患者女,62岁。
简要病史:
因“活动后突发头晕、无力及下腹部疼痛10小时”入院。
早上9点在家从1m高的桌子上迈下时,突然出现头晕、下肢无力(不知老太太爬桌子是要干什么)。家属描述为手扶桌子缓慢滑倒在地,随后出现剧烈下腹部疼痛,并且逐渐加重。
中午11点送至当地医院,血红蛋白(Hb)为97g/L,尿糖3+,尿酮体±,静脉血糖为36mmol/L。
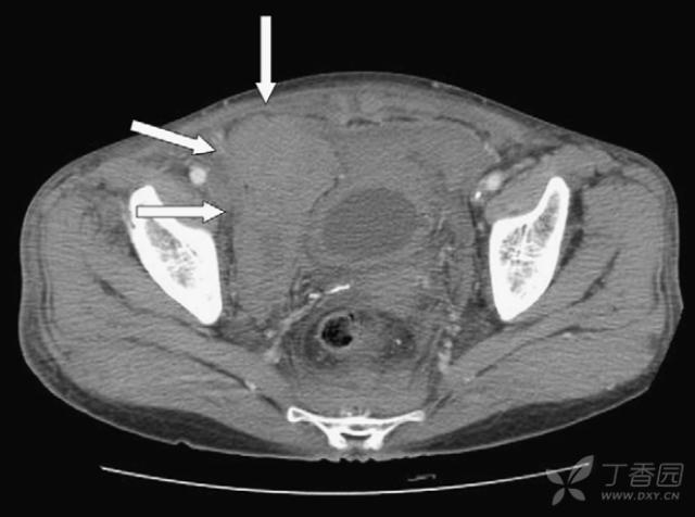
腹部超声及盆腔CT提示:盆腔偏右侧膀胱周围不规则混合性包块约8×3.7cm。
给予胰岛素静脉泵入。当晚19点转入我院。
入院查体:BP 90/57mmHg,P 110次/分,右下腹部可触及直径约10cm包块,触痛明显,无搏动感;下腹部可及压痛、反跳痛及肌紧张。
血常规:WBC 16.4×10^9/L,Hb 85g/L,PLT 127g/L;凝血功能:Fib 1.11g/L,D-二聚体 851ug/L,明显升高;静脉血糖32.4mmol/L;ECG提示:窦性心动过速。
当时即考虑为急性出血性疾病,理由有三:
- 症状上,突然出现头晕、无力等低血容量表现,也有突发腹痛、腹胀等腹腔内出血的刺激症状;
- 体征上,存在脉速,血压低,明显的腹膜刺激征;
- 血常规示发病初期血红蛋白进行性下降,而MCV及MCH没有明显改变, Fib持续低水平,D-二聚体上升明显,均支持急性失血的诊断。
既然为出血性疾病,且为下腹部疼痛,查体及影像学均发现盆腔内可及实性肿物,所以首先考虑妇科相关疾病,而妇科疾病导致的出血可能为:
- 妊娠相关疾病:如异位妊娠、滋养细胞肿瘤等;
- 卵巢或输卵管肿瘤破裂;
- 卵巢子宫内膜异位囊肿破裂。
这名患者已绝经多年,妊娠相关疾病可排除,子宫内膜异位囊肿可能性亦不大。患者无明显外伤史,最有可能的是 卵巢或输卵管肿瘤自发破裂出血 导致。
但患者无明显阴道流血,超声及CT均提示子宫大小正常。而且超声提示盆腔占位质地较均一,血流不明显, 无明显的肿瘤特点 ;CT也提示肿物密度较均一, 不支持恶性肿瘤 的证据。
因此,在考虑妇科疾病导致出血的诊断建立之前,尚需要排除其他系统及其他原因导致的出血。于是,当晚立即请相关科室会诊,鉴别外科疾病或全身疾病导致的腹腔内出血。
➤ 普通外科会诊认为:
外科腹腔内出血性疾病一般都见于脏器的损伤。实质脏器的损伤,如肝、脾、胰腺等;空腔脏器的损伤,如胃、肠道及胆囊胆管等;此外还有血管损伤,如腹主动脉、下腔静脉等。
一般这些损伤均继发于剧烈的闭合伤或穿通伤,盆腔血管的损伤多继发于穿通伤、骨盆或下肢骨折。而患者仅为轻微活动之后缓慢倒地,且无明显骨折表现,一般不至于导致上述器官及组织的损伤。
故应该高度可疑 自发性出血 ,目前这个诊断最能解释患者的症状及体征。而最可能出现自发性出血的即为恶性肿瘤破裂导致,且老年女性亦为肿瘤之高发年龄。因此, 应排除外科相关肿瘤的可能 。
患者近期无胃肠道症状,大便习惯无改变,体重无下降,肛诊无异常,尚缺乏胃肠道肿瘤的证据。若条件允许可次日全腹平扫加增强,同时待肿瘤标记物汇报后进一步判断。
➤ 泌尿外科会诊认为:
