
子宫多发肌瘤示意图
经桡动脉入路子宫肌瘤栓塞术(UAE)是如何治疗子宫肌瘤的?
常规经左侧桡动脉穿刺置入导管鞘,将导管送至双侧髂内动脉,再使用微导管超选择性插管至双侧子宫动脉主干远端。

穿刺左侧桡动脉

置入桡动脉鞘
应用非常微小的PVA颗粒或者微球(300-500um)选择性栓塞肌瘤供血动脉,使肌瘤因缺血而坏死吸收、脱落。UAE不开刀、创伤小、恢复快!最为主要的优点是能够保留子宫!

子宫动脉栓塞术(UAE)示意图
经桡动脉入路行UAE有何优势?
- 桡动脉位置表浅易于术后压迫止血,恢复快,缩短术后观察时间。
- 患者术后无须卧床、下肢制动,避免了长时间卧床带来的不适,如腰痛、尿潴留,以及下肢动静脉血栓形成和肺栓塞等并发症。
- 术后患者可通过体位变化来缓解栓塞后综合征的程度。

典型病例
中年女性,发现子宫肌瘤进行性增大5年余。复查彩超提示多发肌瘤,较前明显增大(最大者直径近10cm)。近半年尿频、尿急症状进行性加重,考虑增大的子宫肌瘤压迫膀胱所致。
- 盆腔磁共振检查显示显示多发子巨大宫肌瘤,压迫膀胱

MRI显示多发子巨大宫肌瘤,压迫膀胱

MRI显示子宫多发巨大肌瘤
- 经桡动脉入路置入导管造影显示双侧子宫动脉明显增粗,染色丰富,子宫明显增大

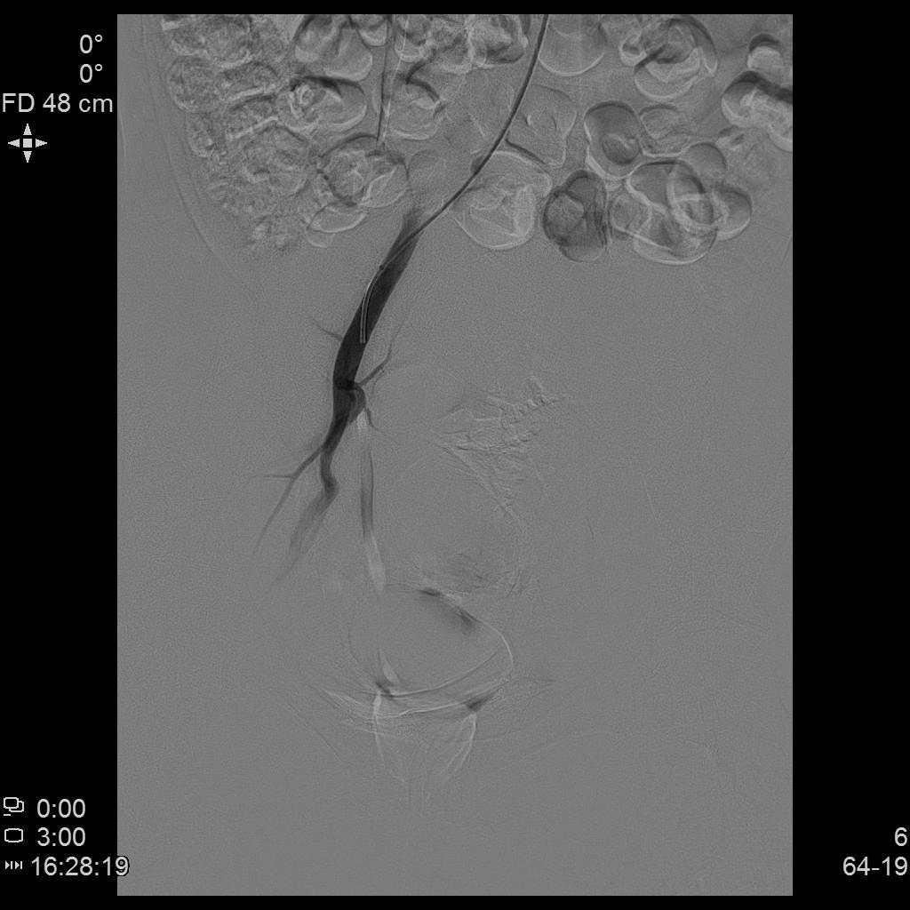
- 进一步超选插管右侧子宫动脉造影确认位置

- 微导管进一步超选插管右侧子宫动脉主干造影确认位置

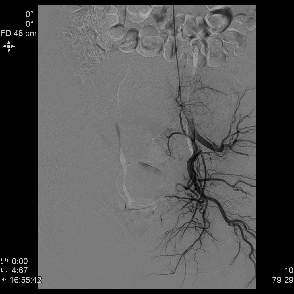
- 栓塞术后复查造影显示右侧子宫动脉分支末梢未见显示

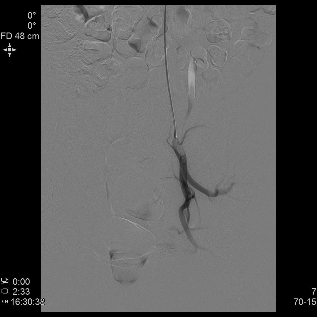
- 进一步超选插管左侧子宫动脉造影确认位置

- 微导管进一步超选插管左侧子宫动脉主干造影确认位置

- 栓塞术后复查造影显示左侧子宫动脉分支末梢未见显示

- 术后桡动脉止血器压迫止血6~8小时,患者术后无需长时间卧床、下肢制动,舒适度大大提升,利于术后快速康复。

桡动脉压迫止血器
原装生活,做完整女人!

原装生活,做完整女人!