乳腺纤维腺瘤是由腺上皮和纤维组织两种成分混合组成的良性肿瘤,好发于青年女性,与患者体内性激素水平失衡有关。在组织学检查中,纤维腺瘤包括上皮和基质两部分;而组织学分类主要依据这两部分在肿块中的成分多少。乳腺纤维腺瘤是常见的乳腺良性疾病,自然病程较长,确诊依据病理学检查,处理方法包括随访观察和外科干预。
乳腺纤维腺瘤的流行病学特征、诊断及治疗方案,我于数日前已发文详细说明。但乳腺纤维腺瘤有下述特殊类型需要格外注意。
少年型巨大纤维腺瘤:少年型纤维腺瘤多发生于青春期或年轻女性,多为单侧单发病灶。当肿瘤直径≧5cm,或≧500 g,或占据单侧腺体总量的80%时,称为“少年型巨大纤维腺瘤”。此型占青春期女性乳腺肿瘤的1%-8%,肿瘤多生长迅速,可造成双侧乳腺不对称,乳腺不适感,加重病人的心理负担。确诊依据空芯针穿刺活检(core needle biopsy, CNB)或切除活检。治疗以完整切除为主,尽量保留正常腺体组织及乳头乳晕复合体,必要时可行乳房重建。
复杂纤维腺瘤:复杂纤维腺瘤指具备以下至少1项特征的纤维腺瘤:(1)上皮钙化;(2)乳头大汗腺化生;(3)硬化性腺病;(4)伴有直径>3 mm的囊肿。此型约占所有纤维腺瘤的16%,与非复杂纤维腺瘤相比发病年龄更大,肿瘤直径更小。此型病人发生乳腺癌的风险略高于非复杂纤维腺瘤病人,治疗原则同非复杂纤维腺瘤。

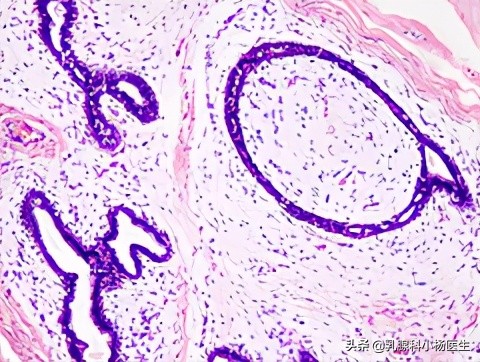
乳腺纤维腺瘤病理组织镜下描述:纤维组织和腺管增生,以腺管增生居多,腺管大小不一,呈圆形。
参考文献:
1.《北京协和医院医疗诊疗常规:乳腺疾病诊疗常规》,主编:孙强(北京协和医院)
2.《乳腺纤维腺瘤诊治专家共识》,主编:中华预防医学会妇女保健分会乳腺保健与乳腺疾病防治学组
3.《超声乳腺影像报告数据系统及其解读》,作者:周建桥(上海交通大学医学院附属瑞金医院),中华医学超声杂志(电子版)2011年6月第8卷第6期
4.本文中部分图片来源于Google图片、部分图片来源于上述引用文献