卵巢瘤样病变(ovary tumor-like condition)又称卵巢非赘生性病变(ovary non-neoplastic mass)、卵巢功能性病变(ovary functional mass)等,这些病变并不是真正的肿瘤,而是卵巢内某些结构对妊娠的一种生理性反应或对高水平的雌激素、孕激素的反应。根据WHO 2014年分类,卵巢瘤样病变包括卵泡囊肿、黄体囊肿、巨大孤立性黄素化卵泡囊肿、高反应性黄素化、妊娠黄体瘤、间质增生、间质泡膜增殖症、纤维瘤病、重度水肿、Leydig 细胞增生等。妊娠期卵巢瘤样病变以黄体囊肿、黄素囊肿多见。
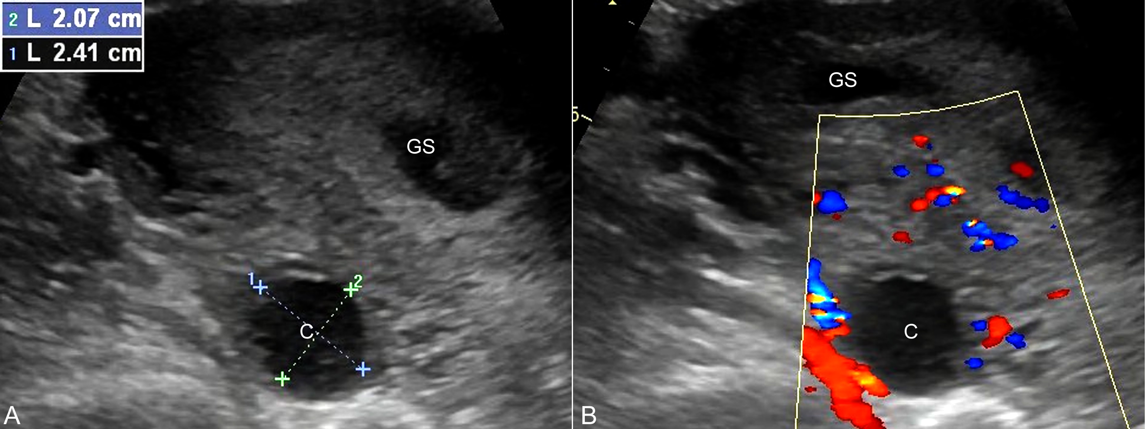
黄体囊肿(corpus luteum cyst)是妊娠期最常见的卵巢瘤样病变,可占卵巢局限性病变的14.2%。受精卵植入24小时以后,滋养层细胞分泌的绒毛膜促性腺激素刺激黄体形成妊娠黄体(corpus luteum of pregnancy)。在妊娠前10周内,妊娠黄体是孕妇体内孕激素和雌激素的主要产生部位,对促进子宫内膜蜕膜化和维持妊娠的正常进行有重要作用。此后,妊娠黄体的功能逐渐由胎盘代替,几乎均在妊娠第16周~18周以后消退。典型的妊娠黄体超声显像检查显示为附件区的无回声区,直径2cm~3cm,壁显示稍厚,内部为单房性,并可合并有少量点状低回声,此种回声多数无病理意义,几乎均在产前检查中偶然发现。如果妊娠黄体不消退,或持续增大,内部囊腔扩大,可形成黄体囊肿。超声显像检查显示囊肿直径多在4cm~6cm之间,形态规则,边缘清晰,壁较厚,但均匀一致(图1);内部多显示为无回声区,有时可见纤细的分隔回声;如果合并囊内出血,可以在囊腔无回声区内显示较粗的点状低回声,分布均匀或不均匀(图2A),CDFI检查周围血流稍增多或显示环状血流(图2B)。多数黄体囊肿较小,个别情况下囊肿可相当大,偶尔可以超过10cm;部分囊肿可以不消退,甚者维持到妊娠晚期,直至分娩。

图1早孕并黄体囊肿声像图:C:黄体囊肿;GS:孕囊

图26-6黄体囊肿出血声像图:A:囊肿内显示不甚均匀的低回声,下方显示无回声;B:囊肿内显示不均匀型低回声
在超声显像检查显示卵巢囊性回声的同时,宫腔内显示妊娠征象是诊断妊娠黄体囊肿的有力证据。胚胎/胎儿发育正常。有时由于囊肿较大可见子宫和妊娠囊受压的征象,几乎没有引起不良妊娠结局的报告。
超声显像检查单纯依靠声像图无法将妊娠黄体囊肿与卵巢其他囊性病变,如卵巢浆液性囊腺瘤等进行鉴别。妊娠前存在的卵巢囊性病变多为卵巢浆液性囊腺瘤,如果无妊娠前检查资料可供参考,在早期妊娠过程中发现卵巢无回声改变应当首先考虑卵巢黄体囊肿。随着妊娠的继续,超声复查多数囊肿在妊娠16周~18周以后消退;对暂时不能消退的囊肿,应当进行追踪观察;如果增大不是特别明显,或无囊肿扭转等异常的出现,在妊娠期一般不作处理。