牙龈萎缩是一种比较常见的牙部疾患,不少口腔疾病患者都有着或重或轻的牙龈萎缩。牙龈萎缩会引发患者的牙齿出现松动甚至引发牙齿脱落。

前后对比
1、牙龈萎缩有几种?
牙龈萎缩主要分为病理性牙龈萎缩和生理性牙龈萎缩两类,病理性牙龈萎缩主要是因为在患者的龈缘部分有牙结石存在,但又长时间的不能得到有效的清理,各种细菌滋生刺激而引发的病理性牙龈萎缩。
随着年龄的增长,牙齿部位也随着年龄的逐渐增大,出现萎缩,导致牙齿根部暴露,这种导致牙龈萎缩的现象称为生理性牙龈萎缩。

牙根暴露
病理性牙龈萎缩是需要通过正规医院来治疗的,而生理性牙龈萎缩一般无需特别的治疗,而是注意通过日常的护理而减缓牙龈萎缩。
2、哪些因素会导致牙龈萎缩呢?
牙龈萎缩的原因也较多,患有牙周炎会引发牙龈萎缩,刷牙的方式方法不正确会引发牙龈萎缩,使用特别硬的牙刷会导致牙龈萎缩。
牙齿磨合力过大也会造成牙龈萎缩,牙龈底部结石会引发牙龈萎缩等,这些都会引发牙龈萎缩的发生。

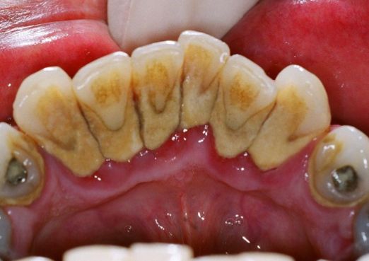
牙根处的牙结石
3、那么,牙龈萎缩后该怎么办?
对于牙龈萎缩,我们不能轻视,因为要知道牙龈萎缩往往是不可逆的,也就是说一旦牙龈出现萎缩,是难以治愈的,因此,最重要的便是要注意日常的预防。
牙龈萎缩如果是病理性的则要通过正规的牙科医院来诊治,要积极的治疗牙周炎、牙龈炎,定期清理牙结石。对于使用假牙的人,如果假牙不适合,要提早的修整,定期的进行牙齿的保健。

如果是生理性牙龈萎缩,则要注意养成良好的刷牙习惯,每天至少要刷牙2-3次,注意保持口腔的清洁。
要注意刷牙的方式方法,避免用力过猛,使用刷毛较软顶端圆钝的牙刷,注意选择含氟牙膏。
今天的口腔科普就到这里,如果你对牙龈萎缩还有什么疑问,欢迎关注【羊城口福行动】和评论,护牙君会在评论区回复大家。