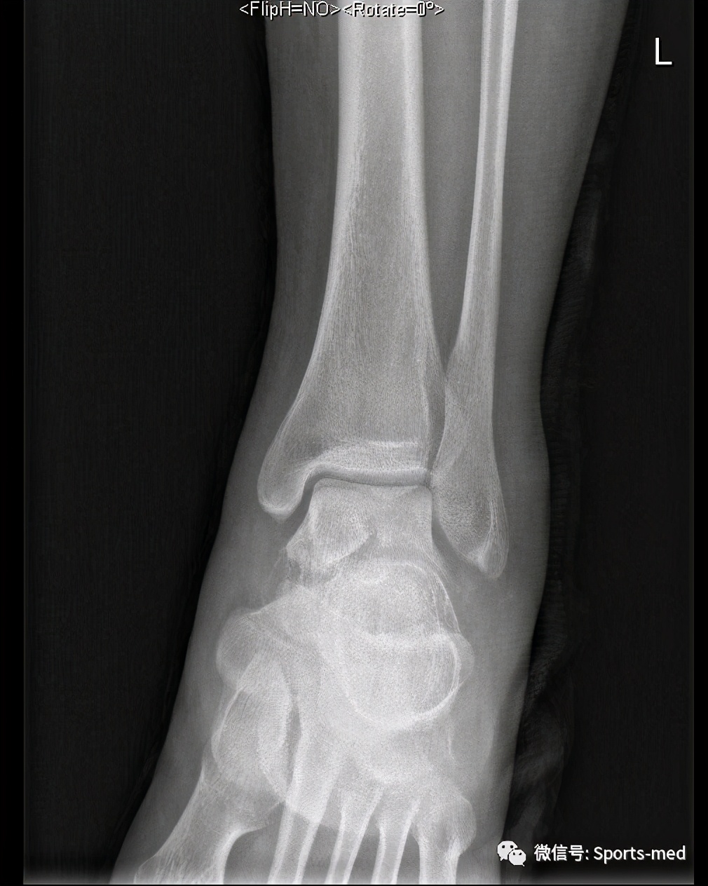
上周接诊了一位外地的患者,是一个28岁的男性患者,以打篮球时扭伤左踝关节为主诉来我院的,身高190,体重100kg的大只佬,受伤以后在当地医院拍了踝关节正侧位片,结果提示为距骨骨折(后方)


当地两家医院给出了两种方向的建议:切开手术治疗、打石膏保守治疗,同时主张手术的医生还告知了各种可能的风险,比如距骨坏死、移位、不愈合、皮肤坏死等,而主张保守治疗的医生之所以建议保守是因为:坏死机率和发生创伤性关节炎几率很高,做和不做差不太多,看到这个片子的第一眼,我并没有马上给我的治疗建议,而是先让他做一个踝关节三维ct,判断骨折情况,三维ct结果要比我们想象中的好很多,骨折块位置还好。


经过与患者的沟通和交流,我们提出了如下治疗方案:内镜监视下骨折闭合复位空心钉内固定,选择这个治疗的原因有:患者还很年轻,运动欲望强烈;关节面不平整,踝关节以及距下关节均有累积;骨折部位靠近后方,关节镜比较容易处理。
我们采用常规的后内、后外入路,清理关节内的淤血,并探查骨折情况,与ct显示基本一致,骨折形成三部分,并累积了关节面


经过我们反复敲拨以及结合克氏针的使用,我们首先 把上方的骨块和外侧的骨块复位,打上三枚克氏针固定,然后打入两枚空心埋头钉,复位的效果还是相当满意,骨折线基本看不到了

然后再清理一下距下关节,把影响另一块骨块复位的组织清理掉,还需要额外松解一下这个骨块上的纤维组织,尤其是这个骨块与拇长屈肌腱腱沟以及相应的支持带有关联,这些组织的牵拉影响了骨块复位,所以我们对这些支持带做了松解,同时不影响拇长屈肌腱,松解后复位容易多了,复位后再打入另外两个埋头钉,效果就变成这样了:

距下关节的复位也非常满意啦,可以做到了解剖复位,而且只是通过关节镜的两个0.5公分的小切口完成了这个手术,手术时间1.5小时,患者发生血管神经损伤以及距骨坏死的机率应该已经尽最大强度在降低了,希望患者能够早日康复,我们也希望能够继续追踪随访患者,以获取更多的经验,提高此类型损伤的治疗效果和水平,最后展示一张我们的照片吧
