来源:即时超声 版权归原作者所有
1. 腋窝解剖:腋窝当上肢外展时向上呈穹窿状皮肤凹陷,内有腋动脉、腋静脉、臂丛神经分支、淋巴结核疏松结缔组织。
2. 腋窝常见疾病女性多见副乳、副乳可并发增生、腺瘤,也可癌变。
腋窝淋巴结病变(淋巴结病变不在本章介绍)、脂肪瘤、神经来源肿瘤、皮脂腺囊肿、表皮样囊肿、淋巴管囊肿等。
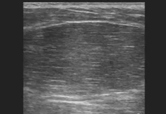
3. 副乳:发生率为1%~5% ,发生部位常见于腋窝或胸前部,多对称分布。可随着月经来潮而发生周期性的变化,妊娠期增大较明显,哺乳期可有泌乳。
超声表现:一般在表浅的皮下探及乳腺样组织,位置较表浅,呈薄片状。
小的副乳应和脂肪堆积鉴别
脂肪堆积表现为腋下皮下脂肪局部增厚,边界不清,与脂肪组织相连,按脂肪组织有规律排列;小副乳不按脂肪组织有规律排列,回声类似腺体组织回声。

副乳癌



4. 腋下脂肪瘤:超声表现为浅筋膜层见椭圆形肿物,长轴与皮肤平行,内部回声为等回声及强回声,并可见带状或羽毛状强回声,内部一般未见血流信号。


5. 腋下神经来源肿瘤:多呈圆形或椭圆形,有包膜,边缘回声清楚且光滑,内部多呈较均匀的低回声,内部易发生囊性变,坏死和出血, 能发现瘤体两端有大的神经干,呈鼠尾征。
主要包括神经鞘瘤和神经纤维瘤,二者在超声上不易鉴别。


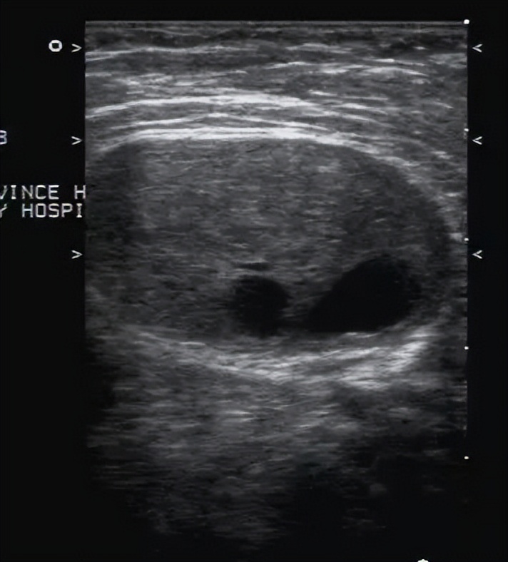
6. 腋下皮脂腺囊肿:又称皮脂囊肿或粉瘤,皮脂腺导管阻塞,分泌物潴留积聚,腺体逐渐增大所形成。
超声表现:形态规则,呈圆形或椭圆形,内部可为无回声,也可为均匀细点状回声。


7. 腋下表皮样囊肿:是由于外伤所致表皮进入皮下生长而形成的囊肿,囊壁由表皮构成,囊内充满角化鳞屑。
超声表现类似皮脂腺囊肿,内部呈点状低或高回声,不均匀,部分类似实性。

8. 腋下淋巴管囊肿:表现为囊性包块,内可有分隔