盆腔肿物及目前的进行性出血亦应考虑为腹膜后疾病可能。肾脏、输尿管、膀胱均为腹膜后位器官,其损伤或破裂出血亦可导致下腹痛及盆腔肿物表现。
但患者既无腰背部及膀胱区损伤病史,尿色清亮,尿量正常,尿常规也未提示镜下血尿。腹部彩超未提示肾脏及输尿管异常。 暂不考虑泌尿外科相关疾病。
➤ 血液科会诊认为:
患者目前出血性疾病的诊断是明确的,但应进一步应该确认出血的原因:血管因素?血小板异常?血机制障碍?
患者入院来多次检查血小板计数正常,血小板分布宽度及平均容积均正常,故可排除血小板异常因素;
患者PT、APTT、TT等计数均正常,且患者否认血液病家族史,无肝病、脾亢等慢性疾病,故凝血机制障碍亦可排除;
患者Hb进行下降,MCV及MCH均正常;Fib消耗呈持续低水平;D-二聚体升高至851ug/L,为急性失血的特征。
综合分析,其原因可为: 外伤或肿瘤侵蚀血管导致破裂出血,或糖尿病等慢性疾病继发血管病变所致的出血,或前二者兼而有之 。
➤ 内分泌科会诊认为:
患者近期存在口渴、多饮、多尿及体重下降等典型症状,在外院血糖测已达36mmol/L,给予胰岛素泵入后,目前血糖为32.4mmol/L, 糖尿病诊断成立 。
急诊手术风险较大,为降低心脑血管意外的发生,目前主张对高危患者血糖宜控制在10mmol/L以内。
故继续给予胰岛素3~5U/L持续静脉泵入,每1~2h监测血糖及电解质,同时积极补液补钾预防酮症酸中毒处理。若条件允许, 宜待血糖平稳后进行手术 。
对于围手术期血糖控制的标准,尚无统一的指南可以依据。目前的共识认为血糖控制在8~10mmol/L,围手术期心脑血管意外及低血糖的风险较小。
控制血糖最好采用胰岛素静脉泵入的方式,每1~2h监测一次,及时调整泵入速度。术中最好维持5g/L的生理能量需要,给予能量的同时宜给予胰岛素对抗。
当晚,因检查尚不完善,患者血糖过高,诊断不明确,生命体征尚平稳,密切观察病情。同时胰岛素静脉泵入控制血糖,抗感染、补液等治疗,病情较平稳。
入院第二日早晨,全腹CT增强扫描提示:腹腔积液,盆腔血肿(箭头所指:10*5.7cm,较入院时增加);

右侧腹膜后巨大血肿达右肾周围,肾门水平处下腔静脉及右侧髂总、髂内外静脉内见血栓。

粗箭头所指:下腔静脉扩张伴血栓形成;细箭头所指:盆腔血肿增大至右肾水平
四肢血管超声提示:右侧腘静脉深静脉血栓形成。
肿瘤标记物(CA 125,CA 199,CEA,AFP)回报均位于正常范围。
下午3点,复查血常规及凝血功能:Hb 54.2g/L(较前降低),PLT 62×10^9/L(较前降低),Fib 1.12g/L,D-二聚体1663ug/L(较前升高)。
再次请血液科、普外科、介入科等相关科室会诊。
➤ 介入科会诊认为:
CT提示肾门水平处下腔静脉及右侧髂总、髂内外静脉内见血栓样改变;上下肢血管彩超亦提示右侧股、腘静脉血栓形成。故应考虑 右侧下肢及髂血管深静脉血栓形成 可能,而深静脉血栓形成的主要原因为:血液高凝状态、静脉壁损伤。
患者无原发血液病,暂不考虑原发血液高凝造成血栓形成可能;继发造成血液高凝的原因有外伤、高龄、肥胖、高脂血症及恶性肿瘤等。患者62岁、可疑恶性肿瘤,存在深静脉血栓高危因素,支持 继发性血液高凝导致的血栓形成 。
