据估计,约9%~30%可疑脑卒中患者和2.8%~17%接受IV-tPA治疗的患者存在卒中类似疾病。大多数卒中类似疾病包括癫痫、偏头痛、肿瘤和中毒代谢性疾病。影像学通常有助于诊断,因为脑卒中在不同阶段均有典型的影像学特征,并符合典型的分布类型。但是,大多数这些特征,即便是弥散受限(表1),也不是脑卒中所特有的。在本文中,我们依据7种主要分布类型(图1)对脑卒中及其相似疾病进行分析。虽然仍存在重叠,这些分布类型有助于缩小鉴别诊断

表1 弥散降低的原因


图1 脑卒中及其类似疾病的主要影像表现类型
缺血性脑卒中不同阶段的影像特征
急性期(24小时以内)
最初的CT表现轻微,包括血管高密度征、灰白质界限不清和脑沟消失。弥散加权成像具有高度准确性,并且可以在发病后15分钟检测脑卒中。数小时后开始出现T2/FLAIR高信号。
亚急性期(24小时至2月)
CT低密度更加明显,ADC值逐渐增加,并在第4~10天出现假性正常图像。第6天开始出现脑回样强化,并持续2~3个月。水肿高峰出现在3~4天,第7天后开始下降。出血转化一般出现在发病后2~7天。
慢性期(2月以后)
此期以脑容积减小、空洞形成和神经胶质增生为特征。神经胶质增生围绕空洞在CT上呈低密度,在T2WI和FLAIR上呈高信号。DWI显示各种不同信号,ADC值特征性降低。
缺血性脑卒中及其相似疾病的分布类型
1.灰质和白质区域改变相似疾病鉴别诊断:
单血管分布脑卒中
单一血管分布区的缺血性梗死通常是由于栓塞所致,栓子来源于动脉粥样硬化性斑块或头颈部大动脉夹层,颈动脉分叉处最常见。栓子常常堵塞大脑中动脉或颈内动脉末端,其次是大脑后动脉,基底动脉系统及大脑前动脉,引起区域性皮质及皮质下脑组织受累。
癫 痫
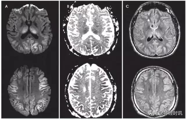
三分之一的卒中类似疾病是由于癫痫发作或发作后功能障碍导致。有时癫痫也可导致弥散受限(图2)。其分布特点不符合血管分布,水肿和脑回增强出现更早,脑灌注正常或增加,无血管闭塞,有时同时有皮层弥散受限和皮层下弥散增加。

图2 一例66岁男性,癫痫发作伴意识状态改变、急性失语和右侧凝视,拟诊脑卒中并给予IV-tPA治疗。左侧病灶情况下的右侧凝视可提示癫痫发作。他的入院MRI显示左侧额顶叶皮层和皮层下白质弥散受限(A和B)和水肿(C)。他的症状和影像学(图像未提供)显示在出院前完全缓解。
偏头痛
先兆性偏头痛和偏瘫型偏头痛占脑卒中类似疾病的5~10%,并且也可出现弥散受限。鉴别因素包括长期偏头痛病史、累及多个血管分布区和无血管闭塞。急性先兆发作的脑灌注减低,长时间发作时则正常或增加。病灶通常为可逆的,15%的45岁以下脑卒中是由于偏头痛所致。
脑肿瘤
原发性脑肿瘤可以表现为急性神经功能缺损。有时低级别胶质瘤伴轻度水肿效应和皮层受累可能会与亚急性脑梗死混淆(图3),通过无血管分布、无明显弥散受限和脑沟强化,较易与其鉴别。但是,亚急性梗死伴出血和高级别出血性胶质瘤可表现为局部弥散受限、不同程度强化和占位效应,有时难以鉴别。

