很多人觉得萎缩性胃炎很恐怖,出现肠上皮化生会很快癌变,造成恐怖心理是多数患者,甚至部分医生对萎缩性胃炎缺乏了解所致。
#生命召集令超能团# #清风健康说# #清风计划# #中医汇# #生命召集令#
慢性胃炎分为两种,一种是浅表性胃炎(也就是非萎缩性胃炎),另一种则是萎缩性胃炎。
前者是指粘膜的充血、水肿及糜烂;
后者则指胃黏膜胃固有腺体减少,常伴有肠上皮化生。
什么是萎缩性胃炎
萎缩性胃炎也称慢性萎缩性胃炎,是指胃粘膜表面反复受到损害后导致的粘膜固有腺体萎缩、甚至消失。
由于腺体萎缩或消失,胃粘膜有不同程度的变薄,并常伴有肠上皮化生、炎性反应及不典型增生。萎缩性胃炎是消化系统常见疾病之一,约占慢性胃炎10%~20%,多见于中老年人,发病率随年龄增长而上升。
除去年龄因素外,萎缩性胃炎的发病还与幽门螺杆菌感染、吸烟、酗酒、不良饮食习惯、急性胃炎迁延等因素有关。
上述各种因素的作用引起胃粘膜慢性炎症,使胃粘膜表面反复受到损害,如同水土流失一样,久而久之导致胃分泌腺体萎缩,胃粘膜颜色改变、变薄、血管显露,胃酸分泌减少,消化功能减弱,胃蠕动功能失调等,形成慢性萎缩性胃炎。

诊断为萎缩性胃炎,大可不必惶恐不安
引起胃萎缩的原因,可分为生理性因素和病理性因素。
生理性多与年龄相关,是胃老化的过程,很多医生认为其实是一种退行性变化。
人老了,常有腺体的萎缩,皮肤萎缩变薄可出现皱纹、口腔唾液腺萎缩可引起口干,那么随着年龄的增长,出现不同程度的胃萎缩也理属正常,因此,到了一定的年龄,很多人的胃都可能会出现不同程度的胃萎缩。
50岁以后胃可能出现不同程度的萎缩,如果确定是生理性的萎缩,无须大惊小怪,世界上没有常生不老的人,那么也没有永远不萎缩的器官。
多数人出现这种胃萎缩是无须治疗的,也就是说并不是老年人就一定要治疗。
但少数人因为胃萎缩可以引起胃胀气不适等消化不良症状,则可以借助药物调理,如口服保护胃粘膜药物、补充消化酶、加用促动力药物和中药调理等。
萎缩性胃炎并不是胃癌前兆
慢性萎缩性胃炎将来是否会发展为癌前病变或癌变,应根据病变的萎缩程度,具体情况具体分析,不能一概而论,萎缩性胃炎若伴肠上皮化生或异型增生者则为癌前病变。
目前医界学的共识是:慢性萎缩性胃炎虽可癌变,但癌变率很低(多数研究发现癌变率不超过3%),所以不能笼统地说慢性萎缩性胃炎就是胃癌前兆和序幕,两者不能划等号。
近年来,国内外学者对慢性萎缩胃炎、幽门螺杆菌、胃癌的关系作了大量研究,发现胃癌高发地区的人群中,萎缩性胃炎发病率高,但也与幽门螺杆菌发生率高有关,究竟是幽门螺杆菌还是萎缩性胃炎易导致胃癌呢?其实二者常共存、共同导致胃粘膜的异型增生,治疗幽门螺杆菌本身也是治疗萎缩性胃炎的一方面。
病理性的萎缩性胃炎需要治疗。
引起病理性胃萎缩可能是炎症,也可能发展为胃癌。应用保护胃粘膜的药物、根除幽门螺杆菌,常可以使炎症引起的萎缩性胃炎完全恢复正常。

