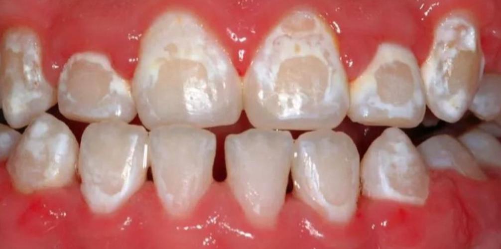
街坊们,现在,照照镜子,看一下自己的牙齿是不是存在一些白色斑点,看着让牙齿变白了一些。如果有的话,就要注意了,这种“牙齿变白”并非什么好事,还有可能预示你的牙齿已经开始崩坏。

这种白色斑点就是牙齿脱矿。牙齿脱矿指牙釉质表面的钙磷物质脱落,因而使牙齿色泽改变,出现白色或微黄的斑点,影响美观。如果不加以抑制,随着牙釉质脱落程度加剧,牙齿上会出现明显的浅凹陷或细沟。
当然,正常人的唾液含有钙磷物质,这些物质也会沉积到牙面,进行牙面再矿化。多数情况下,牙齿的轻微脱矿和再矿化会形成一个动态平衡,对牙釉质并无直接影响。但是如果牙齿矿化严重形成了蛀牙,那就是不可逆的了,蛀牙不能自愈,这时候就需要尽快采取措施,防止蛀牙恶化。

一般来说牙齿脱矿好发于牙齿清洁不彻底或采用传统固定矫治器矫正的人群中。牙齿清洁不彻底,食物残渣给牙面的细菌提供生存的营养物质,细菌“进食”了这些残渣,“生产”出来的代谢产物是酸。酸性物质是侵蚀牙釉质的源头,而脱矿就是在这个时候发生。
采用固定矫治器矫正的人群因为托槽部位不好清洁,也会产生食物残渣残留等问题,而且固定矫治器的存在改变了口内细菌群落环境,导致牙菌斑聚集并与一些食物相互影响,释放酸性物质,腐蚀到牙釉质。

因此,想要避免牙齿脱矿,首先还得先清洁干净牙齿,把细菌的营养补给切断了才能减少细菌的发展壮大。其次,大家尽量少喝碳酸饮料,避免酸性物质侵蚀牙釉质,降低牙釉质的保护力。
那么脱矿已经发展到一定程度了,单靠唾液已经不能再进行牙齿再矿化了,还能挽回吗?这时候就要请出“氟化物”来坐阵。氟化物可有效抑制釉质脱矿和促进釉质再矿化。临床可以使用低氟含量的溶液,如氟化钠、氟化亚锡溶液或者氟凝胶、氟涂料等,预防和治疗早期脱矿。但是用量及用法都需要医生指导完成,街坊还是不要闭门造车,出现自身搞不定的脱矿问题,还是及早求医好了。
(图片来自网络,侵删)