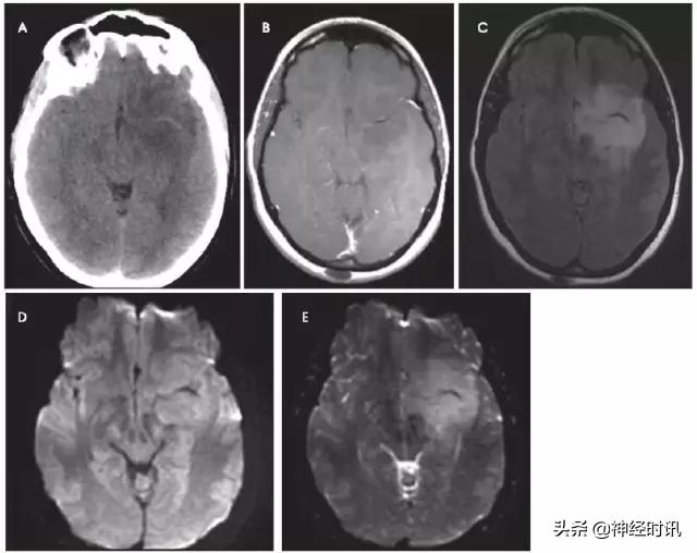
图3 一例49岁女性,突然醒来出现言语不清。最初CT报告左侧MCA区域脑梗死伴左侧MCA高密度(A),MRI显示非强化(B)、T2-FLAIR高信号(C)的膨胀性病灶伴弥散增加(D-DWI,E-ADC)。活检显示为间变性少突胶质细胞瘤。
单纯疱疹病毒脑炎
单纯疱疹病毒脑炎是最常见的病毒性脑炎,表现为发热、头痛、意识不清、癫痫发作和神经功能缺损,易累及边缘叶系统(内侧颞叶和前额叶,岛叶和扣带回)(图4)。DWI上通常同时存在弥散增加和减低,优于其它序列。早期阶段可出现弥散受限,并导致不可逆的神经损伤。谷氨酸毒性途径被认为是弥散受限的原因。典型病灶为FLAIR高信号,通常伴出血转化。

图4 一例72岁男性,精神状态改变,右下肢局灶性运动性癫痫持续状态,同时存在发热伴分泌性咳嗽。该患者最初被诊断为双侧ACA和MCA脑梗死。最后患者被诊断为HSV脑炎,MRI显示双侧颞叶、额叶、岛叶、扣带回和丘脑非对称性多灶性弥散受限(A-D,DWI)、T2/FLAIR高信号(图像未提供)。
低血糖
低血糖可表现为局灶性神经功能缺损。大脑皮质(尤其是枕叶)、放射冠和半卵圆中心可见弥散受限。也有报道可累及基底节、海马、内囊和胼胝体压部。由于小脑、脑干和下丘脑有更加活跃的血糖运输机制这些部位通常不受累。弥散受限的原因认为是糖缺乏导致能量衰竭、兴奋性水肿和/或脑血流不对称。
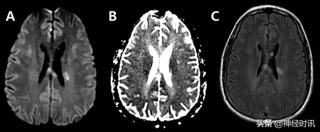
短暂性全面性遗忘(TGA)
TGA是急性发生的一过性顺行性记忆丢失。发病机制不明,但缺血、癫痫和偏头痛是可能的机制。典型表现为海马斑点状弥散受限(图5)。一项报告显示,从发病到影像学检查的时间由8小时增加到48小时,DWI阳性的发现率由5%增加到85%。

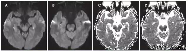
图5 一例51岁女性,表现为意识不清,言语含糊,近事遗忘。发病后4天DWI显示双侧海马点状弥散受限(A&B:DWI;C&D:ADC)。随访MRI显示病灶完全缓解(图像未提供)。
MELAS(线粒体脑病伴乳酸性酸中毒卒中样发作)
MELAS表现为恶心、呕吐、癫痫发作、肌无力和急性神经功能缺损,通常在40岁以前发病。MRI显示皮质和皮层下白质T2高信号、水肿和弥散受限。鉴别因素包括疾病进展不同阶段的多发病灶,急性病灶内同时存在弥散受限和增加,非血管性分布,以及好发于后部顶叶和枕叶(图6)。

