健康体检当中,不少中老年朋友的X线胸片或胸部CT检查报告上,会写着这样一个诊断描述:“主动脉/冠状动脉壁钙化。”然而,很多人对此,并没有太在意。这篇文章,我们就来说一说,到底应该如何正确认识动脉钙化的意义;动脉钙化的存在,到底是有利于血管的稳定,还是不利于血管的稳定;以及,我们平时应该注意些什么,又该如何治疗。
动脉钙化=动脉硬化?
动脉钙化这种现象,并非是近几年才被发现的。早在19世纪,就已经有病理学家观察到了这种现象,并提出,这是一种动脉血管的被动、退化性过程。而随着对动脉钙化研究的不断深入,医学专家们越来越认识到,这其实是一种动脉系统主动的、严格调控的病理过程。

对于普通人而言,大家最想弄明白的首要问题就是:动脉存在钙化,是不是就意味着动脉发生了硬化呢?答案是肯定的!动脉的钙化,就是动脉粥样硬化的一种标志性的表现。也就是说,如果您的体检报告中提示主动脉或冠状动脉钙化,那么,这意味着您的血管已经存在动脉粥样硬化的问题了。

动脉钙化的具体机制,尚未完全弄清楚,医学研究认为,可能与动脉粥样硬化发生的血管局部炎症、成骨细胞激活、骨相关蛋白表达增多、血管壁矿化作用等有关。而医学观察发现,以下这些因素,增加动脉钙化的发生风险:
首先,年龄与性别,与动脉钙化的风险有关。年龄越大,发现动脉钙化的概率越高,这与年龄增大伴随动脉粥样硬化风险增高有关;而在绝经期前,女性的动脉钙化风险低于男性,而在绝经期后,这种风险会变得与男性相似。

其次,糖尿病与动脉钙化的风险有关。一般而言,糖尿病患者的动脉钙化检出率比较高。并且,糖尿病患者的动脉斑块负荷以及平均钙化面积百分比,要明显高于非糖尿病患者。

再者,慢性肾脏疾病与动脉钙化的风险有关。肾功能下降,被认为是动脉钙化,尤其是冠脉钙化的重要危险因素。终末期肾病,需要血液透析治疗的患者当中,超过80%可以发现冠状动脉钙化。

动脉钙化,斑块稳定的“双刃剑”
动脉粥样硬化的发生与发展,会在血管内逐渐形成粥样斑块,斑块的炎症和内部成分的改变,会使得其稳定性发生变化。不稳定的动脉粥样斑块,容易发生破裂,一旦破裂,会成为一个血小板聚集的“中心”,而血小板的快速聚*会集**形成急性血栓,阻断动脉血流。当这一过程发生在冠状动脉时,就会造成急性心肌梗死;而这一过程发生于脑动脉时,就会造成脑中风。

既然动脉钙化,提示动脉已经存在粥样硬化了,那么,到底,动脉钙化对动脉粥样斑块的稳定性有怎样的影响呢?钙化到底是增加斑块破裂的风险,还是可以促进斑块的稳定性呢?
目前的研究认为,动脉钙化对于动脉粥样斑块稳定性的影响,具有“双刃剑”的特点。
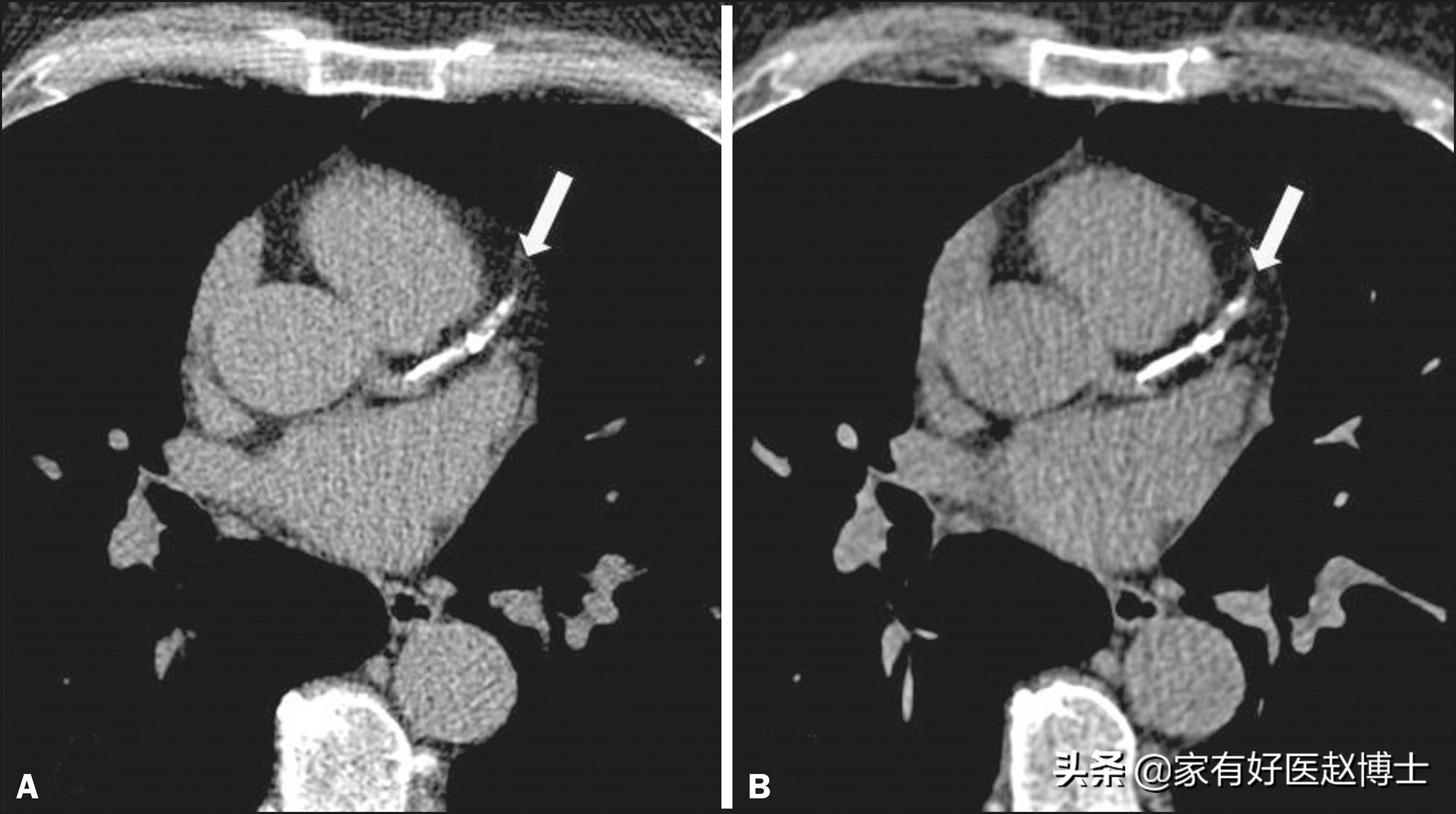
从组织学和影像学的角度,动脉钙化可以为分为两大类:“微钙化”与“大钙化”,它们对于动脉粥样斑块稳定性的影响,是有所不同的。微钙化也叫做“点状钙化”,主要是指钙沉积的颗粒大小不超过2mm的动脉钙化;而大钙化的钙沉积颗粒大小往往超过2mm,≥5mm的连续钙化段被称为“弥漫性钙化”。

