有个网络问诊的病人,她的结节形态到底良恶性很难界定,她又特别仔细,咨询或就诊了京城许多主任级别的大伽,包括北京友谊医院、北京胸科医院结核科及医学影像科、中国医学科学院肿瘤医院等,也在网络上问诊了广东省人民医院、北京朝阳医院、广州中医药大学第一附属医院、浙江省人民医院等诸多医院。有认为可能是结核,也可能是肺癌的;也有认为真菌感染或非分枝杆菌感染的;大多数胸外科大伽则认为是肺癌,建议其赶紧手术的……
下面展示她的结节,并从细节进行分析探讨,供同道参考:
患者女性,44岁:

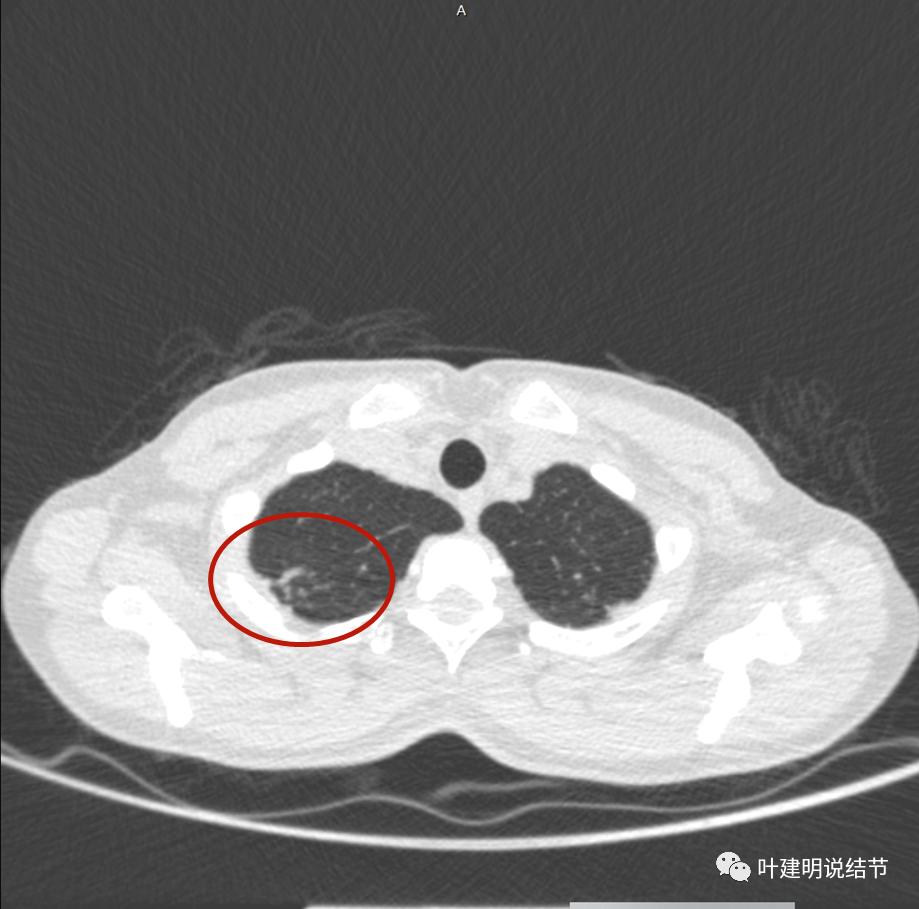
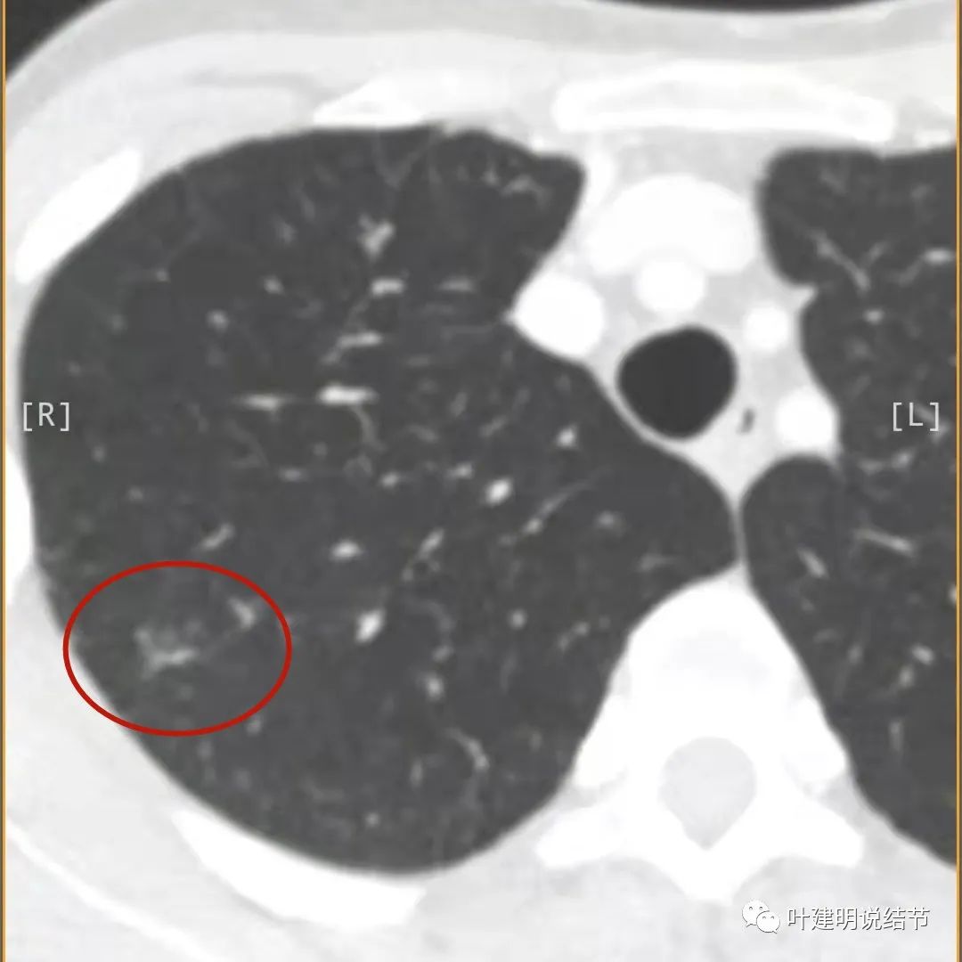
上面是她提供的病史资料,其中最重要的是PPD强阳性!其他主要看影像,我们先来看她2020年7月份的平扫片子(由于片子较多,详细展示是为了同道分析,我在影像特征描述上将只选取部分加以说明):


