异位妊娠 【概念】 受精卵在 宫腔以外 着床,称异位妊娠。 是妇产科常见的急腹症,发病率约2%~3%。

【分类】 ﹡ 输卵管妊娠 95% 最常见 ---壶腹部妊娠 78% 最最常见 ---其次为峡部、伞部,间质部较少见 ﹡其它部位妊娠5% ---卵巢妊娠、腹腔妊娠、阔韧带妊娠、宫颈妊娠… 【病因】 输卵管炎症:导致管腔粘连狭窄——主要病因 输卵管妊娠史或手术史:女扎 输卵管发育不良或功能异常:输卵管过长等 辅助生殖技术:助孕技术 避孕失败 其他:子宫肌瘤压迫输卵管、子宫内膜异位等
【病理特点】

(1) 输卵管妊娠流产 多见于妊娠8~12周输卵管壶腹部妊娠 ①完全流产:出血量不多 ②不全流产:反复出血,形成输卵管血肿、子宫直肠陷凹的盆腔血肿、甚至腹腔积血 (2) 输卵管妊娠破裂 多见于妊娠6周左右输卵管峡部妊娠 ①短期内可发生大量腹腔内出血,使患者出现休克 ②输卵管间质部妊娠极少见,但后果严重,几乎全为破裂 (3)胚胎停止发育并吸收 (4)陈旧性宫外孕 (5)继发性腹腔妊娠
◇ 子宫变化 注意:输卵管妊娠和正常妊娠一样,是怀孕…… ◎合体滋养细胞产生hCG维持黄体生长(卵巢上有妊娠黄体) ◎子宫增大变软(但小于妊娠周数) ◎子宫内膜出现蜕膜反应(或流或破时,蜕膜自宫壁剥离而发生阴道流血,可排出三角形蜕膜管型) ◎血hCG低(或流或破时,迅速下降) ◎内膜反应的多样性(增生、分泌、A-S反应)

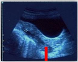
【辅助检查】

(3)孕酮 (4) 阴道后穹隆穿刺 (5)腹腔镜 (6)诊断性刮宫

【辅助检查】 (1) 血hCG测定 ● 血β-hCG(-): 一般可以排除异位妊娠; ● 定量动态测定: 指标太低、升得太慢 ● 血清hCG达2000U/L,宫内未见妊娠囊 →应怀疑异位妊娠 (2) B超 “看到了”→可以确诊 “没看到”→不能排除 (3)孕酮 (4) 阴道后穹隆穿刺 急腹症时,最简单方法 (5)腹腔镜 不作为诊断的方法 (6)诊断性刮宫 用于鉴别诊断 B超

与hCG结合更有意义 ——血hCG≥2000IU/L时,若未见宫内妊娠囊,高度怀疑异位妊娠。 宫腔内空虚,宫旁出现低回声区,其内探及胚芽及原始心管搏动 ——可确诊异位妊娠。
阴道后穹隆穿刺 : √急腹症,内出血时——最简单可靠的诊断方法。 √穿刺阳性,且抽出不凝血液→说明有血腹症存在→做手术! √穿刺阴性→不能否定输卵管妊娠存在。 后穹隆穿刺——有肛门坠胀时的选择!
腹腔镜 腹腔镜检查不再是异位妊娠诊断的“金标准” (因为:有3%~4%的患者因妊娠囊过小而被漏诊,也可能因输卵管扩张和颜色改变而误诊为异位妊娠。) 目前很少将腹腔镜作为检查的手段,而更多作为手术治疗。
子宫内膜病理检查(诊断性刮宫): >>适用于:阴道流血较多的患者,目的在于排除同时合并宫内妊娠流产。 >> 将宫腔排出物或刮出物作病理检查 : 可见到绒毛——宫内妊娠; 仅见蜕膜不见绒毛——异位妊娠。
【鉴别诊断】