图6 一例48岁男性,近期2次左侧PCA分布区梗死,伴神经功能缺损加重,新发认知功能障碍和意识障碍。最终诊断为MELAS,FLAIR显示左侧后顶颞针叶非血管性分布的皮层水肿(A:FLAIR),同时伴弥散受限和弥散增加(B:DWI;C:ADC)。
静脉梗死
静脉梗死并不常见,占所有脑卒中的1%。脑实质可能正常,可能表现为血管源性水肿为主的病灶伴弥散增加,细胞毒性水肿的病灶伴弥散受限和/或出血性病灶,均不按血管性分布。弥散受限可能是可逆的,特别是癫痫发作相关的病变。硬脑膜静脉窦血管形成分皮质型和皮质下型,大脑内静脉和直窦血栓形成导致双侧丘脑受累。
2.皮质和深部灰质改变相似疾病鉴别:
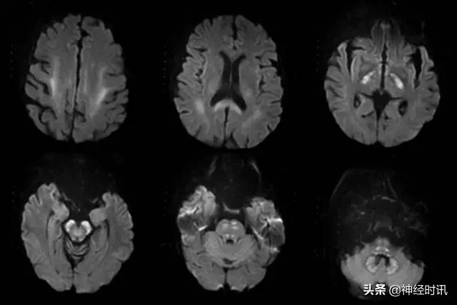
缺血缺氧性脑病
缺血缺氧性脑病(HIE)是全脑缺氧的结果。最常见的原因是心脏骤停、呼吸衰竭和休克。严重的患者大脑皮质和深部灰质均受累(图7)。较轻的患者可以见到边缘带梗死类型。罕有纯白质型,这可能是全脑缺血诱发脱髓鞘表现。小脑通常不受累。

图7 一例31岁男性,有*洛因海**和*卡因可**滥用史,出现无脉性电活动心搏骤停。MRI显示双侧顶枕叶和额叶、双侧丘脑弥漫性弥散受限(A:DWI,B:ADC)、T2-FLAIR高信号(C:FLAIR),符合全脑缺氧性损伤。
Wernicke脑病
Wernicke脑病见于伴硫胺素缺乏的嗜酒和其它营养不良患者。患者出现精神状态改变、记忆损伤、眼肌麻痹或共济失调。典型MRI显示乳头体、下丘脑、内侧丘脑、顶盖和导水管周围区域对称性T2/FLAIR高信号,大脑皮质也可能受累。在疾病早期,可见到由于细胞源性水肿导致的弥散受限(图8)。

图8 一例62岁女性,复视3个月,听力丧失数天,因眩晕、恶心、呕吐、眼震和厌食来诊。她被诊断为营养缺乏导致的Wernicke病,硫胺素水平为35 nmol/L (正常70–180)。MRI显示四叠体板、中脑导水管周围灰质、下丘脑和双侧上丘FLAIR高信号和各种不同程度的弥散(A:DWI,B:ADC)。
肝性脑病
轻型肝性脑病的典型影像学表现为对称性苍白球T1低信号。严重病例的MRI显示皮层(特别是扣带回和岛叶)和基底节T2高信号和弥散受限(图9)。丘脑、脑室旁白质和脑干也可能受累。弥散性皮质受累是可逆的,但永久性神经功能后遗症的风险会上升。ADC值降低可能是由于血氨导致的兴奋毒性损伤和星形胶质细胞渗透压异常。

图9 一例53岁女性,酒精性肝硬化,因腹痛、恶心和呕血就诊于急诊。数天后,她出现无反应,伴脑干反射消失,血*水氨**平达360。她被诊断为肝性脑病,MRI显示双侧额叶和岛叶皮层和丘脑轻度弥散受限(A:DWI,B:ADC)和FLAIR高信号(C)。豆状核有轻度T1高信号(D)。
克雅氏病
克雅氏病(CJD)是由于朊蛋白错误折叠导致的快速进展性、传染性、致死性神经退行性疾病。DWI比FLAIR或T2WI更加敏感,并伴ADC降低。CJD患者有对称性基底节受累和对称性或非对称性皮层受累(图10)。

