鳞癌可能是免疫治疗尤其是原位疫苗或局部免疫治疗最易获益的人群。我们向大家提供一个近期治疗的病例:
患者为35岁年轻女性,2021-07-09行宫颈癌根治术,术后病理示宫颈鳞癌IB3期。术后给予TP方案辅助化疗四周期及盆腔辅助放疗(2021-10-8至2021-11-15,盆腔PTV:50Gy/25f,阴道后装:粘膜下0.5cm:10Gy/2f)。
2022-05因肛门坠胀复查CT及盆腔MRI发现盆腔左侧占位,侵犯直肠。考虑复发。入组临床试验:PD-1抗体+CTLA-4抗体,两药联合治疗一次,PD-1抗体单药治疗2次。复查CT提示病灶较前增大,评估疾病进展。
因肿瘤侵犯直肠出现消化道大出血伴重度贫血,于2022-07-07行横结肠造口+肠粘连松解术,术后便血有所减少,直肠仍间断有鲜血流出伴明显肛门坠胀痛。
入组“R-ISV-FOLactis”技术治疗晚期实体瘤的探索性临床研究
经多次输血、对症治疗治疗后,完成两周期大分割放疗联合FOLactis瘤内注射及PD-1抗体免疫治疗。
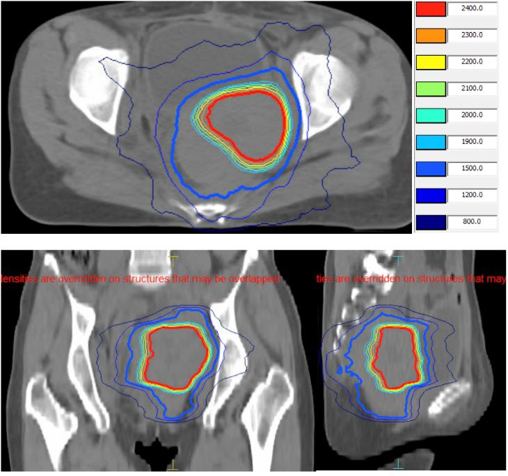
第一周期:2022-8-24开始盆腔病灶放疗d1-3,PTV(含所有病灶):5Gy×3f,PGTV(避开直肠):8Gy×3f, PD-1抗体(替雷利珠单抗)免疫治疗d2,FOLactis瘤内注射治疗两次d3、d7。
第二周期:2022-9-15盆腔病灶放疗d1,PTV:5Gy×1f,PGTV:8Gy×1f。PD-1抗体(替雷利珠单抗)免疫治疗d2,FOLactis第3次瘤内注射治疗d2。

图1. 放疗靶区图

图2. CT引导下经皮穿刺瘤内注射免疫佐剂
疗效评价:治疗后患者直肠出血明显减少,肛门坠胀痛明显减轻,贫血改善无需再输血。影像学提示盆腔病灶明显缩小达PR;瘤内注射区域液化坏死,肿瘤缩小较非瘤内注射区域更显著。血肿瘤指标SCC由治疗前的1410ng/ml降至55ng/ml。
第一周期瘤内注射前肿瘤穿刺活检病理提示为转移性鳞癌;第二周期瘤内注射同一部位穿刺活检病理提示:慢性炎性细胞浸润,未见癌细胞 。
治疗期间不良反应:发热、转氨酶升高,对症治疗后好转。

图3. 治疗前后血清鳞状细胞抗原的变化

图4. 治疗前后CT:盆腔病灶明显缩小,瘤内注射区域肿瘤缩小较非瘤内注射区域更显著。
讨论:免疫性放射治疗或者瘤内注射免疫佐剂可以改善肿瘤微环境,激发肿瘤的免疫原性,产生原位疫苗,促进机体产生肿瘤特异性T细胞增强免疫治疗效果。免疫激活型乳酸乳球菌(FOLactis)为*京大南**学医学院鼓楼医院肿瘤中心研制出的重组益生菌,对DC细胞和T细胞具有活化功能,动物模型体内验证了FOLactis作为原位疫苗的良好抑瘤效果,是一种理想的免疫佐剂。本中心开展了“一种新型 R-ISV-FOLactis技术治疗晚期实体瘤的探索性临床研究”,针对难治性肿瘤采用大分割放疗促进肿瘤抗原释放,同时使用重组乳酸乳球菌FOLactis作为免疫佐剂进行瘤内注射,形成复合原位疫苗,达到免疫增敏效果以诱导长期免疫反应。
晚期复发转移性宫颈癌药物治疗效果差,放疗后复发的患者治疗尤其困难,对于各种药物耐药且常规再程放疗难以耐受。免疫检查点*制剂抑**给难治性肿瘤带来希望,但在宫颈癌的单药有效率不到20%。本例宫颈癌患者盆腔照射野内复发后使用PD-1抗体+CTLA-4抗体双免疫治疗效果不佳,肿瘤快速进展,侵犯直肠引起消化道大出血、重度贫血及疼痛等严重并发症。采用大分割放疗联合瘤内注射FOLactis免疫佐剂的复合原位疫苗策略,增强了PD-1抗体免疫治疗的疗效,逆转肿瘤耐药,成功缓解了难治性耐药肿瘤,并且不良反应轻微。经过治疗,患者肿瘤负荷明显下降,消化道出血及疼痛症状明显缓解,生活质量得到显著改善。
供稿:朱丽晶(*京大南**学医学院附属鼓楼医院肿瘤中心 主任医师 硕士生导师)
修改:刘宝瑞(*京大南**学医学院附属鼓楼医院肿瘤中心 主任医师 博士生导师)