夏天到了,天气越来越热,汗斑又开始骚动了,反复发作总也不见好,今天就让我们一起来学习一下该怎样做吧!
花斑糠疹,又称花斑癣,俗称汗斑,是由马拉色菌侵犯皮肤角质层引起的一种表浅感染。本病呈慢性,有轻度的炎症,一般无自觉症状。青年人,尤其是青年男性,由于活动多而出汗多,更容易发生。
(一) 病因:

马拉色菌,又叫糠皮孢子菌,属于嗜脂性酵母菌,是常见的人体寄居菌,仅在某些特殊情况下,如高温潮湿,局部多脂多汗、营养不良、慢性疾病、应用糖皮质激素、卫生条件不佳等,糠秕孢子菌寄生密度增加,由孢子相转化为菌丝型方可致病。
(二) 临床表现:

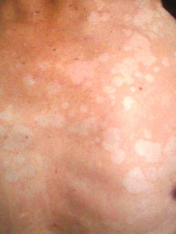
(前胸部汗斑)
好发于青壮年男性,多见于胸背部,也可累及颈、面、腋、腹、肩及上臂等皮脂腺丰富的部位,初起为围绕毛孔的圆形点状斑疹,以后逐渐增大至指甲盖大小,边缘清楚,邻近部位可相互融合成不规则的大片形,而周围又有新的斑疹出现。可表现为灰白色、淡褐色至黄棕色不等,有时多种颜色共存,状如花斑。表面附有少量极易剥离的糠秕样鳞屑,时间较久的呈浅色斑。皮疹无炎性反应,偶有轻度瘙痒感,病程慢性,一般冬轻夏重,有较弱的传染性。
(三) 诊断与鉴别诊断:

根据其临床表现,皮屑直接镜检可找到成簇的圆形或卵圆形的孢子和短粗、两头钝圆的腊肠形菌丝,本病的诊断不困难。有时皮损在wood灯下呈黄色荧光,对诊断更有帮助。本病灰白色皮疹需与白癜风,无色素痣、白色糠疹等鉴别。
(四) 预防和治疗

(后颈部汗斑治疗前、后对比图)
1.日常预防:应勤洗澡、勤换洗衣物、内衣建议煮沸消毒;
2.外用药物:
本病以外用药物为主,可以选用各类抗真菌外用制剂:
(1)可给予2%酮康唑香波全身洗澡;
(2)2%二硫化硒洗剂外用,7~19天。
(3)面积较小的患者,或由于各种原因不能口服抗真菌药物的患者,可以给予1%联苯苄唑乳膏/凝胶、2%咪康唑乳膏、2%酮康唑乳膏、2%益康唑乳膏外用,疗效均较好。
3.系统治疗
对于面积较大或外用药物疗效不佳的患者,可以给予伊曲康唑,酮康唑,氟康唑等抗真菌药物口服。
温馨提示:由于本病促发因素难以消除,彻底治愈有困难,复发率高,需要间歇反复应用抗真菌药,以减少复发。
专注您的皮肤健康问题,了解更多皮肤相关小知识,欢迎关注,点赞,有问题可私信留言,多谢支持!