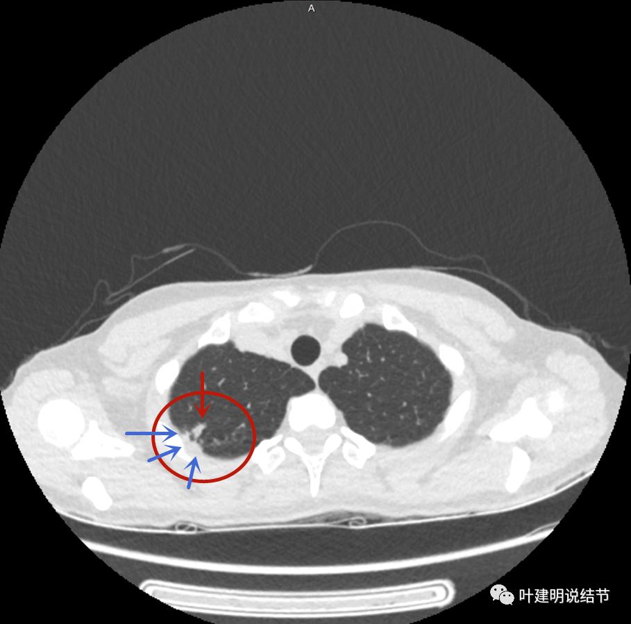
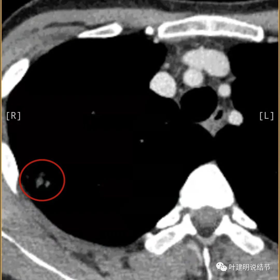
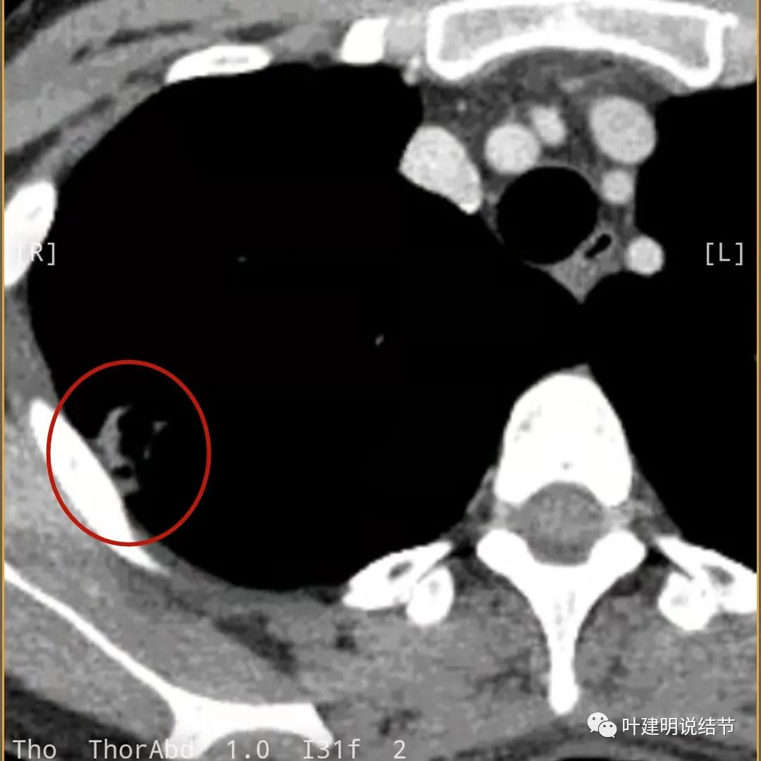
右肺尖偏实性结节(粉色箭头),邻近胸胸膜明显增厚不平,且广基附在胸壁上(蓝色箭头)

有卫星病灶(绿色箭头)

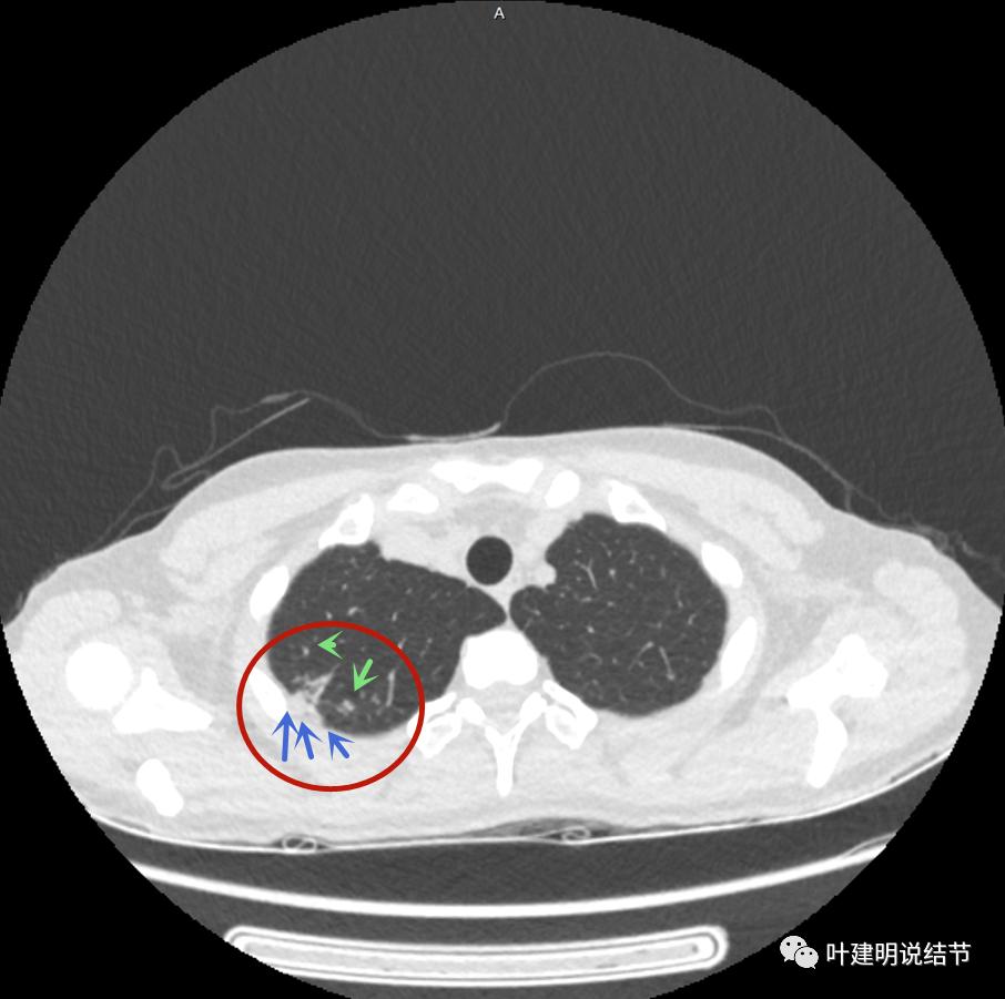
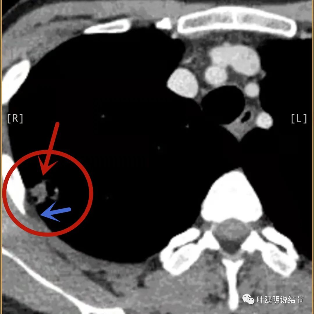
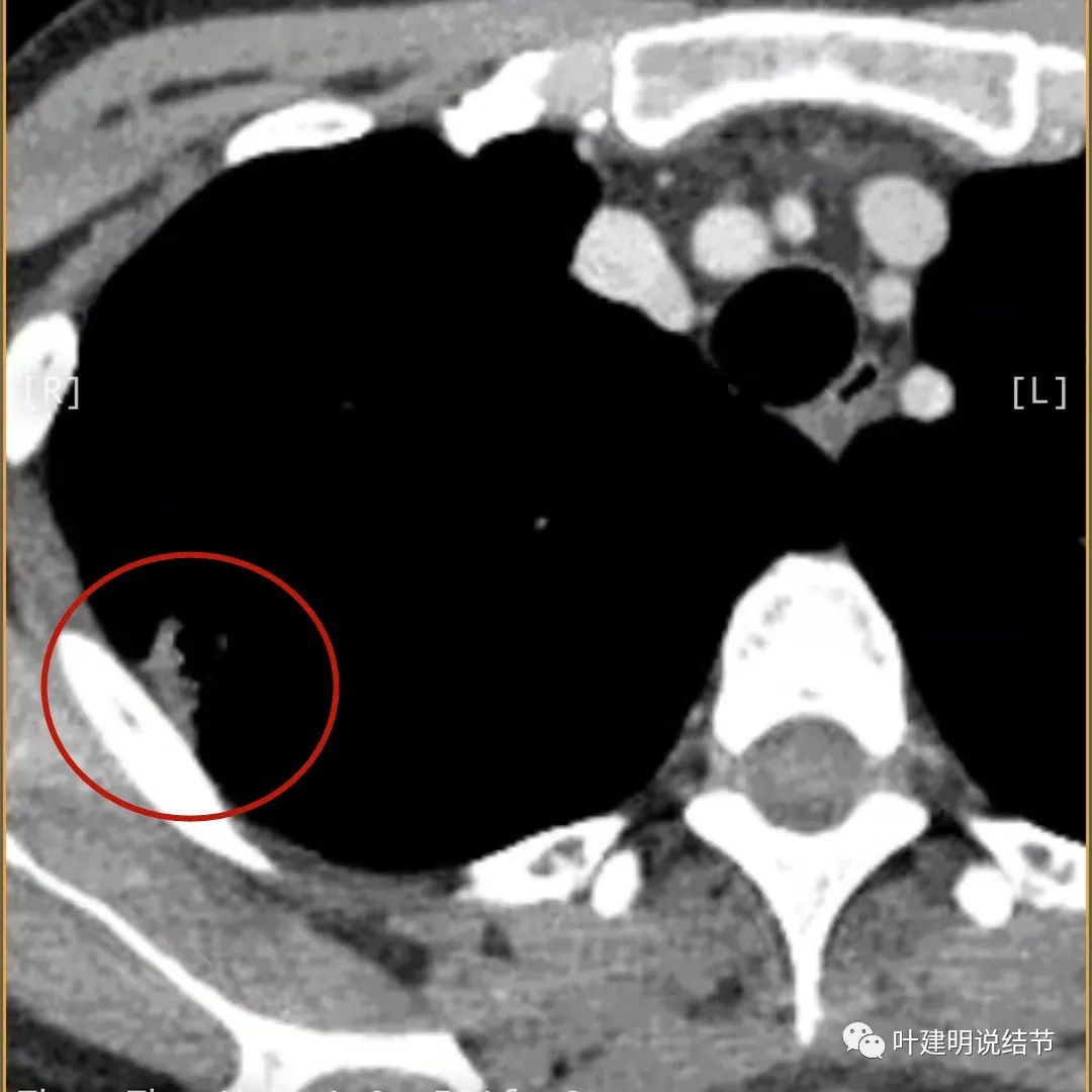
胸壁侧病灶较厚,模糊(蓝色箭头),仍见卫星灶(绿色箭头)

