声明:本文仅用于科普用途,不能作为治疗依据,为了保护患者隐私,以下内容里的相关信息已进行处理

转自小荷健康App真实医生笔记
【基本信息】女,47岁
【疾病类型】子宫内膜腺癌,膀胱周围淋巴结转移腺癌Ⅳ期
【治疗方案】手术,化疗,放疗
【治疗效果】病情稳定
一、初识患者
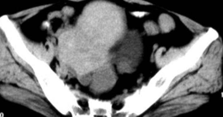
患者,47岁,2020年5月开始阴道不规则出血,起初以为是围绝经期造成的月经不调,后出血逐渐增多,淋漓不尽,患者血色素9.1,后到我院进行B超提示,子宫内膜增厚,子宫内膜实质性占位,宫腔镜提示相同,取组织4块活检,病理提示子宫内膜癌,腺癌。经过剖腹探查显示瘤子浸润子宫壁及膀胱,周围淋巴结见转移癌。于是在我院妇科行子宫及双侧附件和大网膜切除术及淋巴结清扫。术后病理提示,子宫内膜腺癌,膀胱周围淋巴结转移腺癌,分期为Ⅳ期。

二、患者的治疗过程
因为患者有轻度贫血,因此术前术后给与抗贫血治疗。血色素恢复至10.5。术后三周经肿瘤科,放疗科,妇科会诊决定,实行放化疗联合治疗控制肿瘤。能够抑制肿瘤生长,同时还能减少残余淋巴结肿瘤组织。使用调强放疗30次,联合紫杉醇联合卡铂化疗方案,二药联合,对肿瘤的控制力度很强,但是紫杉类药物恶心呕吐神经毒性骨髓抑制发生率相对较低,卡铂的副作用小于顺铂等其他铂类制剂,患者因为曾经出现贫血,为了防止化疗中再次出现这种情况,因此进行贫血预防治疗。恶心呕吐程度较轻,因此给与昂丹司琼止吐治疗。放化疗产生的骨髓抑制,给与患者升白药物进行治疗。患者在进行2个周期化疗后,进行CT检查,如果为稳定,可以继续行原方案治疗。
三、患者在治疗中注意事项
1.化疗给药期间如果副反应较多时,可以多卧床休息,尽量避免活动。
2.增加蛋白质摄入,如,鸡蛋,瘦肉等,这样能够又足够体力应对化疗。
3. 要避免感冒,多穿衣服。
4.放疗过程中会出现皮肤颜色改变,口干口苦等症状,可以适当采取支持性治疗纠正,放疗结束后,症状就会消失。
四、患者的治疗效果
患者由于大部分肿瘤组织切除的比较干净,放化疗效果还是比较肯定的,经过CT检查评定,肿瘤得到控制,没有远处转移或进展。证明我们为患者选择的这种方案,能够最大限度的控制肿瘤,同时达到副作用可控的状态。
五、患者在日常生活中的注意事项
1.化疗后身体较虚弱,应注意卧床休息,保持体力。
2.规律作息,注意营养,多吃肉蛋奶增加体力。
3.在身体允许下,加强一些锻炼。
4.定期进行复查。
六、医生感悟
子宫内膜癌的发病机制尚不明确,为女性三大癌症之一,与遗传、环境、长期妇科病等因素有关,另外还有三大危险因素,肥胖、高血压、糖尿病,被称为子宫内膜癌危险因素三联征。患者本身年龄不大,处于围绝经期,围绝经期和绝经后属于子宫内膜癌高发人群,患者在治疗过程中都表现的很乐观,我想这为疾病的稳定提供了一定的心理支持,围绝经人群容易出现月经紊乱,因此与子宫内膜癌造成的出血容易混淆,一般月经紊乱造成的出血不会超过一周时间,如果淋漓不尽,还是建议女性朋友去进行检查,不要擅自判断病情,以免延误了治理时间。
肿瘤早期是一个非常缓慢的生长过程,从一个癌细胞生长为一个肿瘤可能需要几年甚至十几年的时间,但是一旦发展到晚期,随着丰富的血运供给,就会发展的非常迅速。因此,在自己不能明确诊断的时候,还是要求助于医生和辅助检查手段。子宫内膜癌的治疗,目前没有什么特别针对性的药物,其靶点也不是十分明确,免疫治疗药物的效果也不十分明朗。因此就需要对肿瘤进行早发现,早治疗,才能够有效的遏制肿瘤。
著作权归作者所有
点击>>>「链接」<<<可查看更多相关案例故事,真实经验,安心借鉴~
本文是真实治疗经验,不能作为治疗依据。版权归作者所有,禁止转载。如内容有误或有侵权等问题,请在评论区留言,或私信本头条号。