
6月23日,住院10余天、经历过30余次电除颤抢救的来自广东云浮的梁伯从广东省中医院二沙岛医院心衰中心康复出院了!出院前,他和家属对医护人员赞不绝口,赞赏医务人员的高尚医德,不畏风险,把病人生命放在首要位置;精心救治,多次把他从鬼门关拉回来,创造了生命奇迹。
梁伯是6月初因为胸闷、气促、不能平卧,在广东云浮当地医院住院,诊断为“NSTEMI心肌梗死、心功能4级”,经药物治疗症状改善不明显。当地医院医生联系省中医院二沙岛医院心衰中心吕渭辉主任,要求转运至广州进一步治疗。经过急诊转运中心的大力配合,病人安全转运至心衰中心。
首次心脏彩超提示患者左室射血分数只有30%,是极高危病人,随时有猝死的风险。中西医综合治疗后病人气促、胸闷改善,但仍不能平卧。住院期间,患者突然出现室颤,经积极心肺复苏,病人恢复自主心律。这种情况,需要尽快行介入手术,开通心脏冠脉血管,挽救生命。但是病人家属却向吕主任表示,家庭经济困难,无法筹集足够的手术费用。第二天,病人再次出现室颤昏迷。本着救死扶伤、治病救人第一的原则,心衰团队立即启动 “绿色通道”,将病人送入介入室治疗。
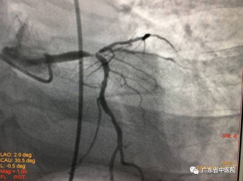
当冠脉造影结果出来后,大家都倒吸了一口冷气:患者是极高危的“左主干”并“前三叉病变”、右冠“慢性完全闭塞病变”。三条冠脉都是重度病变,而且在最重要的冠状动脉左主干末端、前降支开口、回旋支开口都是99%狭窄。稍有不慎,患者随时可能在台上猝死!
造影刚刚结束,患者便又再次出现了室颤。在同家属简单沟通病情后,一场与死神争夺生命的战斗开始了。在IABP辅助下,不到10分钟,旋支支架到位、植入,前降支球囊进行CRUSH操作。正在此时,患者心脏突然停止了跳动!吕主任处乱不惊,马上安排一组人员进行心肺复苏,同时继续操作器械。在体外人工心脏按压的辅助下,成功将最后一枚支架植入,完成血管重建。患者恢复自主心律后,反复出现室速、室颤。这是心肌梗死并发症之一,死亡率极高的“交感电风暴”!团队立即给予电除颤和积极的药物治疗,并派专人24小时守护,以便随时进行心肺复苏。室速、室颤一轮接一轮,经过30余次的除颤、复苏,“风暴”总算过去。病人心律逐渐平稳下来,病情稳定。出院前复查心脏彩超提示左室射血分数已经回升至53%。当病人救治情况反馈回至当地医院后,他们对省中医院的救治水平给予了充分认可和高度赞扬,认为“这样的病人都能救过来,真是厉害!”

分叉病变手术前后造影

该患者的成功救治,得益于专科医护团队对病情的准确判断、高超的介入手术技巧及配合默契的抢救;体现专科救治心血管急危重症患者技术水平又上了一个新台阶。而二沙心衰中心在大科吴焕林主任和陈秋雄主任的带领下,经过3年的建设与发展,己经形成一支团结协作、精益求精、无私奉献的专业技术团队。

广东省中医院二沙岛医院心血管科 心衰综合性康复治疗团队
本团队以国医大师邓铁涛教授、陈可冀院士临床学术经验为指导,在国医大师邓铁涛教授学术继承人邹旭副院长、学科带头人吴焕林教授、著名心脏介入专家陈秋雄教授带领下,中西医结合诊疗心衰及心衰相关心血管疾病(冠心病、心律失常、心肌病、高血压等),为患者提供当前最优的中西医诊疗服务。

团队组成合理,技术力量雄厚,临床经验丰富,对心衰患者采用介入与内科、康复与药物、住院与门诊慢病管理相结合的方法进行综合、全程救治,有效降低患者的再住院率、死亡率,提高生存质量。团队成功开展国内三甲医院心血管专科必备的心血管介入诊疗新技术,如心衰的支持及对症治疗、高端起搏器置入、危重复杂冠心病的冠脉介入、各类心律失常的射频消融等,手术量及成功率在省内居于前列。

邹旭
广东省中医院副院长,重症医学科大科主任,广东省中医院胸痛中心主任,主任医师、教授,博士研究生导师,广东省名中医,国医大师邓铁涛教授学术继承人。第二届全国百名杰出青年中医,第三批全国优秀中医临床人才,中国中医科学院青年名中医。
擅长:中西医结合治疗心血管疾病和其他内科疑难疾病,特别是冠心病、心衰、心律失常、高脂血症的中西医结合防治及中医药养生保健。擅于运用“调脾护心法”治疗冠心病、心力衰竭,急性期阴阳分治。掌握国医大师邓铁涛教授运用岭南中药的经验和邓老养生之道,对中医传统养生的整体观、形神统一、四时养生、八段锦等理论及方法都有较系统的研究。

