
这是 达医晓护的第 2496 篇文章

相信“微创”这个词对大家来说并不陌生,随着外科手术技术的日新月异,“微创”手术如雨后般的春笋在外科的各个领域迅速开展起来。
微创手术提倡小切口,减少软组织的剥离,最为典型的代表就是孔镜手术的发展。与我们骨科相关的有椎间孔镜和关节镜。一些创伤骨折手术和关节置换术也提倡微创以加速术后康复,下面来和大家简单聊一聊这些微创手术。

由于信息技术的高速发展,目前手机已成为我们生活中最重要的随身物品之一,几乎随时随地都可以看到“低头一族”。由此导致的颈腰椎疾病的广泛化和年轻化问题正凸显出来,严重困扰着患者的日常生活和工作。
椎间孔镜技术在这样的时代背景下正越来越受患者的青睐。该手术技术具有“手术时间短、局部麻醉下操作、精准定位操作、切口小创伤小、术后恢复快”等诸多优点。

当然椎间孔镜也有它的局限性。手术适应症相对简单,一些复杂的腰椎疾病和颈椎疾病无法通过微创手术来彻底解决问题。虽然操作孔很小,但由于其操作区域在脊髓和脊神经周围,所以手术风险还是比较高的、对医生来说学习曲线较长、手术技术要求也相对较高。

由于现在人对生活质量的要求大大提高,所以以往的很多保守治疗的骨关节病,现在也通过关节镜手术来为患者“排忧解难”。
开展的最多的就是膝关节镜和肩关节镜,随着这两项关节镜技术的日益成熟,越来越多的关节周围疾病可以通过微创关节镜手术来解决。肘关节、腕关节、踝关节及髋关节周围的很多疾病也逐渐发展起来,相信在不久的将来能越来越成熟。

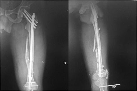
除孔镜技术外,传统骨科手术也越来越讲求小切口、少剥离、早康复的治疗原则。不再一味地要求解剖复位、而是更注重生物学功能。如图所示、微创手术在术中对周围软组织的干扰更小、术后相关后遗症明显降低。

这是我们对股骨多段粉碎性骨折采用小切口复位微创髓内钉固定手术,朋友们包括患者和家属当时看了这个术后复片之后对我们的手术技术是不认可的,对术后功能的恢复也是质疑的,最后愤愤然地出院了。
其实不然,微创理念要求我们不去破坏骨骼再生修复的内环境,这就不能像传统手术一样将每一块碎骨都拼回原位、修复如新。我们不再以此为目的大肆破坏周围结构、为了追求片子上的完美(我们称之为解剖复位)而导致患者部分功能破坏、终身肢体残障。

该患者及家属在1年后特地带着锦旗和鲜花来感谢我们,最让我们欣慰的不是这些,而是看到患者肢体良好的功能恢复,骨折的完全愈合。
现在髋关节置换前路手术也是微创技术带来的福音、可以大大减少传统关节置换术的出血和创伤、为老年人早期康复提供了良好的基础。

希望广大读者能更多的了解一些微创手术理念,不要仅仅停留于微小手术切口这一层面。希望在不久的将来,微创手术能更多更广的发展、造福大众。
作者:上海第七人民医院创伤骨科 居宇峰
“疫”起运动,“骨”动健康
得了“骨肿瘤”怎么办?
体内植了“死人骨头”没事吧?
爱“膝”身体,“骨”若金汤,勇攀高峰
骨质疏松不用怕!

部分图片摘自网络,如有侵权请告知,予以删除。
所有人名和地名均为化名,如有雷同,纯属巧合。