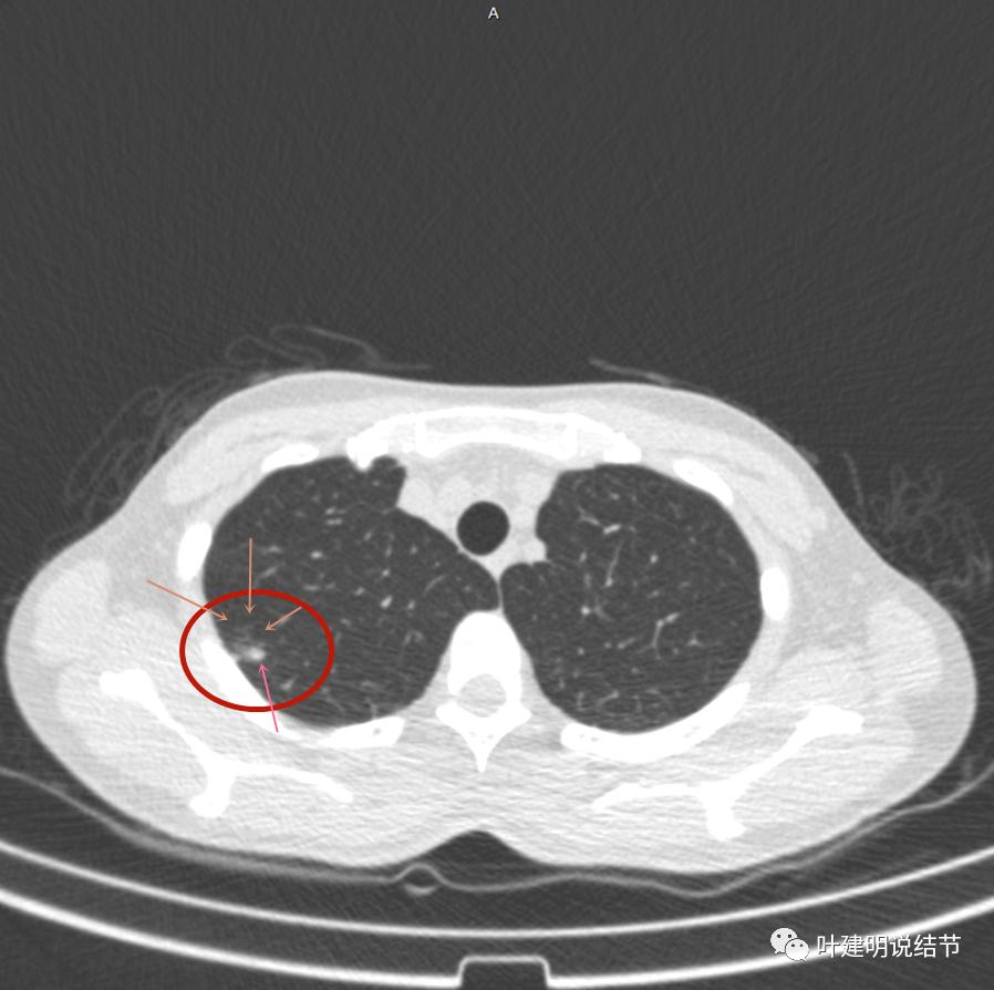
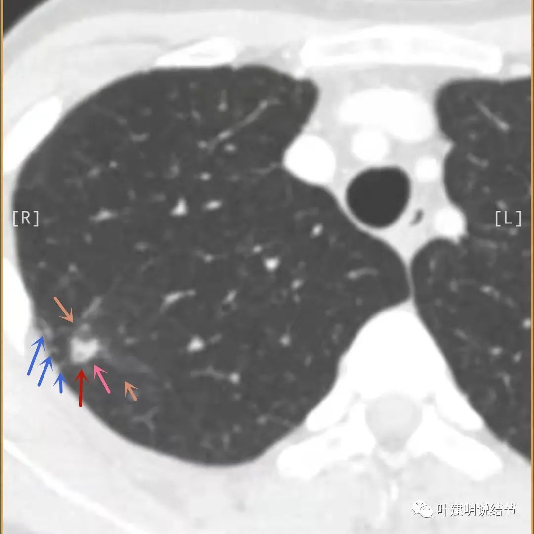
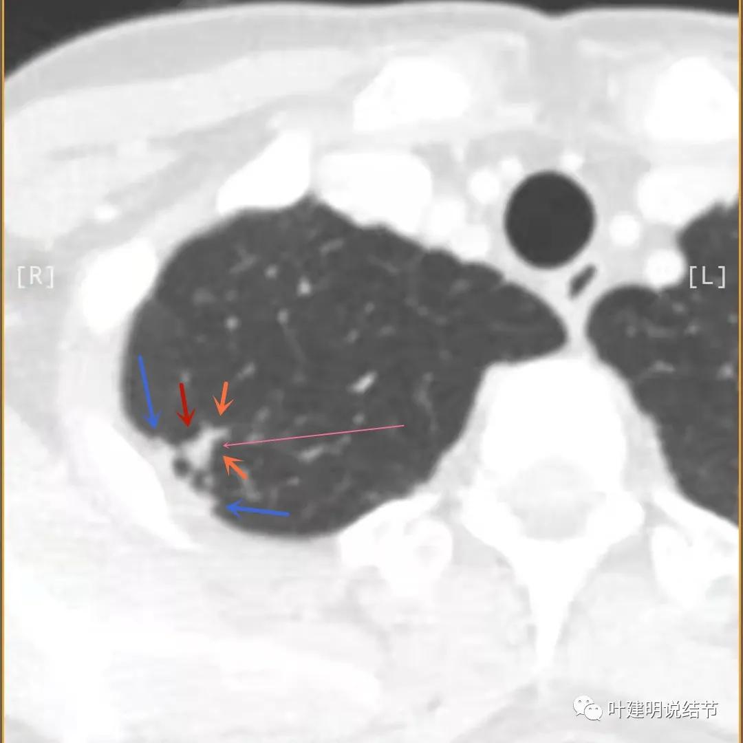
主病灶出现,粉色箭头示病灶密度较高,边上有磨玻璃影,甚淡(砖色箭头)

