近日,罗湖医院儿科和呼吸内科专家联手成功为年仅7个月大的婴儿施行了纤维支气管肺泡灌洗术。成为目前院内接受该术式年龄最小患儿之一。
诗人徐书信“在暑雨”一诗中描述:
“夏日熏风暑坐台,
蛙鸣蝉噪袭尘埃。
靑天霹雳金锣响,
冷雨如钱扑面来。”
今年夏至雨水特别的多,
在这春夏交替的季节,
仍然是小孩子容易生病的时候。
肺炎支原体肺炎
肺炎,流感都是儿科门诊的主要病种。小儿肺炎支原体肺炎更是占据病房中肺炎的榜首,甚至近期较多肺炎支原体感染导致大叶性肺炎,难治性肺炎。

肺炎支原体肺炎是儿童社区获得性肺炎的重要病原之一,占住院儿童10%-40%,是儿科医生广泛关注的临床问题。通过飞沫和直接传播,潜伏期1-3周,每3-7年出现周期性大流行。
案例
7月患儿小宝
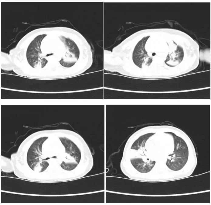
患儿7个月小宝,因发热、咳嗽在外院治疗7天无好转,来罗湖医院就诊,入院后根据患儿症状体征辅助检查肺炎支原体阳性,肺部CT提示两肺多发肺炎,两上肺及右肺中叶明显。
诊断为:肺炎支原体肺炎。在刘杰波主任查房指导下,严格把控了小宝的适应症和禁忌症。根据他的病情指示拟行纤支镜检查,进行肺泡灌洗术治疗。

小儿支气管镜
小儿支气管镜已成为儿科呼吸疾病诊治中安全有效和不可缺少的手段,可以及时解除呼吸道阻塞对减轻高热等症状,促进肺复张,减少后遗症的发生。
支气管镜治疗价值在于清除小呼吸道分泌物与痰栓,可以缩短病程,更减少支气管闭塞和支气管扩张的发病率。

5月9日星期四上午,在呼吸内科杨礼腾主任的会诊协助指导下,儿科张进主治医师、刘国乐医师、罗宇元副主任医师、简丽丽护师和呼吸内科的方菁菁护师、曾美琴护师等医护人员共同协作下,为这7个月大的小宝行纤支镜检查,进行肺泡灌洗术的治疗。
经过一系列的术前讨论评估,术前进食,术前准备,局麻,镇静等各项准备工作,顺利的完成了纤支镜的灌洗术。
过程顺利,术后回到病房,患儿的生命体征一切平稳,期待患儿能早日出院,早日康复。

小儿纤支镜技术的开展,
标志着我院小儿呼吸系统疾病
的诊治上了一个新台阶,
更使得我院小儿纤支镜的
诊疗技术对新生儿迈入新高度。
来源:儿科
编辑:罗医宣