图10 一例48岁女性,精神状态改变、亚急性记忆减退伴步态异常1年,近期出现人格改变。MRI显示双侧基底节、丘脑、皮质弥散受限(A:DWI,B:ADC)和T2-FLAIR(C)高信号。患者被诊断为CJD。
东部马脑炎
这是一种蚊子传播的虫媒病毒,临床表现可从感冒样症状、意识模糊和嗜睡,到神经功能缺损、癫痫发作和昏迷。约5%感染导致脑炎,1/3患者死亡,存活患者遗留明显残疾。典型病灶出现在双侧基底节、丘脑和脑干T2-FLAIR高信号(图11)。皮层和脑室旁白质受累相对少见。

图11 一例43岁男性,发热、头痛、精神状态改变2天,发病2天前曾野营。入院MRI显示双侧基底节、丘脑和岛叶T2-FLAIR(A)高信号和轻度弥散减低(B:DWI,C:ADC),左侧重于右侧。数天后MRI显示更为广泛的基底节和岛叶皮层受累(D:FLAIR)。
3.深部灰质弥散异常:
小血管/穿支血管卒中
小血管卒中占所有脑卒中的20~25%,病变位于小穿支动脉分布区,包括豆纹动脉、脉络膜前动脉、丘脑穿通动脉和旁基底动脉分支。这些卒中通常由于高血压导致的动脉硬化所致,典型病变小于15mm,一部分是由于动脉原位血栓形成性闭塞或栓塞所致,后者导致邻近深穿支动脉分布区多发梗死。
一氧化碳中毒
轻型患者常出现双侧苍白球对称性弥散受限和T2高信号(图12)。严重病例中基底节其余部分、丘脑、海马、幕上白质、胼胝体以及少数情况下大脑皮质均可受累。随后临床症状一过性改善,可能发生迟发型脑病,表现为双侧融合性脑室旁白质T2高信号和片状弥散受限。急性期的弥散受限可能继发于细胞毒性水肿,迟发期可能与脱髓鞘有关。

图12 一例49岁男性,在炭火旁野营后次日晨起被人发现存在凝视、口吐泡沫,意识尚清,呼吸6次/分,碳氧血红蛋白水平22.9。MRI显示双侧苍白球弥散受限(A:DWI,B:ADC)和T2-FLAIR高信号(C:T2WI,D:FLAIR)。
渗透性髓鞘溶解症
渗透性髓鞘溶解症最常见于低钠血症的过快纠正,也可见于营养不良、慢性酒精中毒、渗透压升高,例如高血糖和肝移植患者。典型表现为假性球麻痹和痉挛性四肢瘫,可出现桥脑中央和/或桥外髓鞘溶解(图13)。桥脑病灶位于中央,皮质脊髓束保留。桥外病变对称性累及丘脑、基底节和双侧膝状体和大脑白质。T2高信号的出现可能滞后2周,但弥散受限出现于24小时内,并持续达3周。弥散受限的机制尚未完全阐述,可能与细胞外的水向细胞内转移或髓鞘内分裂、空泡化,或髓鞘由于渗透作用破裂有关。

图13 一例46岁嗜酒男性,伴严重低钠血症,在纠正低钠血症后出现癫痫发作和吞咽困难。MRI显示脑桥中央部、双侧壳核、尾状核、丘脑外囊T2高信号(A&B:FLAIR),脑桥周围部和皮质脊髓束未受累。结果符合脑桥中央和桥外髓鞘溶解。
氨己烯酸中毒
氨己烯酸用于治疗婴儿痉挛和难治性复杂部分性癫痫,与MRI一过性无症状性异常信号有关(图14),尤其是在年轻患者。中毒特征性表现为对称性双侧基底节、丘脑、前联合、胼胝体和中脑T2高信号和弥散受限。即便不停用药物,MRI异常也可自发缓解。T2和弥散异常的原因尚不清楚,但有证据表现可能与髓鞘内水肿有关。

