
广州中医药大学一附院微信订阅号【女科荟】专栏,逢周三推送!内容涉及众多妇科常见病的科普讲解与防治建议,实用、权威!敬请关注!
剖宫产后月经淋漓不尽,怎么办?
文/妇科 宗利丽主任医师
请向下滑动浏览 ⏬
中国一胎政策期,剖宫产率非常高,现随着二胎政策的开放,第一胎剖宫产的产妇,二胎多数需要剖宫产,剖宫产的人数必然上升,剖宫产后可能出现一些并发症。最常见之一是月经的改变,有很多这样的妈妈们,剖宫产前月经好好的,剖宫产后月经就变得严重拖尾,滴滴答答,严重的甚至整个月月经都不干净,月经总是不干净,夫妻生活不和谐,总是担心是否身体出现了毛病,给身心带来了严重的困扰。

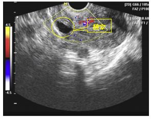
一般出现这种剖宫产后月经淋漓不尽的,首先考虑是 子宫疤痕憩室 。

子宫疤痕憩室,是指子宫前壁下段峡部因剖宫产术形成的切口,和宫腔相通而形成的一个憩室,就像一块平坦的地出现了一个坑。这个坑它并不陡,月经血就积在里面,慢慢倒出来,这也就造成了月经淋漓不尽。或月经本来干净了,同房后又再出现阴道流血,反正一年365天,没有几天是干爽的。据文献报道有60%的患者剖宫产后会出现这种情况。

坑 虽小(但坑人),症状却很大!
有哪些因素可能与子宫疤痕憩室形成相关?
关于子宫疤痕憩室,目前认为跟剖宫产的时机有关:如果是急诊剖宫产,宫颈拉伸较长(≥5cm),容易造成子宫切口过低,该处有许多分泌粘液的腺体,非子宫收缩的主要部位,延缓了子宫的愈合。若未临产时行剖宫产,子宫下段未充分延长,容易造成切口位置过高,因子宫宫体的肌层比宫颈厚容易造成切缘吻合不齐。当然,还跟高龄产妇(≥30岁)、肥胖(BMI≥27.3)、早期羊水破裂、贫血等有关。可能还跟患者的体质相关。
如何知道自己是否有子宫疤痕憩室?
很简单,去医院做个经阴道三维彩超,记住,是三维!三维彩超可以从矢状位及冠状位去观察憩室,而二维做不到。你会说,磁共振(MR)也可以啊!但是磁共振贵啊,经阴道三维彩超不仅价廉,而且无创。
如何治疗子宫疤痕憩室?
关于治疗主要分为非手术治疗和手术治疗。

非手术治疗

最常用的是口服避孕药,也有放置宫内左炔诺孕酮缓释系统的。口服避孕药治疗对缩短月经期是有效的,但停药后症状反复,且很多患者较难坚持。因为短效避孕药需要每日服药,并有恶心、增胖等副作用。放置左炔诺孕酮宫内缓释系统(俗称曼月乐),其可使子宫内膜萎缩,月经量减少,但对月经期长的症状改善不明显,因为其本身的弊端就是会造成点滴出血。
祖国传统医学中医药有一定功效,我们分析:并不是所有剖宫产病史的患者都有月经淋漓不净的情况,甚至检查有子宫疤痕憩室的患者,也可能没有症状,所以出现月经淋漓不尽与患者的体质也有一定关系,所以根据体质和临床症状用中医药有一定效果。
手术治疗
并非所有患者都需要手术治疗。对于剖宫产后想再次怀孕的妇女,孕前最好去医院做个经阴道三维彩超,看一下憩室最薄处是多少,目前认为疤痕残留肌层最薄处≤2.5mm发生子宫破裂的风险为42.9%。如果最薄处≤2.5mm那就需要手术治疗,手术有经腹、经腹腔镜、经阴式修补术,目的只有一个,就是切除疤痕,并重新缝合子宫,让疤痕愈合对再次妊娠有益。具体行何种手术,由手术医生的决定。
还有一种手术是通过宫腔镜手术把憩室削得平滑一点,使憩室里面的积血可以流出来,缩短月经期时间,前提是憩室最薄处较厚,最好大于3mm。

到底选择何种治疗方式,要医生综合评估,跟医生很好的沟通非常重要哦!最后,希望我说的您能懂,并且对您有帮助。

专家简介

宗利丽,广州中医药大学第一附属医院主任医师,医学博士,博士生导师。
擅长:严重痛经及不明原因的不孕(子宫内膜异位症和子宫腺肌病)的中西医联合诊治;多囊卵巢综合症个体化诊治;剖宫产疤痕憩室及子宫疤痕妊娠手术,女性私密整复手术治疗。
出诊时间:每周一下午、晚上,周三上午
出诊地点:门诊三楼 妇科9号诊室
温馨提醒
请关注下方“广州中医药大学一附院”或“广州中医药大学第一附属医院” 公众号。关注后进入页面菜单栏“就诊助手”或“门诊服务”,搜索“医生姓名”即可挂号。

觉得不错,请点赞↓↓↓