静脉壁损伤亦可以导致血栓形成,血管损伤存在继发和自发两种。若为肿瘤侵蚀导致,难以解释盆腔内的肿瘤侵蚀累计髂总及髂内外等腹膜后的大血管;若为外伤导致,患者却无明显剧烈的外伤史,均难以支持。而 自发性血管损伤 极其少见,往往出血迅速,容易休克,需要立即手术处理。
目前,患者活动性出血仍持续存在,需手术探查明确诊断。考虑深静脉血栓存在,随时具有肺栓塞的风险,且手术探查为避免术中出血无法进行抗凝溶栓治疗,故 应放置下腔静脉滤器预防肺栓塞的发生 。
➤ 血液科会诊认为:
目前患者血常规示Hb进行下降,Fib消耗,持续处于1.12-1.16g/L低水平,D-二聚体继续升高,应注意防治DIC。
除应立即手术止血外,可给予新鲜冰冻血浆输注纠正低纤维蛋白原血症;若手术,则可输注新鲜血小板预防出血。目前宜密切监测血常规、凝血像及D-二聚体变化。
➤ 妇产科会诊认为:
CT提示盆腔内血肿,且存在髂静脉血栓,肿瘤标记物汇报均为正常。虽非恶性肿瘤的典型表现,也无法除外血肿为肿瘤自发破裂出血所形成。深静脉血栓可能为长期糖尿病导致血液高凝,经应激刺激而诱发。
目前,经持续胰岛素泵入血管已控制至8.7mmol/L,手术相对安全,应积极手术探查,明确诊断同时止血治疗。
➤ 普通外科会诊认为:
肿瘤标记物回报无异常,故无明显胃肠道肿瘤证据。下腹出血血肿、血栓形成原因有二: 妇科肿瘤自发破裂导致,髂血管本身损伤破裂导致 。无论为何诊断均应手术探查,立即止血。
晚上7点,经颈静脉穿刺下腔静脉造影,于下腔静脉肾静脉开口上方放置滤器1枚,手术顺利。

晚上8点,在全麻下剖腹探查:
术中见子宫、输卵管、卵巢正常。CT提示的盆腔血肿位于前腹壁内膀胱周围的腹肌与腹膜之间,为盆腔前壁血肿;右侧腹膜后形成广泛血肿。
立即请外科医师上台手术,清理右侧血肿后,在右侧髂外静脉的侧后壁发现一1.5cm长的破裂口,边缘整齐,有活动性出血,静脉内见新鲜血栓。
➤ 答案揭晓:该患者的最终诊断为右侧髂外静脉自发破裂出血。
那么,从这个病例我们能学到什么?
自发性髂静脉破裂,非常罕见,发病快,死亡率高,可达23%。
继1961年Hossne首次报道后,迄今国外文献报道总计34例。其中右侧髂静脉破裂仅2例,另外32例均为 左侧 。国内报道的5例,均为左侧破裂。
多发于左侧的原因,可能与左侧髂总静脉被髂总动脉压迫有关。当人进行弯腰、咳嗽或排便等动作时,右侧髂总动脉与腹股沟韧带间左侧髂静脉压力增加,容易诱发破裂。本例发生于右侧,考虑为 特殊的体位增加了本来就薄弱的血管内的压力所致 。
该患者存在糖尿病可能已多年,一直未控制血糖。 高血糖状态易导致血管顺应性的改变 可能也是血管自身功能不良的因素之一。
另外 髂静脉壁薄弱 可能为其自发破裂主要原因。绝经后老年妇女雌激素水平下降,血管平滑肌及胶原纤维已退行性变,可能导致静脉壁弹性降低。85%患者为60岁以上的妇女,如该患者即为62岁老年女性。
在罕见的发病中, 相对好发于老年女性,临床表现类似妇科急腹症 ,常常容易误诊。普外科、妇产科、急诊科医师应该考虑到本病可能,尤其对于老年女性的急腹症。
来源丨医护多外科学霸