点状钙化与弥漫性钙化
研究认为,微钙化往往提示动脉斑块不稳定性风险较高,发生严重心血管事件的概率增加;而大钙化则相反,往往反映动脉粥样斑块的发展处于非活跃期,炎症程度轻微,斑块较为稳定,发生破裂的风险低。

此外,当动脉粥样斑块造成血管的严重狭窄时,医生往往需要在这里植入支架进行介入治疗。而动脉钙化,一般多发生于动脉粥样硬化斑块形成的部位,这会明显增加介入治疗的难度,以及手术过程中的不确定性。
动脉钙化的评估与治疗
对于在体检当中发现动脉钙化的朋友而言,需要警惕动脉粥样硬化的问题,但也不必过度担心。首先,应该对动脉粥样硬化的风险进行大致评估:
第一,应该全面评估自身存在哪些需要管理和治疗的心血管危险因素,比如,吸烟、过量饮酒、肥胖超重、高血压、血脂异常、糖尿病等等;
第二,回顾一下,是否存在冠心病、缺血性脑卒中等疾病的临床症状,比如,劳力性胸痛、胸闷,头晕、头痛、肢体麻木与乏力等。
第三,如果存在较多的心血管疾病危险因素,也常出现冠心病或脑缺血症状,那就需要进一步对冠状动脉或脑动脉进行详细检查,排查血管是否存在斑块与狭窄,以及动脉钙化的严重程度。常用的评估技术包括,CT或磁共振血管造影,冠状动脉或脑动脉造影、血管内超声以及光学相干断层扫描(OCT)等。

在治疗方面,目前并没有专门抑制动脉钙化的特效药物,主要的治疗与管理原则与动脉粥样硬化是一致的,可以大致分为两大类:健康生活方式的干预与药物控制。
生活方式的调节原则是:
第一,戒烟、限制饮酒,控制这些不良生活习惯;
第二,减轻体重;
第三,均衡膳食,提倡低盐、低胆固醇、低脂肪饮食,多摄入优质蛋白与膳食纤维;
第四,开展规律的运动锻炼等。

而在药物治疗方面,主要有两类药物比较常用:
第一,抗血小板药物,这类药物主要通过抑制血小板的聚集,降低急性血栓形成的风险,防止严重心血管事件的发生;
第二,他汀类降脂药物,这类药物不光能够降低血脂,更重要的是能够促进动脉粥样斑块的稳定性,遏制动脉粥样硬化的不断进展。

当然了,对于动脉粥样硬化的评估与治疗,都应该在专科医生的指导下来进行。
最后,总结一下,体检发现动脉钙化,这往往提示动脉存在粥样硬化。钙化对于动脉斑块稳定性的影响是一把“双刃剑”,微钙化提示斑块不稳定的风险较高;而大钙化则提示斑块相对稳定。发现动脉钙化后,应该对心血管疾病的危险因素、症状等进行评估,如果怀疑血管存在严重动脉硬化性狭窄,应该做进一步的影像学检查。动脉钙化的治疗,主要包括:改善生活方式、控制心血管危险因素、抗血小板药物以及他汀类降脂药。