病灶有空洞(黄色箭头),主病灶边上见条索状高密度影(细红色箭头),邻近胸膜有粘连(蓝色箭头)


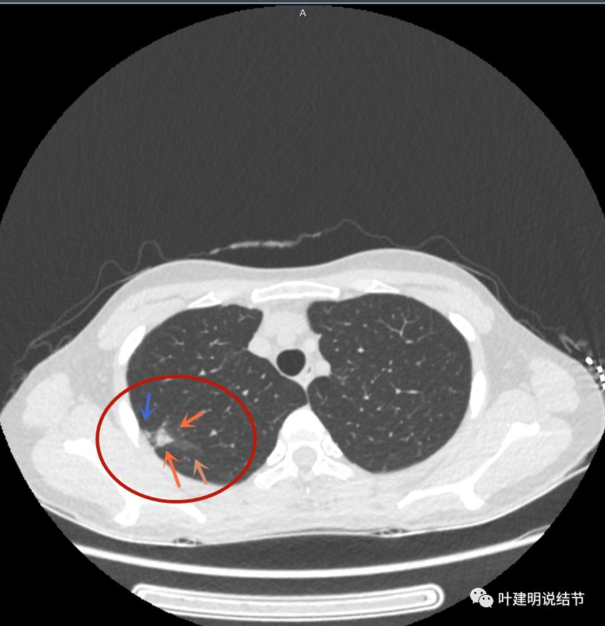
邻近胸膜明显增厚,且广基底,主病灶前方有小片磨玻璃影


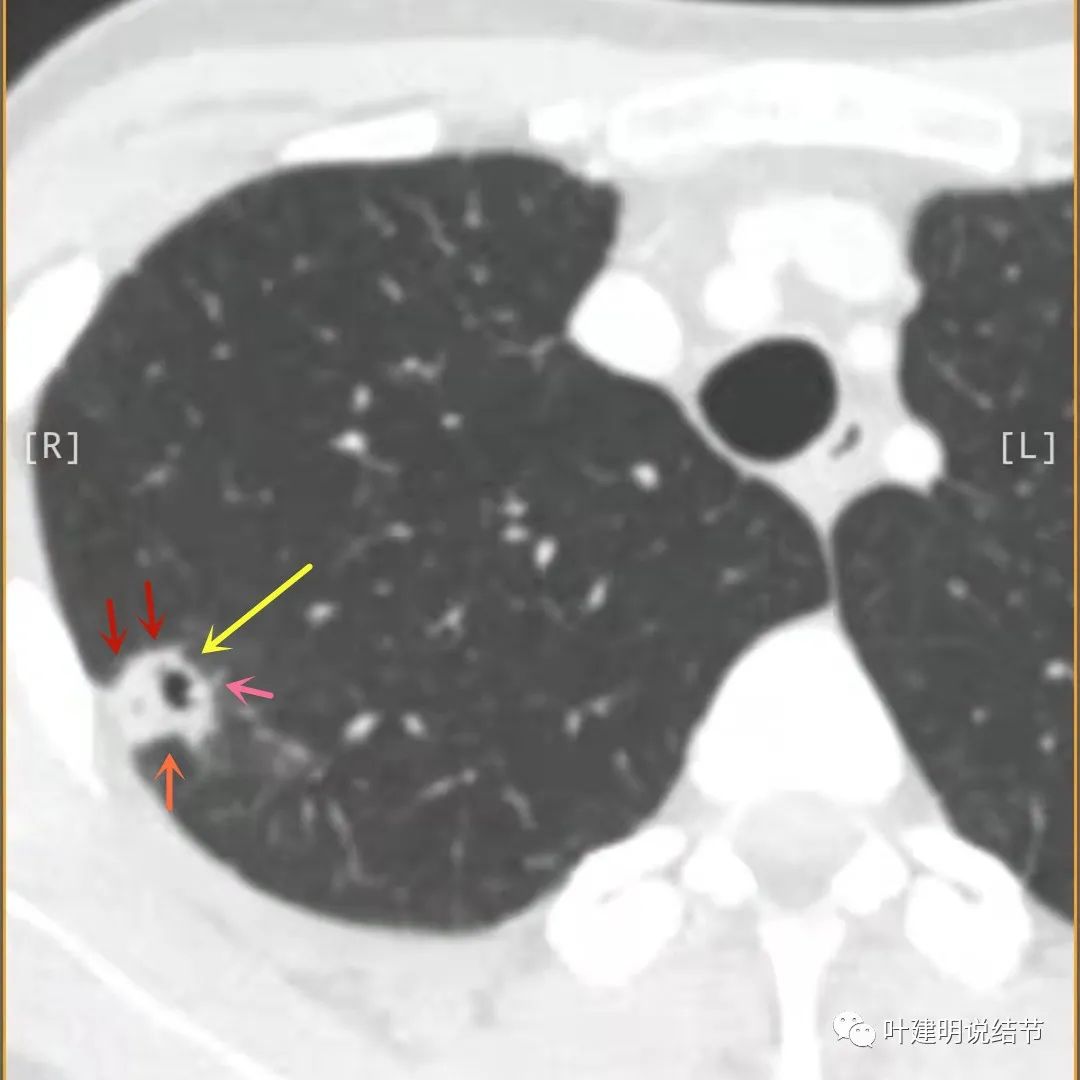
主病灶与胸膜间基本相连,模糊清(蓝色箭头),主病灶壁厚薄欠均,边上有高密度条索状(桔色箭头)

主病灶不见了的层面,仍有边上高密度条索状的影像,邻近胸膜仍有异常(蓝色箭头)
影像初印象:右上病灶散在,不致密,密度偏高,磨玻璃影不是平时典型恶性的磨玻璃瘤肺边界清楚或含毛刺征的征象,更符合炎性病变,且邻近胸膜广基的异常增厚。
下面是今年复查的平扫片子,来看看有什么变化:

