
2021年12月3日上午,在中国医学科学院阜外医院潘湘斌教授、王首正主任的支持下,合肥高新心血管病医院(合肥高心医院)首席专家梅举教授带领心胸外科团队成功完成经心尖二尖瓣夹系统上市前临床研究首例植入。

该例患者女性,76岁,因“反复胸闷、心慌8年余,加重半月”入院,心脏彩超显示左心增大,二尖瓣中大量反流,主动脉瓣少量反流、三尖瓣少中量反流,肺动脉高压(轻度),左室收缩期功能正常,舒张功能减低。经评估,该患者符合入组“经心尖二尖瓣夹系统”临床试验条件,适合施行经心尖二尖瓣夹合术。

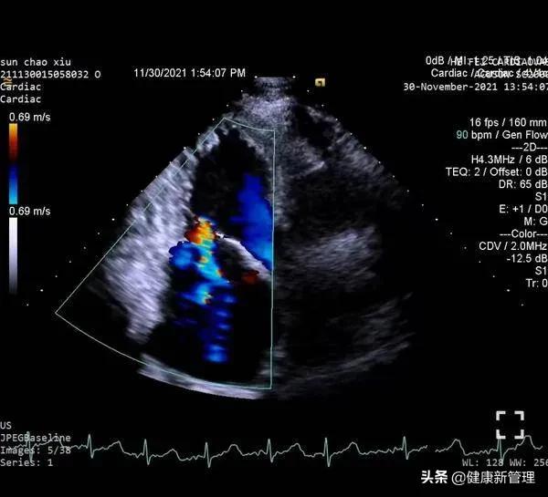
术前心脏彩超完善各项术前准备后,患者于全麻下,梅举教授主刀,经食道超声引导,经心尖送入二尖瓣夹,捕获并夹合二尖瓣前后叶病变处,二尖瓣夹位置稳定。术后超声显示,该患者二尖瓣反流即刻减少。

术中心脏彩超

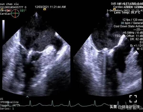
二尖瓣夹系统植入术后

经心尖二尖瓣夹系统由上海形状记忆(乐普心泰医疗科技(上海)股份有限公司旗下全资子公司)自主研发,该系统源于外科“缘对缘缝合”术式,是二尖瓣夹合术的核心器械,以微创小切口的方式实现二尖瓣缘对缘修复。

二尖瓣反流是最常见的心脏瓣膜病之一,可并发房颤、心内膜炎、体循环栓塞等症,严重者可导致心力衰竭甚至死亡。
梅举教授介绍,以往二尖瓣反流治疗主要通过外科开胸手术进行二尖瓣修复或置换,存在创伤大、痛苦大、风险高、恢复慢等缺点,目前临床上有大量二尖瓣重度反流患者,因思想上抵触或因高龄、心功能差及合并多脏器功能不全等无法耐受外科手术,只能靠药物维持而未得到有效治疗。

经心尖二尖瓣夹合术是一种“在跳动的心脏上完成的微创手术” ,无需开胸及体外循环,只在心前区开3cm切口,在超声引导下,经导管将夹闭器械送达二尖瓣,夹合对应位置,从而有效降低反流,且创伤小、恢复快,可为更多不适合外科开胸手术的二尖瓣反流患者提供治疗新策略,带来新希望!
合肥高心医院自建院以来一直秉持“一切为了患者”的服务宗旨,率先在安徽省开展了微创介入主动脉瓣置换、二尖瓣夹修复技术、冷冻消融技术、可降解封堵技术等多项国内国际领先技术,并多次创安徽省医疗技术的首例。后续将持续致力于先进治疗理念与治疗方法的引进,进一步推动微创介入治疗的临床普及,最大程度减少患者手术创伤,缩短患者住院时间,帮助患者获得更快更好的康复效果,提高生活质量。
部分图片来源于网络,若有侵权请联系删除!