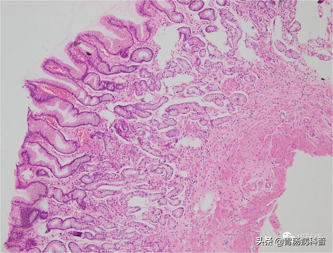
肠上皮化生是萎缩性胃炎的一种表现形式。
很多人对肠上皮化生极为恐惧,以为出现肠上皮化生就离癌变不远了。这完全是一种错误的认识。萎缩性胃炎和肠上皮化生癌变率其实很低。
只有伴有明显的异型增生(又称高级别上皮内瘤变),癌变率才会较高,需要及时治疗。
即便是重度的萎缩或重度的肠上皮化生,只要没有明显的异型增生是不会癌变的,但容易引起消化不良症状。
萎缩性胃炎或肠上皮化生如果出现了异型增生就可能会发生癌变,因此出现这种情况,如果是轻度的异型增生(低级别的上皮内瘤变)可以每年做次内镜检查,监测复查便可;
如果出现了重度的异型增生(高级别上皮内瘤变),则必须立即治疗,可以在内镜下行一种叫ESD的微创治疗手术,可以根治,此后只需要定期复查即可。

研究显示根除幽门螺杆菌,可以逆转胃黏膜萎缩和肠化
既往多数学者认为,根除幽门螺杆菌不能逆转胃黏膜肠化生,但近年开始逐渐有学者提出,既往获得的根除幽门螺杆菌治疗不能逆转胃黏膜肠化生的研究结果,可能与对患者观察随访的时间不足够长有关,如果延长对患者的观察和随访时间,有可能可以观察到患者肠化生的逆转。
2018年发表的一项来自韩国随访期10年的前瞻性研究结果显示:
在患者接受了幽门螺杆菌根除治疗后,获得成功根除患者的胃黏膜萎缩和肠化生情况均获得了显著的改善;幽门螺杆菌根除组与幽门螺杆菌阴性组之间其胃黏膜萎缩程度在基线期存在的显著差异,在随访的1年后消失,而两组之间胃黏膜肠化生程度在基线期存在的显著差异,分别在随访的5年后(胃窦)和3年后(胃体)消失。

根除幽门螺杆菌后,可以逆转胃黏膜萎缩和肠化生这一研究结果的得出,为根除幽门螺杆菌可以降低胃癌发生风险提供了有力的证据,根除幽门螺杆菌治疗是预防胃癌发生最重要的可控的预防策略。
定期复查至关重要!
虽说慢性萎缩性胃炎癌变率很低,但并非两者毫无关系。
从萎缩性胃炎发展至胃癌要经历这样一个过程:
萎缩性胃炎-肠上皮化生-不典型增生-原位癌,这是个可长可短的过程。
为了尽量减少发生癌变的可能,需要规范治疗和复查,因此积极防治是十分必要的。
对慢性萎缩性胃炎伴不完全性结肠型肠上皮化生者要重视,更要定期随防。
为了监视病变的动态变化,要定期复查胃镜。一般性慢性萎缩性胃炎(无显著肠上皮化生和不典型增生者),3年复查1次;
不完全性结肠型肠上皮化生伴轻度不典型增生者1年1次;
伴中度不典型增生者3个月1次;
伴重度不典型增生者应看作是癌变,可考虑将局部病变组织切除。

总之——
萎缩性胃炎不是洪水猛兽,预防和治疗都有一定规律可循,相信科学、积极面对,一方面可避免紧张焦虑,一方面也可防止后悔莫及。
当诊断为萎缩性胃炎后,建议找有经验的专科医生评估,是生理性的,还是病理性。
如果是后者,是炎症性的、还是肿瘤性的。无论哪一种,在专科医生的指导下均可以治愈。
如果是老年人,可能都会有不同程度的生理性胃萎缩,没有消化不良的症状无须服药;
如果是炎症引起的萎缩性胃炎可以口服药物治疗;
即使是癌前病变也可以通过内镜下的微创手术,均可使疾病完全治愈。

图例:萎缩性胃炎癌变与异型增生相关,与萎缩性胃炎或肠上皮化生的程度并没有内在关系。