2018年81岁高龄的刘奶奶因检查身体发现盆腔巨大包块,2018年8月7日在外院行全子宫+双附件切除+盆腹腔粘连松解术。术后病理诊断为:右侧卵巢癌颗粒细胞瘤。术后未做任何后续治疗及复查。
2019年刘奶奶出现了"腹胀、气短",随即到医院系统检查后考虑为卵巢颗粒细胞瘤术后复发、腹膜转移。后于2019年10月31日在该院进行第一周期化疗(依托泊苷 0.1g 静脉输液d1-3+奈达铂 80mg 静脉输液 d3)。后因Ⅲ度骨髓抑制、Ⅲ度消化道反应于2019年11月27日来我院治疗。
入院诊断:

完善各项检查后提示:老年患者基础疾病较多,存在心脑血管意外风险。

经过我们院内多学科的MDT讨论之后,制定治疗计划:
由于卵巢颗粒细胞瘤成年型多见,主要发生在中年至绝经期后妇女,发病高峰年龄段为45-55岁,成年型颗粒细胞瘤生长缓慢,预后好但易复发,手术为首选治疗方式,需长期随访、动态筛查。患者卵巢颗粒细胞瘤术后复发,根据NCCN卵巢恶性肿瘤指南II-IV期辅助治疗:铂类为基础的方案化疗(2B类证据)或对于范围局限的肿瘤行放疗,故拟针对盆腔囊实性包块行局部放射治疗。



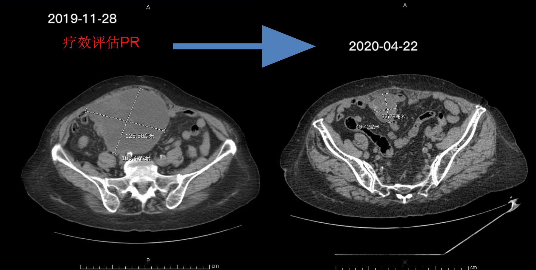
由于新型冠状病毒疫情影响,奶奶在放疗结束后4月来院复查,
包块较前明显缩小。疗效评估PR。(图为盆腔CT可见最大包块)
在我院肿瘤科个体化的治疗以及精心的护理下,刘奶奶安全平稳地完成了治疗疗程,后续复查疗效显著。老年患者的肿瘤治疗存在基础疾病多、耐受程度较差等一系列问题。需要适时调整治疗方案,关注心理接受状况,给予心理安慰,给他们战胜疾病的决心。