秋天,又到了吃蟹的季节。看着大家吃蟹的样子,就知道有多美味。

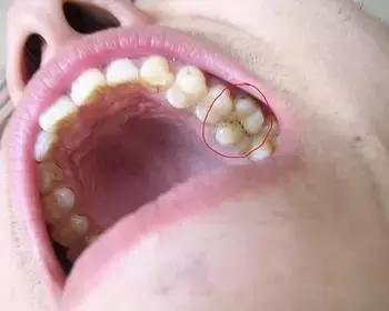
但是,蟹可不留情,那些直接用牙啃螃蟹的人,牙齿的下场很可能就变成了这样。


为什么好好的牙齿,一言不合就开裂?
“因为你没有好好爱惜它……”
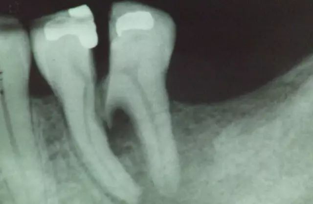
牙齿开裂,医学专业名称是牙隐裂,又称“不全牙裂”或“牙微裂”,它是牙冠表面的一些细小、不正常的裂纹。

电镜下的牙齿表面隐裂纹
造成牙齿隐裂的原因有很多,有的是因为牙齿结构的薄弱环节,有的是因为牙尖的斜面大,也有的是因为创伤性咬合(比如:咬硬物导致的咬合创伤)。
除了用牙啃螃蟹,一些常见的用牙习惯,比如:啃冰块、咬硬糖、用牙齿开酒瓶盖等行为都有可能造成牙齿隐裂。


为什么很多人会忽略牙齿隐裂呢?
牙隐裂之所以称之为“隐”,是因为牙隐裂后裂纹不容易被发现。于是,很多人也就忽略掉,自己的牙齿已经裂开了。
虽然,牙隐裂后的牙齿经常会伴有“咬到某一点就牙痛”或者“没有蛀牙,但吃冷热东西却会痛”的症状,但是很多人秉承着“不到万不得已,绝不看牙医”的观念,一拖再拖,拖到牙齿彻底劈裂或细菌随着裂纹让牙神经发炎,引起剧烈的疼痛后,才肯看牙医。

所以,一旦发现了牙隐裂的苗头,应该尽快去找牙医检查。越早检查,牙齿的治疗会越简单。

牙隐裂了怎么治?

①牙齿如果裂得不严重,可以做牙冠来保护隐裂牙,防止牙齿继续裂开。

②如果牙齿裂得严重,已经伤害到牙神经,需要做根管治疗后再用牙冠来进行牙齿保护。

③如果牙齿裂得更严重,比如:整颗牙齿从牙冠到牙根都劈裂开了,就只能拔除了。想想拔牙之后还需要继续治疗,心疼钱包里的纸币啊……

所以,还是防患于未然最好。

怎么预防牙隐裂?
①不咬硬物,吃螃蟹、山核桃请找小帮手。

②不要冷热交替地吃东西
③如果咬合有问题,容易造成牙隐裂,所以定期看牙医让医生做检查很有必要。
④如果你已经有隐裂牙,就要加倍注意了,因为隐裂牙对侧的牙齿也容易裂开。

别再用牙齿“硬碰硬”了。

图片 | www.google.com
参考资料 | 《是医生把我的门牙敲裂了吗??》(@葉子张野)
编审&排版 | 牙医麻麻Debbie
猜你喜欢:
根管治疗真的很痛吗?
倒牙怎么办?
分享 让更多的人“用牙”时“且用且珍惜”
投稿、合作、加入:yzkqkp@qq.com