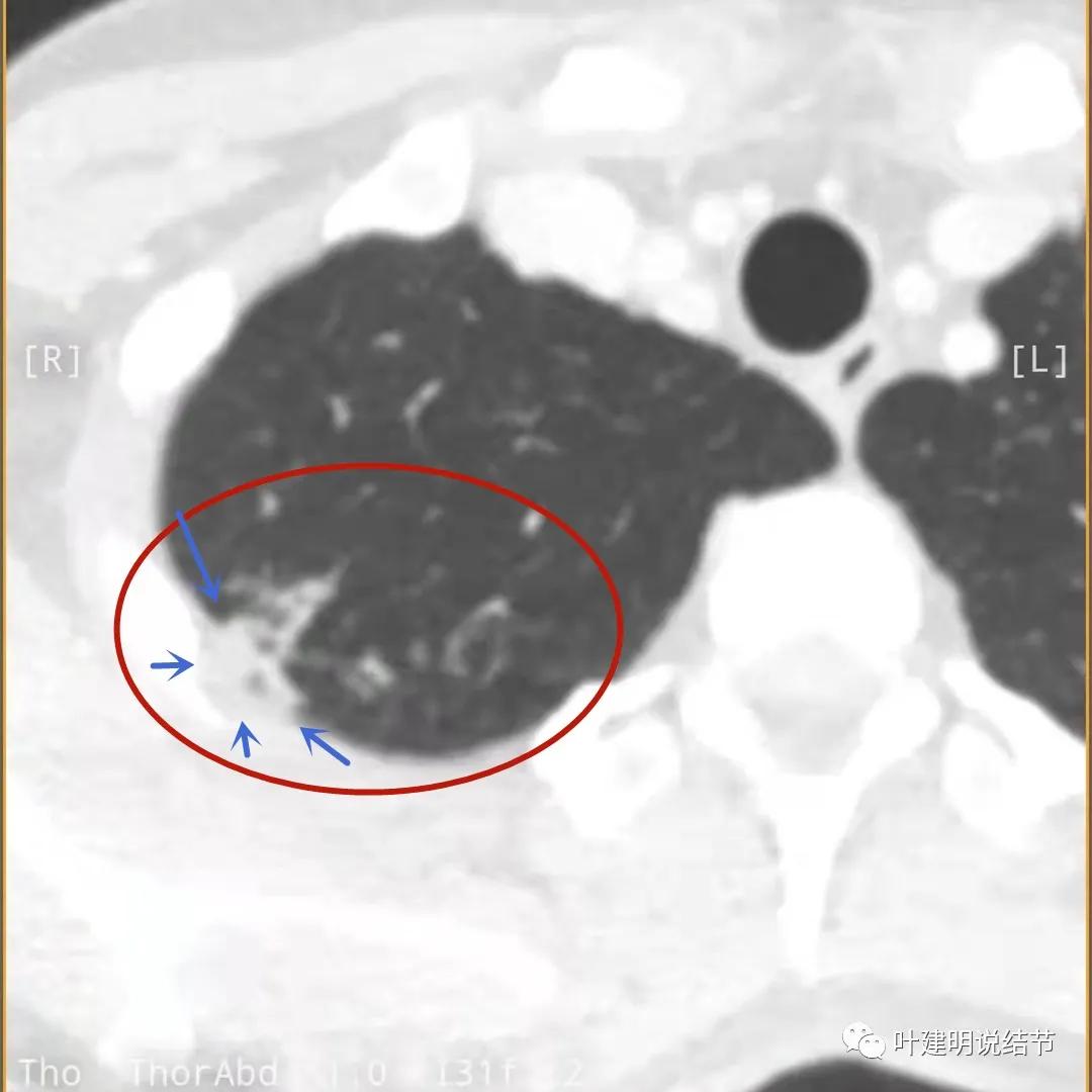
病灶邻近胸膜异常增厚(蓝色箭头)

有卫星灶(绿色箭头),邻近胸膜明显增厚,且模糊,边不清

邻近胸膜增厚

主病灶此层面似三角形,邻近胸膜增厚(蓝色箭头),结节实性部分密度较高(粉色箭头),边缘显模糊(砖色箭头)


上图与恶性较为符合,空洞性病灶,壁厚薄不均,增厚部分还凹凸不平(细红色箭头所指)

上图磨玻璃部分密度过低,且与正常肺组织界限模糊(砖色箭头),粉色箭头示囊壁密度过高的点状,蓝色箭头示邻近胸膜处的增厚

上图也像恶性,但整个囊壁的密度感觉过高了点,边缘磨玻璃淡、散且模糊,邻近胸膜有增厚

上图病灶的边相对比较光,没有毛刺征,邻近胸膜增厚

上图病灶边缘比较平直,没有膨胀性(桔色箭头),旁边的磨玻璃影淡且界限不清,邻近胸膜增厚。
再看影像印象:病灶较1年前有所进展,部分层面像恶性,囊壁厚薄不均,内面有小突起。但邻近胸膜增厚,旁边的磨玻璃部分散且淡,边界不清,实性部分边相对较光,囊壁有点状过高密度。良性可能性大些,恶性不能除外。
我们再来看薄层的CT图像:

