点击关注后,我们将进入一个令人震惊的故事。一个男子因为妻子的一句话,竟然选择了一种极端的自虐行为。这个男子名叫常先生(化名),他的故事展示了情感和心理对人类行为的复杂影响。在婚姻生活中,争吵是常有的事情。常先生和妻子之间也常常发生情绪激烈的争吵。然而,有时候,一句话可以引发极端的自虐行为。在一次激烈的争吵中,常先生听到了妻子的一句极端的话:“去死吧。”这句话直击了他内心深处的自尊和自信,让他感到无法容忍。为了应对妻子的轻视和自己内疚的情绪,常先生做出了一个极端的决定。他捡起地上刚摔下的10厘米长的螺丝刀杆,然后把它吞了下去。这个决定在事后被证明是非常危险和自毁的,但当时的常先生已经不再理智,他的情绪和心理状态完全失控。吞下螺丝刀杆后,常先生的生活变得痛苦而恐惧。尽管他的决定源于情感冲动,但他必须面对长达四个月的身体痛苦。

他无法与妻子分享这个秘密,因为他害怕她会更加看不起自己。这种内疚和压力让他在沉默中忍受了数月之久。然而,生命有着顽强的生存本能,常先生的体内也开始发出警告信号。一个月前的一天半夜,他因为腹痛难忍而惊醒了睡梦中的妻子。这次痛苦的唤醒成为了他结束这场自虐行为的契机。经过医院的检查,常先生被告知,螺丝刀杆已经对他的内脏造成了严重的伤害。他需要进行紧急手术以将其取出。这次手术对他来说是一次生死考验,但他幸运地度过了这个关键时刻。常先生的故事给我们带来了深思。在婚姻生活中,情感和心理对我们的行为产生了巨大的影响。一个简单的话语,一个情绪的爆发,都有可能导致不可挽回的后果。我们应该学会控制自己的情绪,用理智和成熟的方式解决问题。现在,请你留下你的评论。你认为在婚姻生活中,如何应对情绪化的争吵?你有类似的经历吗?分享一下你的看法和经历吧。

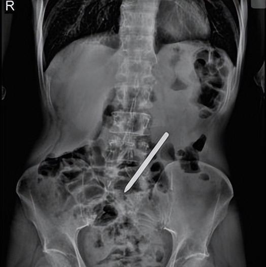
常先生的自虐行为引发了他的身体疼痛和担忧,最终他不得不去医院求助。医生检查后发现,异物位于十二指肠远端,这是消化系统中非常关键的位置。异物的存在对常先生的健康构成了严重威胁。医生决定采取行动,并使用高风险的手术来移除异物。医生使用小肠镜精确地定位异物并成功地将其取出,挽救了常先生的生命。这个案例提醒人们,不应该轻易地采取自虐行为,而应该及时寻求专业帮助并珍惜生命。近日,一段引发争议的视频在互联网上疯传。视频中,一位外籍自行车运动员在比赛结束后将自己的水壶送给了一个小男孩。然而,随着当事人的辟谣,事情变得更加复杂。这个事件背后的真相究竟是什么?我们需要了解更多的信息才能做出正确的判断。这个故事告诉我们,情感和心理对人类行为的影响是深刻的。常先生因为情感激动而采取了自虐行为,最终陷入了极大的危险。

而在外籍运动员送水壶事件中,人们也因为情感的涌动而对事情做出了不同的解读。然而,正确的信息和事实才是判断的基础。在面对类似事件时,我们应该保持冷静和理性,寻求更多的信息和证据,而不是轻信感情和传言。最后,我们需要问自己一个问题:在我们的生活中,我们是否真正珍惜生命,理性看待事情,而不被情感所左右?在这个事件中,我们可以看到社交媒体在传播信息和引发公众情绪方面的巨大影响力。一段简短的视频片段可以迅速引发广泛的讨论和舆论,人们往往根据片段的表面现象形成自己的判断和看法。然而,事实往往比表面现象更为复杂,需要我们深入思考和调查。对于这位母亲的行为,我们不能轻易地断定她是自私和无耻的。视频只是记录了片段,我们无法了解整个事件的背景和她的真实意图。她声称自己是在帮助朋友的孩子,这个解释是有可能的。

然而,她的解释也引发了更多的质疑和怀疑,人们对她的说法持不同意见。这给我们提出了一个问题:在面对类似事件时,我们应该相信当事人的解释还是相信自己的直观感受?这起事件也让我们思考社交媒体对个人隐私和形象的影响。一段视频片段可以迅速改变一个人的形象和声誉,无论真相如何。人们往往只看到片段中的行为,而忽视了背后的原因和动机。这种轻率的判断和定论可能会给当事人带来不可挽回的伤害,也可能会误导公众对事件的理解。在面对类似事件时,我们应该保持冷静和客观,不盲目追求短时间内的舆论热点,而是通过更多的了解和调查来判断事实。我们应该学会批判性思考,不盲目相信网络上的信息和评论,而是通过多方面的信息获取来形成自己的观点。最后,我们也应该反思自己在面对类似事件时的态度和行为。我们是否过于依赖社交媒体的信息和意见,是否容易被情绪和舆论引导。

这起事件提醒我们要保持理性和公正的思考,不要轻易相信和传播未经证实的信息,要尊重他人的权利和尊严,避免因为片段而对人进行过度批评和谴责。这起事件引发了公众对社交媒体和舆论引导的深入思考。在信息爆炸的时代,我们需要更加谨慎和理性地面对各种信息和舆论,不要被表面现象蒙蔽,要通过深入的思考和调查来了解事实真相。只有这样,我们才能做出正确的判断和决策,避免因为片段而对他人产生误解和偏见。你认为在面对类似事件时,我们应该相信当事人的解释还是相信自己的直观感受?请留下你的评论。在日常生活中,我们常常会遇到各种争议事件。最近,一名外籍运动员赠送水壶的事件引起了广泛的讨论和争议。在这个事件中,我们可以从中学到一些有益的经验和教训。首先,我们应该珍惜善意的表达和友好的举动。外籍运动员赠送水壶不仅是一种体育文化的展示,更是一种国际友谊的象征。

当我们受到别人的友好举动时,应该学会理解和感激,并以同样的善意回应。这样,我们才能够增进彼此之间的了解和友谊。其次,我们应该保持冷静和客观,在面对争议事件时不轻信谣言和不完整的信息。在信息传播的时代,真假难辨,我们应该保持理性和冷静,多方核实事实。我们不应该盲目跟风,发表无根据的言论,而应该尊重事实和真相,并对当事人给予公正和同情的态度。只有这样,我们才能够避免误解和冲突,并保持社会的和谐与稳定。最后,我们应该学会沟通和理解,避免冲突和误会。在处理争议和争端时,如果当事人能够及时澄清和解释自己的行为,视频拍摄者能够提供更完整和客观的记录,网友们能够更多地进行询问和交流,那么这起事件可能不会演变成如此复杂的局面。只有通过理性和平和的交流,我们才能够更好地理解彼此,解决问题,促进和谐社会。

综上所述,这起事件提醒我们,在处理争议和争端时,应当尊重善意和友善,保持冷静和理性,多角度看待事情,避免轻信谣言,以免造成误解和冲突。只有通过理性和平和的交流,我们才能更好地理解彼此,解决问题,促进和谐社会。那么,你认为在处理争议事件时,应该怎样保持理性和冷静,避免冲突和误会呢?