
对于孩子的蛀牙不少妈妈有苦难言:
我家孩子从小牙就不好,一两岁就有蛀牙了。我没有给孩子吃糖,也不知道为什么这么命苦....
难道真的是因为运气不好???
为了不让更多的妈妈掉进坑里,春芽宝贝要给各位科普一个新知识。
先来看看妈妈的一纸诉状,看看让孩子从小就烂牙的“凶手”究竟是谁?


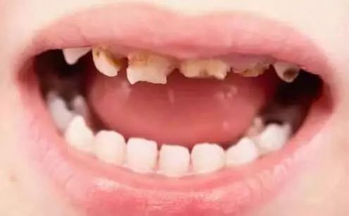
奶瓶龋是什么?
奶瓶龋(Nursing bottle caries)顾名思义,是由于长时间用奶瓶人工喂养,尤其是父母喜欢让宝宝含着奶瓶玩耍或睡觉的做法,导致婴幼儿时期特有的乳牙龋病。

这种情况常常发生在2-4岁的孩子身上,常见的是上排门牙的唇侧面以及牙齿邻面出现大面积龋坏。一般还有大面积的黑色或黄色色素沉积,严重的时候还会导致牙齿脱落。

所以,按照美国儿童口腔医学会的建议:1岁以后的孩子要开始逐步戒除奶瓶,改用勺子喂食或用广口的水杯喝水。一方面可以减少奶瓶龋,另一方面也能避免颌面发育受到长期吮吸动作的影响。
为什么用奶瓶容易患蛀牙?
宝宝用奶瓶吸奶的时候,常常吃着吃着就睡着了。这时奶汁会直接附着在孩子的牙齿表面,而奶则是口腔细菌最优质的培养基。经过漫长黑夜,口腔细菌会大量繁殖并将奶渍发酵产生酸性物质。
另外,夜间睡眠时口腔中唾液量分泌会减少,不足以中和口腔中的酸。这让酸性物质有好几个小时的时间持续性地侵袭牙齿。

日复一日,很多孩子乳牙刚刚长出来不久就烂了,甚至还有一些一边长一边烂了。
①最先开始只是牙齿表面或和牙龈交界处
出现白色/黄色的小斑点(脱矿区)

②脱矿加重颜色加深,变成深棕色,
并侵蚀邻近的牙齿形成环状龋面。

③龋坏严重,牙冠基本龋坏,
只剩下残冠,不可被修复。

随着病情加重,孩子会感觉疼痛难忍,甚至合并感染引发牙髓炎牙周脓肿等一系列并发症。
奶瓶龋会给孩子带来什么恶果?
- 烂烂的大黑牙影响颜值。
- 容易引起牙神经炎、牙髓炎等。
- 影响孩子的营养摄入和生长发育。
- 影响语言学习和发音功能。
- 龋齿影响颌面的发育。
其实奶瓶也是背了个“黑锅”很多家长看到这里都会觉得都是奶瓶的错。但其实是奶瓶也背了个“大黑锅”。
出错的是妈妈的喂养习惯和贪图省事的一点懒惰。
不少宝贝吃夜奶睡着后妈妈也不忍心把孩子弄醒,甚至还在想:小祖宗终于睡着了,我可以歇会儿了。
你是不是也认为:
- 宝宝含着奶瓶入睡=睡得香(×)
- 2岁还用奶瓶喂孩子,因为这样很方便 (×)
- 只要不吃糖就行了,果汁饮料无所谓(×)
- 乳牙而已,不刷也没关系(×)
- 乳牙坏了等恒牙长出来就好了(×)

但事实上如果长时间、高频率给宝宝喂养母乳、喝夜奶不刷牙不漱口、长期用奶瓶吸奶液果汁、乳牙出现早期小蛀斑而不治疗,这样一些不良的喂养方式和健康习惯才是导致孩子牙齿从小就开始烂的罪魁祸首。
杜绝奶瓶龋,从戒掉奶瓶开始
1喂养方法科学
尽量不要睡前喂食,一般在孩子睡醒后喂食为好。尽量不要养成喝奶哄睡觉的坏习惯。根据美国ADA的建议:孩子在1岁之后就要学会戒除奶瓶,逐渐改用广口杯喝水。这样有利于孩子早日养成好习惯,不仅可有效减低了奶瓶龋风险,也有利于孩子的口腔功能发育。

2均衡营养,限制糖分
喂食时,要选择含糖量少的奶粉。从6个月起就可添加富含蛋白质、维生素和矿物质的营养食物,并降低辅食中糖的用量和食用频率。特别是含糖饮料和果汁的摄入要适量。
3喂食姿势正确
喂奶时采用坐立式的姿势(人工喂养),让宝宝上身靠在自己的肘弯里,手臂托住宝宝臀部,宝宝整个身体约呈45°倾斜,而不是让孩子平卧或者仰卧式吸吮奶瓶。

4喂食时间合理
每次喂食宜控制在10~15分钟,喂食后不要让孩子立马睡觉。应该让孩子休息约20-30分钟后入睡。
5喂食后清洁到位
无论是多大的孩子在喝完牛奶果汁后都需要做口腔清洁。妈妈可用消过毒的纱布或乳胶指套牙刷帮孩子清洁口腔内壁和乳牙,如果宝宝太小也喝奶之后喂一些清水,可以有效清洗、冲走奶液在口腔中的残渣,保持宝宝口腔环境良好。只有做好彻底的清洁才能更好的预防奶瓶龋。

6做好定期检查
从宝宝长出第一颗乳牙开始,家长应该每隔6个月就带宝宝去医院检查一次牙齿,了解孩子牙齿的发育情况且根据医生的建议,定期到医院使用氟制剂,以提高宝宝乳牙的抗龋力。如果发现乳牙有龋齿应该尽早做治疗,以免乳牙龋齿加重影响到将来恒牙的萌出。
@本文图片均来源于网络