病灶出现,模糊的磨玻璃影

部分密度过高,且呈条状

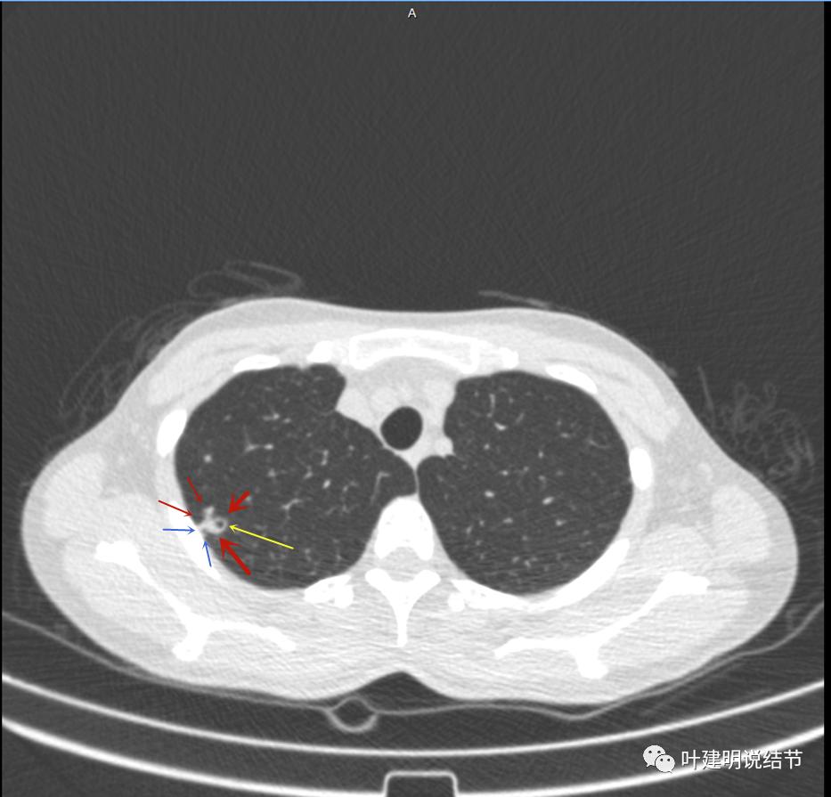
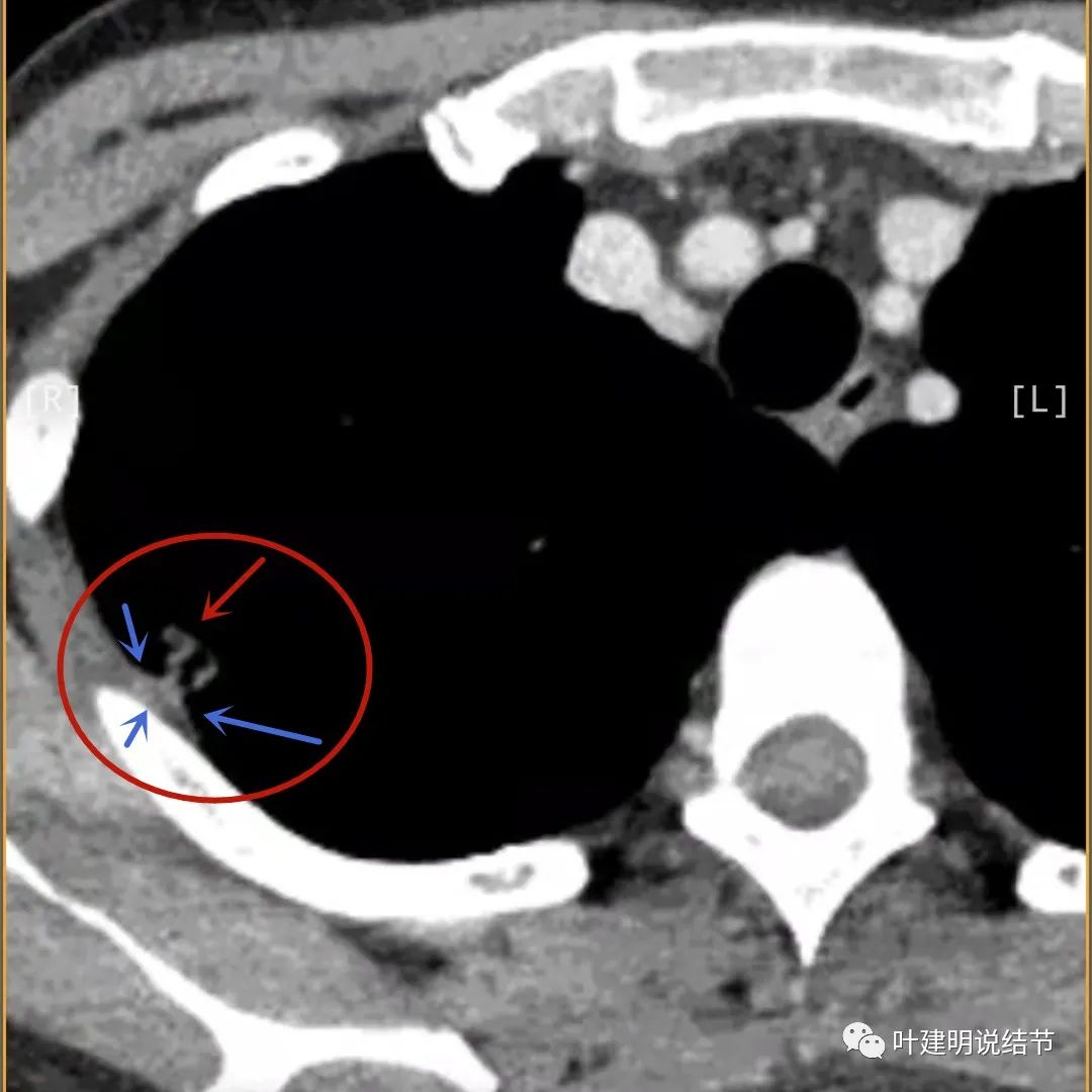
邻近胸膜有增厚(蓝色箭头),主病灶边界较清(红色箭头),实性部分密度过高(粉色箭头),旁边有磨玻璃影,散且模糊(砖色箭头)

邻近胸膜有增厚(蓝色箭头),主病灶实性部分密度过高(粉色箭头),旁边有磨玻璃影,散且模糊(砖色箭头)

