

全文874字,预计阅读2分钟
鹅口疮,婴幼儿时期宝宝最长常见的一种疾病,由于患有鹅口疮的宝宝会在舌上、颊内、牙龈或上颚散布白屑,融合成片,因此又称之为雪口病。

这是由白色念珠菌感染所引起,这种真菌有时也可在口腔中找到,常见于营养不良或身体衰弱的婴儿。尤其现在到了冬季,宝宝抵抗力下降,病毒繁殖更加迅猛,很容易发病。
鹅口疮通常主要是因为口腔环境不卫生所造成的。比如:奶瓶、奶嘴消毒不彻底,母乳喂养时妈妈的乳头有细菌,宝宝平时习惯将玩具、手指等其他异物放入口中引起感染。


更有数据调查显示,99%患有鹅口疮的新生儿有是因为出生经过产道时,接触到妈妈阴道附近的念珠菌而造成的感染。因此,正在备孕的准妈妈们在怀孕前一定要把妇科病治好。
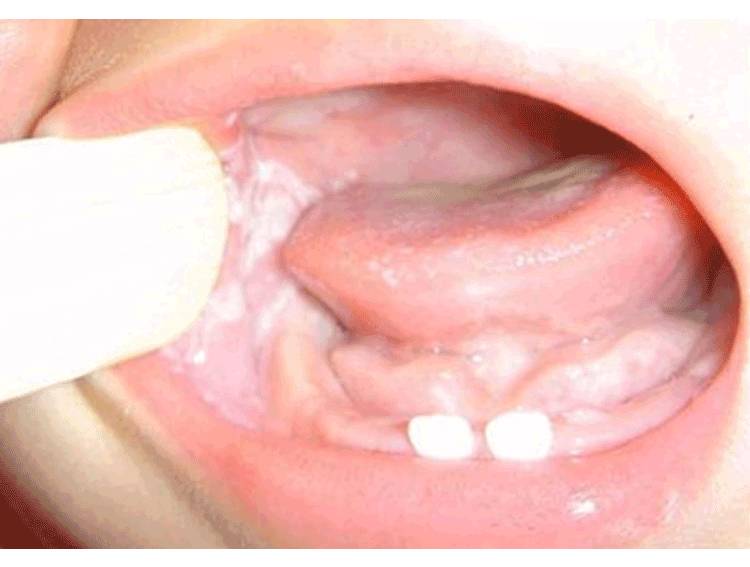
如果你家宝宝在喂奶时总是哭闹不止,口腔两侧和舌头黏膜上有白色的斑点那很有可能就是得了鹅口疮哦。

发现白色斑点后妈妈们可以先用棉签沾上温水轻轻拭去,鹅口疮往往擦除困难,擦除后会留有红色创口,排除是奶块的可能。

那我们该如何预防鹅口疮呢?
◢ 注意口腔卫生很关键 ◤
养成喂奶后可以稍微给宝宝喂一点温水,也可以用棉签沾着温水轻轻的擦拭宝宝口腔黏膜,千万不要弄破黏膜,不然反而容易引起细菌感染。宝宝7、8个月的时候可以让宝宝每天用温水漱口。

喂奶前一定要将双手洗净,如果是母乳喂养,乳头用温水清洗干净即可。

虽然鹅口疮是因为卫生引起的,但妈妈可不要过分“洁净”,不要使用含有消毒剂的湿巾过度的清洁乳头。这样过于洁净不仅不利于宝宝免疫系统、肠道正常菌群建立的形成,还容易使宝宝过敏。
奶瓶、奶嘴等喂养工具一定要洗净后再放入开水烫或者蒸汽中10~15分钟。

奶瓶、奶嘴在使用后应立即清洗干净,不然奶垢形成沉积,不易彻底清除。(奶瓶和奶嘴一定要选择耐高温材质,清洗时切忌不要使用化学消毒剂)

▍温馨提示:
鹅口疮易反复,通常在用药后几天内症状就会消失。这时一定要根据医生的要求坚持用药,巩固疗效。
- - 百 (guang) 科 (gao) 分界线 - -
辣妈来帮忙感恩大回馈的时候到了,我们重磅推出双十二套餐活动将在这个周末开始,错过了双十一的活动得抓住双十二这次机会哦,要不这个冬天你用啥?老公负责赚钱养家,你来负责貌美如花,我能想到最浪漫的事就是和儿子做"姐弟"。生活每天需要正能量,我们从护肤开始吧~
▼
全场6折起

更低的折扣
活动时间12月1日~12月12日
冬季护肤刻不容缓
你不美! 你让你的老公去看谁! 保养一刻都不能松懈哦
想要购买的妈妈 淘宝店铺搜索 辣妈来帮忙 就购了
- E N D -
