是良性还是恶性,如果是原发性肺癌,需要定期观察随访。
肺结节就是肺癌吗?

结节是否就相当于癌症?肺结核、肺部局部的炎症都可以表现为小结节,也可以是肺部受到损伤后自我修复所产生的。因而,肺结节不等同于肺癌。
肺结节,一般指直径不超过3.0cm的,类圆形或者是不规则形状的病灶,可以是单发,也可以是多个结节。根据结节的大小,5-10毫米的又被细分为肺小结节,而小于5毫米的叫做肺微小结节。直径超过3.0cm的,就称之为肺部肿块。
很多人检查出得了肺结节,就认为自己得癌症了,离死不远了,一时间生活无望,产生焦虑、恐惧等消极情绪。但准确来说,即使存在恶变的可能,大部分的肺结节并不是肺癌。
肺结节又分为实性结节和磨玻璃结节,磨玻璃结节包括纯磨玻璃结节和混合磨玻璃结节。其中,不透明的实性结节和半透明的混合磨玻璃结节恶性程度较高,需要尽早就医。纯磨玻璃结节虽然生长缓慢,风险较小,但也要注意,以免发展为混合磨玻璃结节。
肺结节,同样有良恶之分。但90%以上都是良性的。直径小于8毫米的大多为良性,20毫米以上的有半数概率是恶性的。而对于良性的肺结节也不能够掉以轻心,需要定期检查,避免不能及时发现结节异常的可能情况而延误病情。直径越大的结节发生异常,恶变的概率就会越大。同时,如果你存在长期吸烟、饮酒,或者肥胖等高危因素的话,癌变的风险就会增加,要及时预防感染。

改变不良的生活习惯,保持营养均衡、规律作息和增强免疫力,养成健康的生活方式。
肺癌早期是没有特异性症状的,胸闷、呼吸困难、咳嗽咳痰、乏力或伴少量咯血也是肺结节的主要临床表现症状。
所以,不必盲目判断或听信谣言,过于杞人忧天,肺结节不是那么可怕,积极主动配合治疗,做好相应的预防措施。
参考资料:
[1] 肿瘤患者术后发现磨玻璃结节或实性结节,哪个更危险?肠癌、肝癌、乳腺癌、胰腺癌更易发生肺转移
[2] 乳腺癌究竟有多危险?
[3] 肺结节等于肺癌吗?王俊院士:90%以上是良性