图14 一例10岁男孩,伴结节性硬化症和难治性癫痫,MRI显示结节性硬化特征伴双侧丘脑、苍白球下部、下丘脑、红核、小脑上脚和脑干背侧弥散受限(A:DWI,B:ADC)和T2高信号(C:T2WI),提示氨己烯酸中毒。此后弥散受限自发缓解。
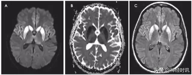
非酮症高血糖
非酮症高血糖发生于2型糖尿病患者,与新发舞蹈病、癫痫发作和局灶性神经功能缺损有关。影像学表现可为单侧或双侧,可被误诊为豆纹动脉缺血性卒中(图15)。非酮症高血糖在CT上基底节呈高密度,MRI呈T1高信号、T2低信号和弥散受限,无相关易感效应。T1高信号可能与反应性星形胶质细胞中的锰有关。弥散受限的病理生理机制仍存在争议,包括蛋白脱水、髓鞘崩解、高粘血症、微钙化和微出血等。

图15 一例62岁女性糖尿病患者,因主观性感觉右侧上肢无力和右足运动增加就诊,被诊断为非酮症高血糖。MRI发现左侧豆状核弥散受限(A:DWI,B:ADC)和T1高信号(C)。CT显示左侧豆状核和尾状核头高密度(D)。
4.白质异常:
CADASIL
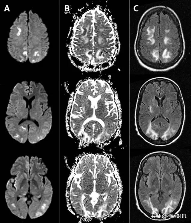
常染色体显性遗传性脑动脉病伴皮层下梗死和脑白质病(CADASIL)是一种可累及脑穿通动脉和软脑膜动脉平滑肌的遗传性疾病。患者的通常表现为:在30或40多岁时,开始出现偏头痛、TIA和缺血性卒中的症状,并在其后的几十年里逐渐发展为痴呆。其MRI检查多显示为幕上白质的融合性、斑片状T2高信号及深部灰质、中脑和脑桥部位的腔隙性梗死。CADASIL的主要特点是双侧前颞叶白质和外囊受累,且急性病变多表现为弥散受限(图16)。

图16 一例40岁的男性患者,因意志力缺乏和左侧面部下垂而急诊就医。MRI显示其双侧半卵圆中心和放射冠部位有多灶性的弥散受限和增强改变(A:DWI,B:ADC),并伴有双侧脑室周围白质、双侧前颞叶部位相关的T2高信号病灶(C&D:T2WI)。Notch 3基因突变证实了其为CADASIL。
Susac综合征
Susac综合征是一种可累及脑、视网膜和内耳部小血管的罕见病。患者常出现局灶性神经功能损害及视觉和听力障碍,平均发病年龄为32岁,且以女性更多见。MRI检查可发现幕上白质、胼胝体及较少见情况下的深部灰质,有许多小的T2高信号病灶。约50%的急性病变可显示弥散受限和增强(图17)。
因为具有相似的白质受累模式,所以Susac综合征可能被误诊为多发性硬化。但该二者的一个鉴别点是:Susac综合征相关的胼胝体病变多累及胼胝体全层,而多发性硬化相关的胼胝体病变,常常只累及胼胝体的下表面。此外,约25%的Susac综合征患者可显示软脑膜强化,而多发性硬化患者多无此现象。

图17 一例39岁的男性Susac综合征患者,因头痛、淡漠和健忘而就诊。MRI显示其胼胝体、小脑幕上白质有多发性弥散受限病灶(A:DWI,B:ADC)和T2/FLAIR高信号病变(C)。在进一步评估时,还发现其存在视网膜血管炎和感音神经性听力损害。
甲硝唑毒性反应
甲硝唑通常用于治疗厌氧菌感染和预防克罗恩病复发。其应用一般较安全,但在长期应用2克/天以上的剂量时,偶尔会导致周围神经病变和中枢神经毒性,其中枢神经毒性的特点是:在齿状核、中脑、脑桥、延髓、胼胝体和皮质下脑白质及基底节区,以递减顺序出现的对称性双侧T2高信号。其灰质病变与血管性水肿有关,且通常是可逆的;但白质病变与细胞毒性水肿所致的低ADC相关(图18),且可能是不可逆的。该药导致神经毒性的机制还不清楚,但可能与甲硝唑转化而成的硫胺素类似物,可抑制硫胺素焦磷酸激酶活性,并造成营养吸收不良有关。

