革兰氏染色法是细菌学中广泛使用的一种鉴别染色法,这种染色法是由一位丹麦医生汉斯·克里斯蒂安·革兰(Hans Christian Gram,1853年-1938年)于1884年所发明,最初是用来鉴别肺炎球菌与克雷白氏肺炎菌之间的关系。

一、革兰氏染色法概述
革兰氏阳性菌和革兰氏阴性菌在化学组成和生理性质上有很多差别,染色反应不一样。现在一般认为革兰氏阳性菌体内含有特殊的核蛋白质镁盐与多糖的复合物,它与碘和结晶紫的复合物结合很牢,不易脱色,阴性菌复合物结合程度低,吸附染料差,易脱色,这是染色反应的主要依据。
另外,阳性菌菌体等点较阴性菌为低,在相同PH条件下进行染色,阳性菌吸附碱性染料很多,因此不易脱去,阴性菌则相反。
所以染色时的条件要严格控制。例如,在强碱的条件下进行染色,两类菌吸附碱性染料都多,都可呈正反应;PH很低时,则可呈负反应。此外,两类菌的细胞壁等对结晶紫—碘复合物的通透性也不一致,阳性菌透性小,故不易被脱色,阴性菌透性大,易脱色。所以脱色时间,脱色方法也应严格控制。
二、革兰氏染色法对细菌的分类
细菌先经碱性染料结晶紫染色,而经碘液染色后,用酒精脱色,在一定条件下有的细菌紫色不被脱去,有的可被脱去,因此可把细菌分为两大类,前者叫做革兰氏阳性菌(G+),后者为革兰氏阴性菌(G-)。

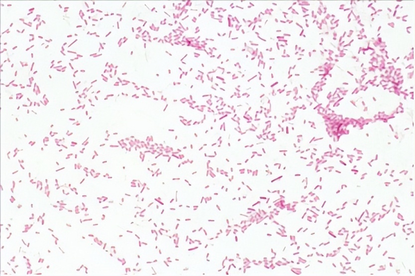
革兰氏阳性菌(G+)显紫色

革兰氏阴性菌(G-)显红色
G+菌:细胞壁厚,肽聚糖网状分子形成一种透性屏障,当乙醇脱色时,肽聚糖脱水而孔隙缩小,故保留结晶紫-碘复合物在细胞膜上。呈紫色。
G-菌:肽聚糖层薄,交联松散,乙醇脱色不能使其结构收缩,其脂含量高,乙醇将脂溶解,缝隙加大,结晶紫-碘复合物溶出细胞壁,番红染液复染后呈红色。
三、革兰氏染色法步骤
革兰氏染色法一般包括初染、媒染、脱色、复染等四个步骤,具体操作方法是:
(1)载玻片固定。在无菌操作条件下,用接种环挑取少量细菌于干净的载玻片上涂布均匀,在火焰上加热以杀死菌种并使其粘附固定。
(2)草酸铵结晶紫染1分钟。
(3)自来水冲洗,去掉浮色。
(4)用碘-碘化钾溶液媒染1分钟,倾去多余溶液。
(5)用中性脱色剂如乙醇(95%)或*酮丙**酸脱色30秒,革兰氏阳性菌不被褪色而呈紫色,革兰氏阴性菌被褪色而呈无色。酒精脱色为整个流程最关键的一步。
(6)用蕃红染液或者沙黄复染30秒,革兰氏阳性菌仍呈紫色,革兰氏阴性菌则呈现红色。革兰氏阳性菌和革兰氏阴性菌即被区别开。

敲重点: 在整个革兰氏染色过程中,在保证试剂有效的前提下,需要严格控制的几个方面:染色菌必须是在其活跃期内,涂布状态不可太厚,媒染时间严格控制在50s-60s之间,脱色时间严格控制在20s-30s。
四、常见种类
一般而言,有芽胞(一种细菌休眠体)的杆菌和绝大多数球菌,以及所有的放线菌,为 革兰氏阳性细菌 ;例如芽孢杆菌、葡萄球菌、炭疽杆菌、肺炎双球菌和链球菌等。



弧菌、螺旋体,以及大多数致病且无芽胞的杆菌,为 革兰氏阴性细菌 ;例如大肠杆菌、假单胞菌、伤寒杆菌、霍乱弧菌、绿脓杆菌、痢疾杆菌和百日咳杆菌等。