吴焕林
主任医师,教授,广东省中医院大心血管科主任,博士研究生导师。首届国医大师邓铁涛教授学术经验继承人、全国名中医,薄氏腹针发明人薄智云教授学术经验继承人.
擅长:运用调脾护心治法治疗心血管疾病,针对冠心病搭桥术后、介入治疗术后及非手术治疗患者的不同特点,给予中医综合治疗;腹针结合中药治疗冠心病、心律失常、高血压等常见心血管疾病;以腹针治疗各种内科疑难病、内科杂症,显著改善临床症状、提高生活质量、改善预后。
出诊时间:周一下午大德路总院,周二下午芳村医院,周三上午二沙岛医院

陈秋雄
主任医师,教授,广东省中医院大心血管科副主任,美国南加州大学医学院医疗中心心内科博士后,博士研究生导师。
擅 长:冠心病冠脉介入诊疗,尤其是慢性完全闭塞病变、左主干病变、分叉病变、三支病变、钙化病变等高难度冠脉介入手术。缓慢性心律失常的单腔、双腔起搏器植入治疗;难治性心力衰竭的心脏再同步化治疗(CRT-D起搏器植入);体内埋藏式自动除颤器(ICD)植入,有效防治心衰、恶性心律失常所引起的心源性猝死。阵发性室上速、预激综合征、室性早搏、室性心动过速、房颤等心律失常的射频消融治疗。房间隔缺损、室间隔缺损等先天性心脏病的介入治疗,房颤患者的左心耳封堵术。肾动脉、锁骨下动脉、颈内动脉、髂动脉等外周血管的介入治疗。
出诊时间:周二上午 二沙岛医院介入室(康复楼1楼)

文旺秀
主任医师,教授,主任导师,原心血管科主任。
擅 长:心血管病、内科杂症的中西医诊治,尤其擅长冠心病、慢性心衰、心律失常、高血压病的中西医诊治。
出诊时间:周三全天 天河门诊部二楼 ;周五上午 二沙岛医院专家诊室(门诊楼3楼)

吕渭辉
副主任医师,医学博士,广东省中医院二沙心血管心衰中心主任,师从中国科学院院士第二届国医大师陈可冀院士、广东省人民医院心血管内科主任陈纪言教授,美国UCLA大学访问学者,曾先后在德国柏林心脏中心、日本札幌心血管中心进修心血管介入技术。
擅 长:冠心病等疾病的冠脉介入诊疗,包括IVUS、FFR、OCT等冠脉介入检查技术,各类复杂冠脉病变的介入治疗,肥厚型梗阻性心肌病的化学消融等。急性心梗、急性心衰、心源性休克等心血管急危重症的中西医救治。起搏器植入术,包括单腔或双腔起搏器、埋藏式心脏复律除颤器(ICD)、重症心衰的心脏再同步化治疗(CRT/CRT-D)。房颤患者的左心耳封堵术。慢性心衰的中西医结合慢病管理与中医治疗,心律失常、心肌病等常见心血管疾病的中西医结合治疗。
出诊时间:周三上午 大德路总院心脏门诊(西区3楼);周四上午二沙岛医院心脏门诊(门诊楼3楼)

李晓庆
副主任医师,医学硕士。
擅 长:冠心病的冠脉介入诊疗,包括冠脉造影、血管内超声(IVUS)、血流储备分数测定(FFR)、光学相干断层成像(OCT)、经皮冠状动脉腔内血管成形术及支架植入术;慢性心力衰竭的中西医结合治疗与慢病管理;室早、房扑、房颤等常见心律失常与难治性高血压的中西医结合治疗;心血管急危重症的中西医救治。
出诊时间:周三上午 大德路总院心脏门诊(西区3楼); 周四上午 二沙岛医院心脏门诊(门诊楼3楼)

屈玉春
副主任医师,心电生理专业医学硕士
擅 长:室早、室上速、房扑、房颤等心律失常的电生理检查及射频消融术;起搏器的安装及程控随访工作;心血管常见疾病如心力衰竭、冠心病、高血压、心肌病、心肌炎、瓣膜病及心血管急危重症的中西医结合诊疗。
出诊时间:周三下午 大德路总院心脏门诊(西区3楼); 周五上午 大德路总院心脏门诊(西区3楼)

黄桂宝
主治医师,医学硕士
擅 长;中西医结合治疗冠心病、高血压、心力衰竭、心律失常等心血管疾病,以及危重症抢救,心脏介入诊疗,起搏器程控及随访。
出诊时间:周二下午、周五上午 二沙岛医院心脏门诊(门诊3楼)

张睿智
主治医师,医学硕士。
擅 长:冠心病的介入诊疗,包括冠脉造影、血管内超声(IVUS)、血流储备分数测定(FFR)、光学相干断层成像(OCT)等冠脉介入检查技术,各类冠脉狭窄病变的球囊扩张及支架植入等。急性心梗、急性心衰、心源性休克等心血管急危重症的救治。

林小丽
副主任护师,广东省中医院心血管大科总护士长,从事心血管病专科护理工作25年。2017年广东省中医系统优秀护士。
重视对外学术交流及传播中西医结合护理理念,致力于中医特色护理在心脏康复中的应用、推广、传承及创新,其中《坐式八段锦》已成功申报知识产权。主持厅局级科研课题项目2项、校级科研课题项目1项,以第一作者发表学术论文8篇、参编专著5本。
积极热心参与社会服务,参与广东省红十字会等合作项目“救心行动”并多次参与贫困先心病儿童筛查、 “援疆救心行动”等。