图18 一例68岁的女性患者,在使用甲硝唑治疗骶前脓肿期间接受了受感染主动脉移植物切除手术,并于术后出现了癫痫发作。MRI显示其双侧皮质下白质、胼胝体压部、内囊、中脑、脑桥和齿状核部位存在对称性的弥散受限病变,但在停用了甲硝唑后,这些弥散受限区域都完全恢复了(仅给出了DWI图像)。
甲氨蝶呤毒性反应
甲氨蝶呤神经毒性反应在接受治疗者中的发生率介于1%~3%之间,尤其是那些鞘内使用、经静脉注射或口服使用中、高剂量该药的患者更易发生。其可以表现为急性、亚急性或慢性病程。亚急性型多在用药5~14天内发生,并可能表现出与卒中或TIA相似的症状,但这些症状通常会在数天内完全消失。患者可因癫痫发作和神经功能障碍,如失语、偏瘫、共济失调等而就诊。
MRI表现包括脑室周围白质,尤其是放射冠和半卵圆中心部位出现一过性的弥散受限和/或T2高信号病变(图19)。甲氨蝶呤所致亚急性脑病发生弥散受限的机制可能与其兴奋性毒性损伤相关,而不是其脱髓鞘作用所致。

图19 一例26岁的女性ALL患者,因鞘内注射甲氨蝶呤治疗10天后出现右上肢无力和一过性言语不清而就诊。MRI显示其左侧中央前回存在弥散受限的圆形病灶(A:DWI,B:ADC),但没有明显的T2异常(C:FLAIR)。几天后的随访MRI(图像未给出)显示弥散受限完全消失,因此最可能为亚急性型甲氨蝶呤毒性反应。
*洛因海**白质脑病
*洛因海**白质脑病是由于吸入*洛因海**蒸气所致,死亡率有23%。其MRI表现具有特异性,包括在双侧大脑和小脑白质、内囊后肢部位出现融合的对称性T2高信号病灶,并以顶、枕叶白质部更明显;而皮质下U纤维、齿状核及内囊前壁较少受累。其急性期的弥散受限与髓鞘薄层内开始发展的小液泡相关;在亚急性和慢性阶段,这些空泡变大、融合,并导致水分子扩散性增加。
多发性硬化
多发性硬化可因突发性局灶性神经功能障碍(如失语或偏瘫)而就诊。其典型MRI表现为脑室周围白质、深部白质和皮质旁出现T2高信号病灶。急性病变通常伴有弥散增加,但其偶尔可能会显示为一过性(2~7天)弥散受限(图20)。弥散受限通常见于病变的边缘,但也可能是中心性的。这些病变大多伴有与亚急性卒中类似增强现象,提示为活动性炎症。少突胶质细胞、髓鞘和轴突等由于兴奋性毒性损伤所致的细胞毒性水肿,可能是此类患者发生弥散受限的原因。

图20 一例21岁女性复发-缓解型MS患者,17岁时为评估其轻微脑震荡综合征而进行的首次MRI检查偶然发现多发性硬化。其表现为:幕上存在以特征性模式分布的多发性T2高信号病灶(C:FLAIR),且右额叶白质存在一个弥散受限病变(A:DWI,B:ADC)。
感染性脑炎和脓肿
在临床上,脑炎或脑脓肿可能被误诊为脑卒中。早期脑炎可表现为模糊的T2高信号病变,伴有弥散受限及轻微增强或无增强(图21)。
细菌性脓肿通常表现为界限清楚的强化环,并伴有中央弥散受限和周围水肿。这种表现在晚期亚急性卒中患者中也可见到,但并不普遍。而真菌性脓肿的边缘可能不太清楚,因而更容易与卒中相混淆。化脓性脑脓肿存在弥散受限的原因与水分在化脓性脑脊液内的扩散受到限制有关。脑炎患者的弥散受限则可能与坏死性血管炎或静脉血栓形成所致的细胞毒性水肿相关。