邻近胸膜有增厚(蓝色箭头),主病灶实性部分密度过高(粉色箭头),旁边有磨玻璃影,散且模糊(砖色箭头),病灶有空腔(黄色箭头)

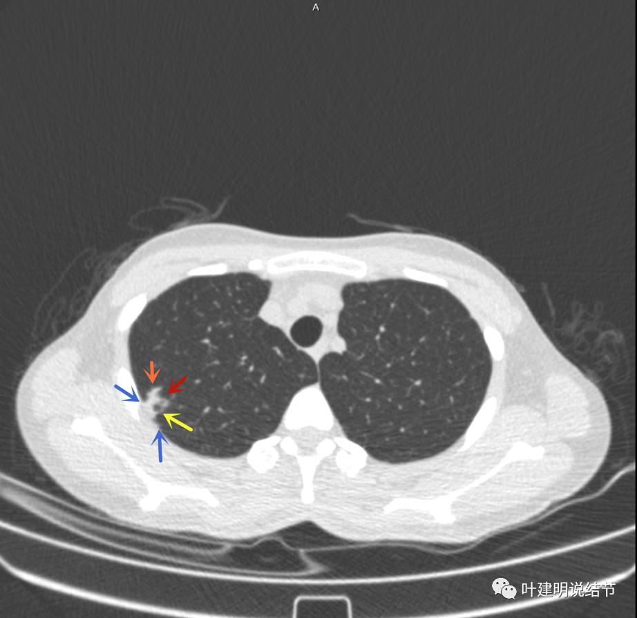
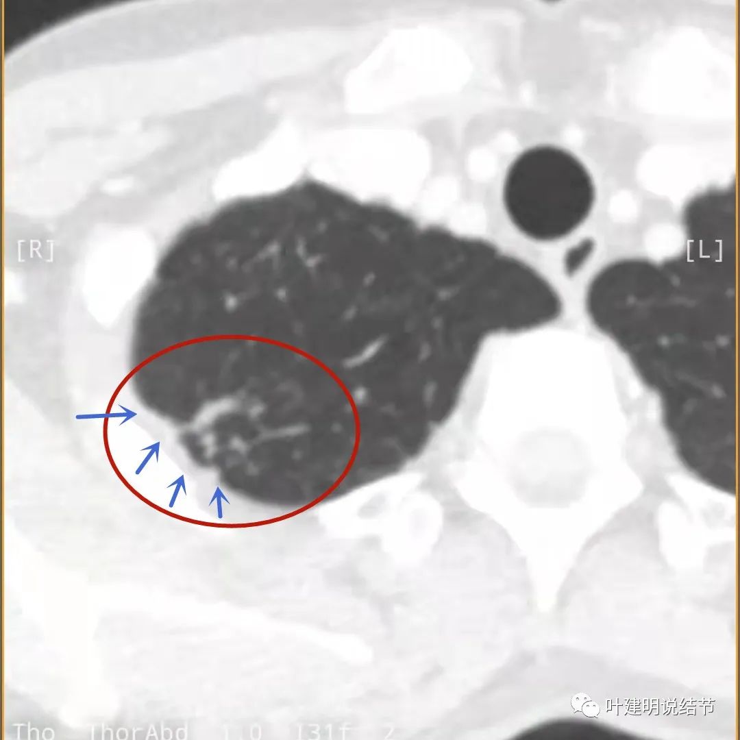
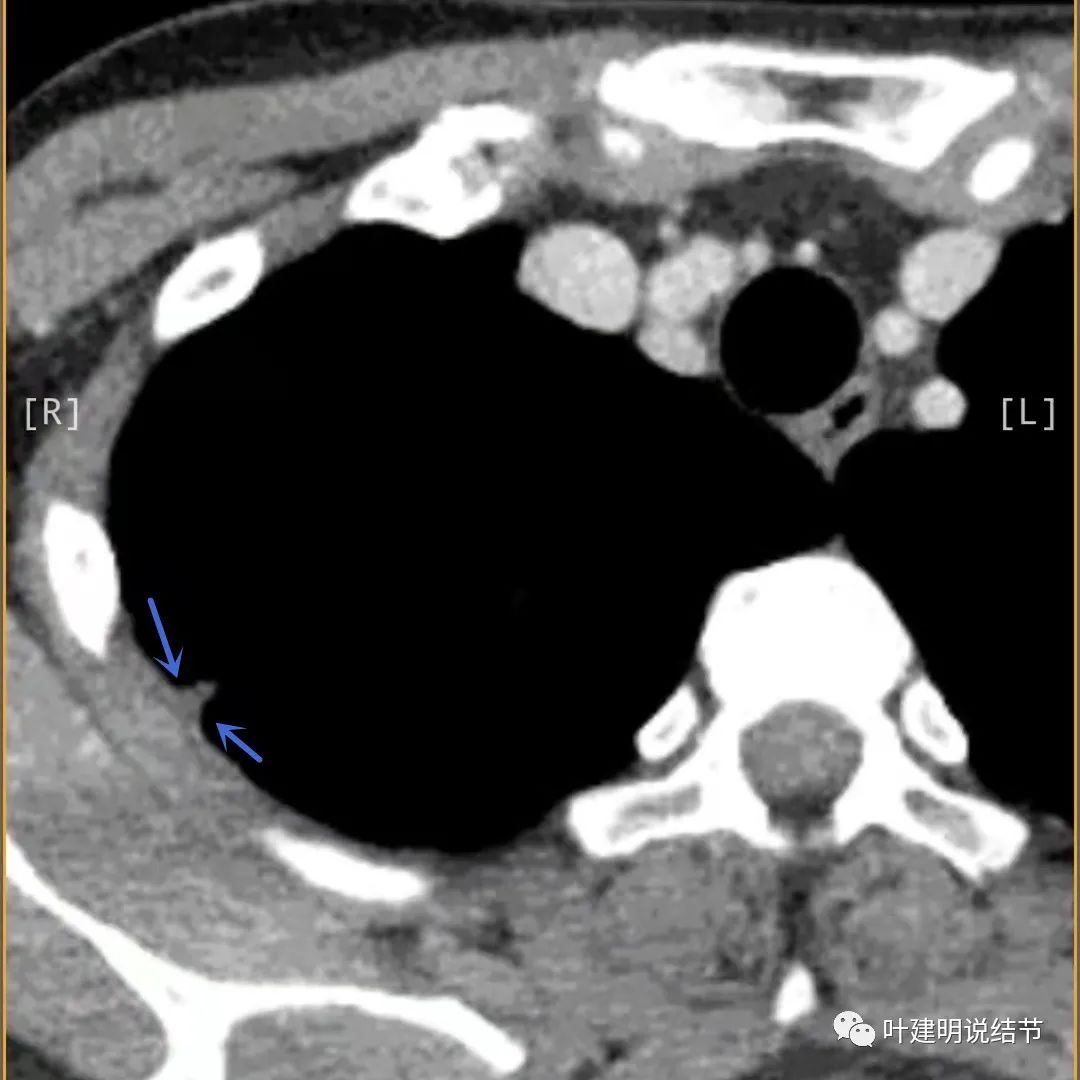
主病灶边界较清(红色箭头),实性部分密度过高(粉色箭头),病灶边缘向内凹,缺乏膨胀性(桔色箭头),病灶有空腔(黄色箭头)

