医脉通编译整理,未经授权请勿转载。
导读
巨大肾积水是青少年梗阻性尿路疾病中的一种,比较罕见。本文患者因肾积水导致腹部明显膨隆,囊肿几乎占据整个腹腔。该院医生采用经皮肾造口+缓慢减压治疗患者,以减轻症状和预防并发症。具体怎么操作呢?一起去看看吧!
相关背景
巨大肾积水通常包含1 L以上的积液,其发病是一个漫长的过程。发病初期,大部分患者除腹胀外,无其他特殊表现。当发生感染或组织压迫时,患者就会出现其他症状。
病例简介
患者女,19岁,主诉自孩童时期开始出现进行性腹胀,并伴有饱腹感。患者无其他不适,总体状况良好。体检发现腹部巨大膨隆,呈均匀扩张(图1)。腹部触诊无压痛、钝痛,叩诊可发现液波震颤,但不存在移动性浊音。足部无水肿。

图1 腹部巨大膨隆
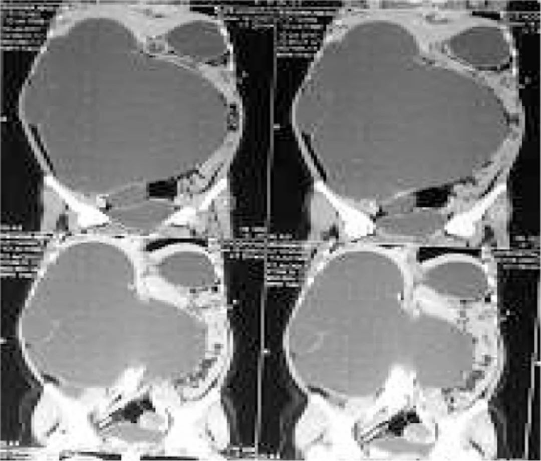
超声检查发现一个巨大的囊肿占据整个腹腔。腹部增强CT扫描显示腹膜后巨大囊肿占据整个右腹膜后腔,并跨越中线向左延伸(图2)。腹腔内其他脏器被推挤到腹部左侧。左肾清晰可见,不过在右腹膜后腔未见肾实质。初步诊断患者为巨大右肾积水。

图2 巨大腹膜后囊肿(右肾积水)占据整个右腹膜后腔,并跨越中线向左延伸
在超声引导下,医生将导管经右肾放置于肾积水囊内。为避免囊肿缩小后导管滑出,特意将导管全长大部分置于囊肿内。通过导管-输液器-尿袋的连接来收集积液(图3)。通过调节输液器上的控制按钮,控制流速,以防止快速减压导致的并发症。在引流54小时,收集13.5 L积液后,患者实现了完全性减压。术后患者腹部平坦,无并发症发生。

图3 引流良好,腹部平坦
巨大肾积水
1939年,Stirling将一侧肾积水超过1 L定义为巨大肾积水。第一个病案发表于1746年,迄今为止全世界已有600多例相关报道。由于CT、MRI等更准确的检查手段的使用,大部分肾积水患者在进展为巨大肾积水之前就被诊断出来,所以这种疾病的发病率正在下降。
巨大肾积水的常见原因是肾盂输尿管连接处梗阻,其他原因包括尿结石、外伤、肾异位、输尿管膀胱连接处梗阻和罕见的恶性肿瘤。巨大肾积水的表现类似于卵巢囊肿、肠系膜囊肿、胰腺囊肿、肾上腺囊肿、肝包虫囊肿、腹膜后(非肾脏)囊肿、结核性腹膜炎、腹水等。
由于积液量大,囊肿在巨大压力下会有突然破裂的风险。即使是很小的创伤也会引起并发症,使整体处理复杂化。
治疗
对于这类患者,医生可采用肾切除术和保肾治疗两种方案,但在实际工作中,大多采用肾切除术治疗。本病案患者也需要进行肾切除术,因为右侧肾脏已无功能。在患侧肾功能没有改善的前景下,肾切除术通常是巨大肾积水的唯一治疗方法,尤其是在对侧肾功能正常的情况。
术前建议进行经皮肾造口术,监测单侧肾脏24小时肌酐清除率,以改善肾功能,预防肾功能严重损害、术后急性肾衰竭和心肺窘迫。值得注意的是,巨大肾积水囊骤然减压可导致血流动力学平衡的改变,这种情况称为穿刺引起的循环功能障碍(PICD)。如果不进行额外的治疗管理就进行穿刺,PICD的发生率将接近80%。
预防PICD最简单的方法之一就是将积液一次性排出量限制在5-6 L之间,降低液体的排出速率。为预防这种情况的发生,该院医生自制了可控制流速的装置(导管-输液器-尿袋)。
小结
巨大肾积水虽然罕见,但在诊断腹部巨大膨隆时应予以考虑。一旦确诊,应进行两个阶段的治疗。首先应进行经皮肾造口术,以允许肾积水囊减压,防止最终手术时快速减压所造成的并发症。缓慢减压可避免许多并发症。
医脉通编译整理自:Sajad ahmad para, Sajad Ahmad Wani, Krishna Murty. Giant hydronephrotic kidney in adolescence- A rare case report and a review of the literature. Urology Case Reports. Volume 28, January 2020, 101029