图21 一例70岁老年男性,患有糖尿病、非缺血性心肌病,且左室辅助装置并发了真菌性脓肿。MRI显示其左侧枕叶存在一个不规则的边缘薄层增强病变(D:T1WI增强),伴有弥散受限(B:DWI,C:ADC)、磁化率效应环(E:SWI)和周围的T2高信号改变(A:FLAIR)。
5.点状分布病灶:
心源性栓子是卒中患者病灶呈点状分布最常见的原因,但其他病因(如血管炎)也可以产生类似的表现模式。
弥漫性轴索损伤
弥漫性轴索损伤(DAI)是头部严重创伤时,因突然加速、减速或旋转损伤所导致的一种轴突广泛性破坏。其FLAIR图像多显示脑灰白质交界区、胼胝体、穹窿、脑白质纤维束和背外侧脑干部位存在多发性的小病灶(图22)。许多这类病变也可存在持续数天或数周不等的弥散受限。这类弥散受限可能是由创伤性血管损伤、回缩轴突肿胀或交叉纵裂纤维Wallerian变性所致的缺血引起。T2*加权GRE图像显示还有其他的出血性病灶。

图22 一名不受控制的19岁男性司机,在高速度下发生了汽车碰撞事故。MRI显示其胼胝体、左侧小脑上脚和后放射冠部位存在弥散受限的病灶(A:DWI,B:ADC),并有多发性点状磁化率效应病灶(C:SWI)。
脂肪栓子
脂肪栓塞通常发生于最近有长骨骨折或矫形外科手术史的患者,或并发骨髓梗死的镰状细胞病患者,通常表现为缺氧、意识混乱、神经功能障碍和瘀斑样皮疹。MRI显示全脑有许多点状的扩散受限病灶。患者的脂肪酸释放可导致内皮损伤,及以众多点状磁化率效应病灶为主要表现的微量出血,而且其病变程度远远超过血栓栓塞性脑梗死的预期程度(图23)。

图23 一例接受过右额叶多形性胶质母细胞瘤远程切除的71岁老年患者,在接受左侧髋关节人工股骨头置换术后1天出现反应迟钝。MRI显示患者全脑有许多点状或弥散受限病灶(A:DWI)并伴有磁化率效应(B:SWI),提示最有可能与脂肪栓塞相关。
转移性病变
大量细胞转移灶,尤其是小细胞肺癌,可以表现为因致密细胞聚集所致的弥散受限,且可能与急性或亚急性栓塞性卒中相混淆(图24)。前者的一些鉴别特征包括存在周边血管性水肿、周边强化和其它的脑实质外病变(如颅骨病变)。