邻近胸膜有增厚(蓝色箭头),主病灶的壁密度过高且整个壁密度都高(粉色箭头),旁边有磨玻璃影,散且模糊(砖色箭头)。内壁不均质(此不舒服)

邻近胸膜有增厚(蓝色箭头),主病灶囊壁密度过高(粉色箭头),内部有突起(细红色箭头),旁边有磨玻璃影,散且模糊(砖色箭头),中间有空腔,内壁有些区域又是光滑的

邻近有卫星灶(绿色箭头),主病灶密度过高(粉色箭头),旁边有磨玻璃影,散且模糊(砖色箭头)


邻近胸膜有增厚(蓝色箭头),主病灶边缘较为平直,缺乏膨胀性(桔色箭头),实性部分密度过高(粉色箭头),旁边有磨玻璃影,散且模糊(砖色箭头)


病灶边缘较为平直,膨胀性不足(桔色箭头)



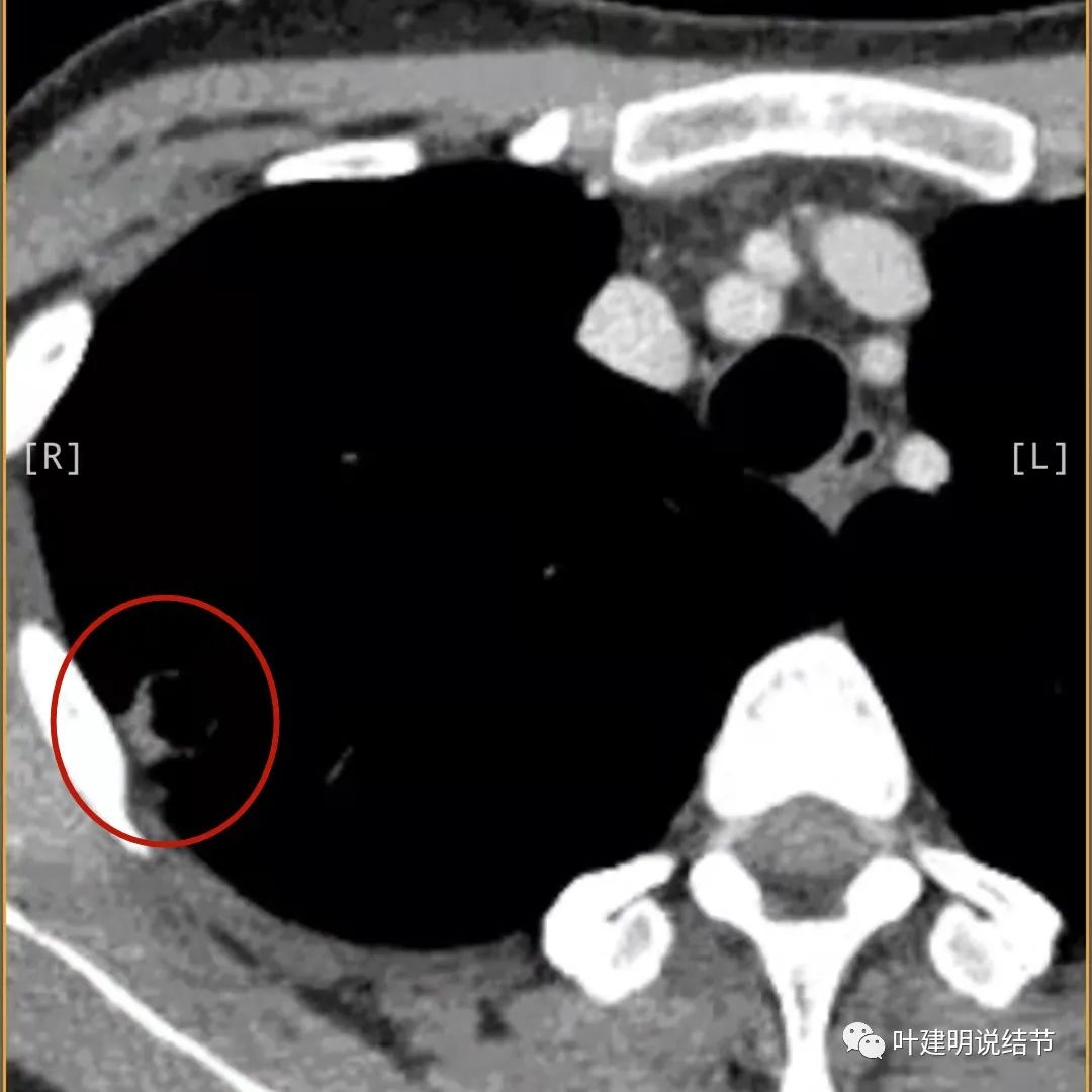
胸膜增厚突起明显,与主病灶可能不相连

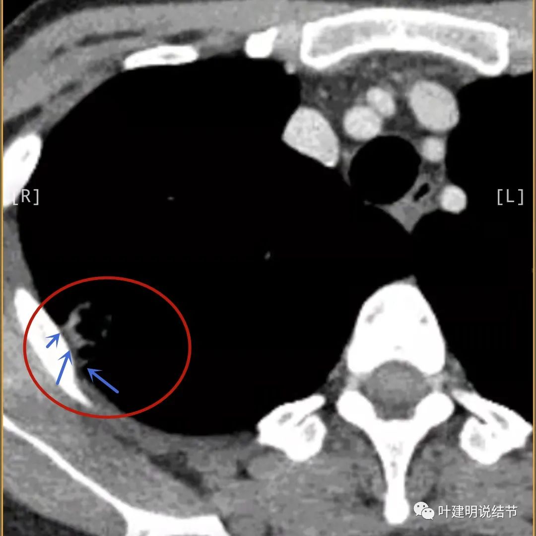
这是较上面的层面,有卫星灶(绿色箭头)以及淡磨玻璃影,散且淡,胸膜增厚突起(蓝色箭头)

病灶以胸膜处增厚为主,与空腔性病灶不相连,此为慢性炎病灶

胸膜明显增增厚

胸膜明显增厚,又出现与胸膜不相连的病灶,密度过高,边缘模糊,中间密度很高密度(粉色箭头所指),边缘平直无膨胀(桔色箭头)

胸膜增厚



纵隔窗无钙化

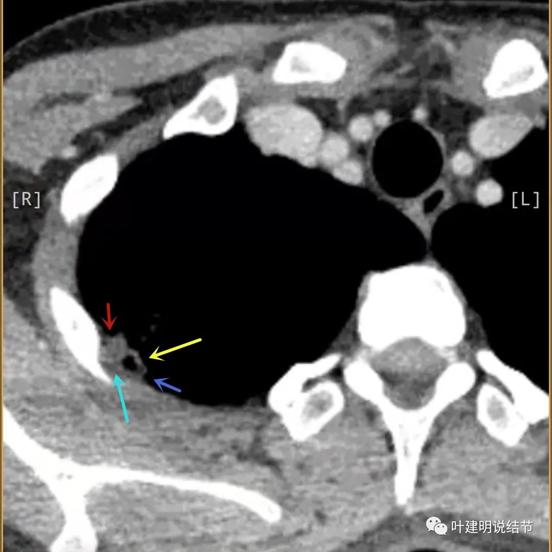
蓝色箭头所指处居然有低密度影,难道是坏死?因为比肌肉密度低,也无强化,况且主病灶的中间也有个低密度的小点状

病灶有明显强化(说明炎性可能性大,如果恶性这样强化,血供丰富,应该倍增速度更快。蓝色箭头示胸膜处低于软组织密度的区域;桔色箭头示病灶边缘平直缺乏膨胀性;黄色箭头示中间的空腔

邻近胸膜处的增厚密度低于肌肉组织,病灶强化明显且均匀






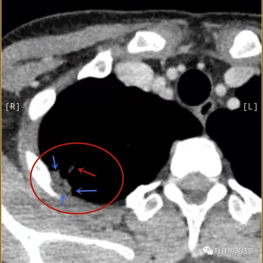
此层也见明显的低密度区域(天蓝色箭头)

胸膜处明显增厚伴低密度区域



天蓝色箭头示病灶低密度区,考虑坏死可能性大,桔色箭头示边缘凹陷无膨胀性

上图示空洞偏心,而且红色箭头所指处与空腔似乎是整合,而非囊壁生长增厚。天蓝色箭头示近胸膜处的低密度区域,考虑坏死成分,囊壁的邻近部分也是极低密度区域,也可能是干酪样坏死区

近胸膜处很厚的软组织

贴胸膜侧也是有强化的,这里可不是结节主病灶所在
薄层影像印象:病灶有明显强化,且邻近胸膜处及部分囊壁区有极低密度区域,考虑干酪样坏死可能性大,肿瘤的坏死可能性小,肿瘤一般要长的比较大,中央缺血性坏死。整体病灶也是觉得散,且邻近胸膜处甚厚。考虑炎性,尤其是肉芽肿性炎伴干酪样坏死可能性大。
我们再来瞧瞧冠状位与矢状位的图像:

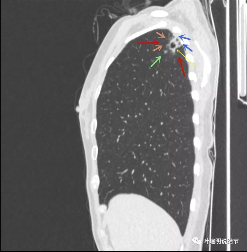
病灶较散,有磨玻璃影,但磨玻璃的边缘模糊不清(砖色箭头),囊壁密度过高(粉色箭头),毛刺样的结构偏长,空洞内壁较光滑,有卫星灶(绿色箭头)

病灶邻近胸膜增厚明显(蓝色箭头);病灶似三角形,边缘平直(桔色箭头);有磨玻璃淡且散,边缘不清(砖色箭头);有卫星病灶(绿色箭头)

有卫星灶,且条索状(绿色箭头),囊壁密度过高(粉色箭头);有空腔征(黄色箭头)

邻近胸膜增厚明显(蓝色箭头),病灶边上部分有淡磨玻璃(砖色箭头)

病灶与胸壁间不似毛刺,像炎性粘连(相连的结构粗细均匀,没有离开病灶后变细,密度较高,邻近胸膜也增厚的);有卫星状(绿色箭头);有淡且散的边缘不清的磨玻璃成分(砖色箭头)

病灶密度高,膨胀性弱,有中间空洞(黄色箭头),囊壁密度过高(粉色箭头);有淡磨玻璃成分(砖色箭头)以及邻近胸膜的明显增厚(蓝色箭头)
总体影像分析:
倾向恶性的特征:1、病灶随访增大;2、囊壁厚薄不均,局部增厚明显;3、增强有强化;4、结核相关检查除外PPD外均没有依据;5、内壁有的层面不光滑,有突起不平的地方;
倾向良性的特征:1、病灶空腔随访增大,但实性部分变化有限;2、囊壁整体密度过高,部分区域有点状高密度;3、囊壁薄的地方较为平整;4、邻近胸膜明显增厚,并也有强化,在增强片子上可见极低密度区,考虑干酪样坏死可能性大;5、主病灶强化过于明显,如果是肿瘤,生长速度应该更快;6、主病灶上方有其他慢性炎表现的病灶,从一元论角度需同源因素先考虑;7、病灶有磨玻璃成分,但磨玻璃部分密度过淡且散,与正常肺组织界限模糊;8、PPD试验强阳性,且后续沟通中其公公以及丈夫和丈夫的姐妹均有结核病史,有的有治疗,有的没有治疗。
我的意见:首先考虑炎性病变,以肉芽肿性炎伴坏死可能性为大(结核性优先考虑),可能性占7成以上;不能完全除外恶性,可能性小于2-3成;不能除外只是慢性炎症或其他炎症。建议试验性抗结核治疗4-6周后复查右上叶靶扫描加重建,再进行评估。如果病灶有所吸收好转则继续抗结核治疗;如果病灶进展,可以依诸多专家意见手术。
(此处已添加医疗卡片,请到*今条头日**客户端查看)