
【人民数字联播网】不久前,郑州市第一人民医院肿瘤外科为一名70岁的卵巢腺癌患者行“人工腹水+双通路热灌注化疗”术。
5月22日,董阿姨因身体不适来郑州市第一人民医院妇科就诊,经过系列检查诊断为“卵巢腺癌”,因原发肿瘤体积较大,腹盆腔广泛转移,多学科会诊后认为,无法行根治手术,而患者本人又强烈拒绝行肿瘤减灭手术,患者几度欲放弃治疗。救死扶伤是医生的天职,妇科主任与肿瘤外科孔忆寒主任与患者及家属反复沟通会诊后,重新为病人树立起了治疗信心及生存的希望,并为病人制定切实可行的治疗方案,决定为患者行“人工腹水+双通路热灌注化疗”术。随后患者转往肿瘤外科。
6月1日,孔主任首先在最短的时间内为患者行“彩超引导下人工腹水腹腔穿刺置管术”;其次,为患者行“腹腔热灌注+静脉用药”双通路热灌注化疗,共两个周期,并间断行深部热疗多次。肿瘤深部热疗原理是采用物理加热方式治疗肿瘤,利用物理能量在组织中沉淀产生热效应,使肿瘤组织上升到有效治疗温度(40-43℃),并维持一定时间,使肿瘤细胞变性坏死,又不损伤正常细胞。还能提高肿瘤对放疗、化疗的敏感性,使抗癌效应倍增。两个周期治疗结束后,复查核磁共振提示原双侧附件区、子宫直肠陷凹病灶消失,抗癌原降至正常水平。

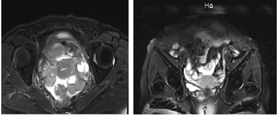
我们可以看到治疗前(第一张图),盆腔内多发肿瘤占位聚集成团,正常结构消失,大量微小病灶散布周围。治疗后(第二张图)多发肿瘤均消失,正常结构显现,目前患者正在巩固治疗中。
反复恶性腹腔积液严重影响癌症患者生活质量,传统的治疗方法效果都很差,郑州市第一人民医院肿瘤外科开展的双通路热灌注化疗技术,成功地解决了这一问题,临床疗效相对显著,明显改善了病人生活质量。人工腹水专业技术要求较高,需要严格掌握该技术的操作规范,为无腹腔积液的癌症患者提供治疗选择。
近期,郑州市第一人民医院肿瘤外科已经开展类似病例治疗十余例,腹腔热灌注化疗已达60余人次,有些患者目前正在治疗中。
“郑州市第一人民医院肿瘤外科深部热疗、双通路热灌注化疗的开展增加了恶性肿瘤治疗的手段,配合手术、常规化疗、靶向治疗,为患者设计更加合理的个体化诊疗方案,更好地为恶性肿瘤患者服务”肿瘤外科孔忆寒主任说。(穆志刚 李珊珊 韩鑫颖)