图24 一位51岁的女性小细胞肺癌患者,因每天早晨突然出现的恶心、呕吐而就诊。其小脑存在多发性弥散受限病灶(A:DWI,B:ADC),并伴有强化(C:T1WI增强扫描)。
6.边界区分布模式:
边界区脑梗死
交界区脑梗死是指两个主要脑动脉供血区交界部位的缺血性梗死,常因严重颈动脉狭窄、烟雾病和可逆性脑血管收缩综合征患者出现低血压而发生。此外,后部可逆性脑病综合征(PRES)和脑过度灌注综合征也可产生类似表现。
烟雾病
烟雾病的特点是患者颈内动脉远端和大脑前、中动脉近端出现特发性、慢性进行性狭窄,并伴有类似“烟雾”(在日本也被称为“moya-moya”)的血管侧枝网络形成。许多疾病都可能导致“moya-moya”状表现,其中包括辐射、1型神经纤维瘤病、唐氏综合征、镰状细胞病、外伤和缓慢进展的动脉粥样硬化等。梗死通常发生在前循环边界区或基底节区。由于豆纹血管的脆性增加,患者也可出现基底节区脑出血。
可逆性脑血管收缩综合征(RCVS)
RCVS是一种人们知之甚少的疾病,患者特征性表现为存在非蛛网膜下腔出血或外伤所致的血管痉挛。患者多表现为严重急性或复发性的“雷击样”头痛,且常有局灶性神经功能障碍。血管痉挛在数周至3个月内消失可证实该诊断。约半数该病患者可发生缺血性脑卒中,且多表现为边界区卒中模式。此外,有高达1/3的该病患者可存在颅内出血(脑实质或蛛网膜下腔)和PRES样水肿。
后部可逆性脑病综合征(PRES)
后部可逆性脑病综合征(PRES)的特点是患者存在血管源性脑水肿。这种脑水肿是由血管自动调节功能丧失和毛细血管渗漏所致,且与亚急性卒中后期的脑水肿相似。患者通常表现为头痛、皮质视觉症状、癫痫发作、和意识混乱等。该病可由高血压、子痫、先兆子痫,危重疾病、和免疫*制剂抑**治疗等情况而诱发。
影像检查通常表现为T2-FLAIR图像上存在伴有弥散受限的高信号病灶,而且该病变多表现为双侧枕叶和顶叶分布模式(类似于后循环梗死)和/或大脑前、中动脉之间的边界区分布模式(类似于交界区梗死)。弥散受限可见于10%~25%的患者,该现象由细胞毒性水肿所致,提示患者预后不佳(图25)。此外,有15%的患者可存在脑实质内出血。

图25 一位患有系统性红斑狼疮(SLE)和未控制性高血压的40岁女性患者,因癫痫发作和视力障碍而就诊。MRI显示其双侧枕叶、额叶和顶叶存在FLAIR信号异常(C),主要表现为以边界区分布为主的多发性扩散增加病变,且病灶在DWI和ADC图像上为高信号(A,B)。
高灌注综合征
高灌注综合征见于1%~3%的颈动脉内膜切除术后患者,可能由脑血管自动调节功能受损引起。患者多表现为头痛、癫痫发作和神经功能障碍三联征。典型特征为在大脑前、中动脉之间的交界区出现伴有弥散增加的血管源性脑水肿和脑血流量增加。该病的时间过程和癫痫发作有助于将其与后期亚急性卒中患者进行鉴别。
7.胼胝体压部病变:
无论是作为孤立病灶,或是更广泛分布模式的一部分,胼胝体压部病变在多种情况下均可见到。
抗癫痫药物治疗或停药时
许多抗癫痫药物的应用与患者胼胝体压部的无症状性弥散受限相关(图26)。其中包括使用苯妥英钠、卡马西平、奥卡西平、拉莫三嗪、氨己烯酸、丙戊酸钠、和苯巴比妥单药治疗的患者。但即使是继续用药,这些病变仍可消失。

图26 一位53岁男性患者,有癫痫发作史,正在服用拉莫三嗪和卡马西平治疗,因意识混乱和震颤而入院。MRI显示其胼胝体压部存在明显的弥散受限病灶(A:DWI ,B:ADC)及不相干的FLAIR高信号灶(C)。后续MRI显示弥散受限完全消失,支持药物毒性为其病因。
Marchiafava-Bignami病
Marchiafava-Bignami病是一种罕见疾病,多见于伴有营养不良的男性嗜酒者,症状范围包括精神障碍、偏瘫、失语、癫痫发作、乃至突发性昏迷。胼胝体体部、膝部和压部、或整个胼胝体会依次受累。病变通常表现为T2高信号,且可能显示弥散受限。
放射治疗
在脑部放疗后的患者中,胼胝体压部显示灶性T2-FLAIR高信号者较常见,且可能伴有弥散受限。有人认为,胼胝体压部对于辐射诱导的变化更为敏感,而且这些变化的发生机理可能与一种缓慢进展的脱髓鞘改变相关。
结 论
在急诊科,人们经常会遇到一些与卒中类似的疾病,其中部分患者还可能被给予静脉tPA治疗。尽管存在许多临床和影像方面的重叠,但基于病变的分布模式,可以为大多数这类疾病提供一个合理而准确的鉴别诊断方法,有助于对其进行及时而合理的治疗。