本文作者:青岛市胸科医院骨结核科
来源:结核之家
1.病例介绍
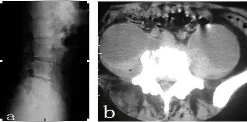
患者郭某,女性,25岁。因腰痛一年余,曾经在多家医院就诊,诊断为腰椎间盘突出,给予对症治疗,当时有所减轻,近来腰痛加重,经检查后考虑腰椎结核而到我院就诊。查体:脊柱向右侧弯曲,L4-5棘间压痛,叩击痛。左侧腹股沟区可触及100px×125px包块,触之波动感。实验室检查:血清抗结核阳性,血沉69mm/h,C-反应蛋白164.9mg/dl,PPD试验强阳性。腰椎平片(图a)示:腰4/5间隙变窄,L4椎体上缘骨质破坏。腰椎CT(图b)示:L4、L5椎体骨质有破坏,并有死骨形成,双侧腰大肌内可见液性暗区。腰椎MRI(图c)示:椎间盘等T1略短T2信号,临近骨组织呈长T1长T2信号,正常椎间盘信号消失,L4椎体下半部分L5上半部分骨质破坏,周围软组织肿胀,腰椎双侧腰大肌及骶前脓肿形成。入院诊断:腰椎结核(L4/5),腰大肌脓肿(双侧),骶前脓肿。入院后给予H.R.Z.E初治方案,同时在CT引导下行双侧腰大肌脓肿穿刺置管引流术(图d),引流后病人症状明显缓解,血沉(36mm/h)、C-反应蛋白(97.9mg/dl)明显下降,复查腰椎CT(图e)脓肿明显减少,经过抗结核治疗四周后给予行后路椎弓根钉棒系统内固定、前路病灶清除取髂骨植骨融合术(图f、g)。



2. 专家点评
该病例为腰椎结核的典型病例,具有腰椎结核的典型表现,包括血沉增快、C-反应蛋白升高、血清抗结核抗体阳性、PPD试验阳性、椎体破坏、死骨形成、腰大肌脓肿、椎旁脓肿、流注脓肿等,诊断明确。由于脓肿较大,结核中毒症状重,没有进行抗结核药物治疗,首先采用微创手术将脓液引流减少毒素吸收,进行规范抗结核药物治疗后再进行手术治疗。由于近几年脊柱外科的发展及相关的基础研究证实脊柱结核病灶内可以一期植入内固定材料,所以现在病灶清除植骨内固定术逐渐成为现代脊柱结核治疗的标准术式。
3. 诊断要点
(1)病史:腰椎结核起病比较慢,症状不典型,开始只是腰疼的表现。
(2)实验室检查:血沉增快、C反应蛋白升高、血清抗结核抗体阳性、PPD试验阳性等都是可以为腰椎结核的诊断提供依据。
(3)影像学检查:
腰椎X检查(图a)可见生理前凸减小、椎间隙变窄,相应椎体上下缘骨质疏松。
CT检查(图b、e)可见椎体破坏、死骨、椎旁脓肿、腰大肌脓肿及椎管内的变化等。
MRI检查(图c)可以早期对脊柱结核进行诊断。可见椎体破坏以椎体前中部为主,T1WI病变椎体呈低信号, T2WI骨质破坏区呈不均匀高信号。伴有骨髓炎性水肿时,炎性水肿区T1WI呈等信号, T2WI呈高信号。椎间盘改变表现在椎间隙变窄,椎间盘受累破坏。T1WI均呈低信号,T2WI信号增高T1WI呈等信号, T2WI呈高信号。周围冷脓肿表现,T1WI呈中等低信号, T2WI呈中等高信号,脓肿多位于破坏椎体前后方及两侧,略呈梭形范围较广泛。
根据上述的变化基本可以明确诊断,如果仍不能明确诊断可以考虑穿刺组织活检。
4. 治疗原则
腰椎结核与其他脊柱结核一样,是全身结核感染的局部表现,分为全身治疗和局部治疗,全身抗结核药物治疗非常重要也是首要的治疗方式,同样要遵循早期、规律、全程、适量、联合的结核病药物治疗原则。治疗的疗程要达到7-9个月或9-12个月,术前抗结核药物治疗的时间一般应在四周左右,不能少于两周。
在规范的抗结核药物治疗的支持下应当对具有手术指征的病人进行手术治疗。手术治疗目的:病灶清除、神经减压、矫正畸形、植骨融合、脊柱稳定,最终使脊柱结核达到治愈。病灶清除的范围不宜将病椎整体切除,应当对L4椎体下把部分L5椎体上半部分进行部分切除,尽可能保留健康的椎体,融合的范围应当越小越好,尽量只融合受到破坏的脊柱功能单位,即只对L4/5椎间融合。
5. 随访结果
病人行病灶清除术后两周C-反应蛋白(18 mg/dl)降至正常,六周后血沉(16 mm/h)降至正常,术后一周在腰围保护下进行康复锻炼,每月复查肝肾功、血沉、C-反应蛋白,每两个月左右复查腰椎正侧位片。术后一年停用抗结核药物,并复查腰椎正侧位片提示植骨融合满意(图h、i),给予取出腰椎内固定,取出内固定术后六个月复查腰椎正侧位片植骨块与椎体修复良好,植骨块比取内固定术前更加强壮粗大(图j、k)。
6. 经验教训
该病例属于临床比较晚期的脊柱结核,早期的脊柱结核在没有形成脓肿或明显的椎体破坏的情况下,完全靠抗结核药物治疗和休息治疗可以治愈的,所以病人早期出现腰痛时一定要认真查体,还要提高对腰椎结核的认识,重视影像学检查结果,并要认真分析,必要时早期可以进行腰椎MRI检查,这样可以早期诊断,可以避免病人开放手术的痛苦。
对于巨大的腰大肌脓肿并且张力比较大、结核中毒症状重、病人全身状况差的患者,虽然具有手术指征但是手术时机不成熟,可以先采用微创的手术方式进行穿刺将脓肿引流,这样可以迅速减轻病人的中毒症状,也可以减少脓肿流注的机会,也可以为下一步的病灶清除准备条件。
腰椎结核尤其在腰骶部的椎体破坏,前路内固定比较困难,可以选择后路内固定,前路经腹膜外病灶清除术,这样可以使病人早期下床,提高植骨融合率,缩短病人的康复时间。前路脊柱融合应当只融合已经破坏的节段(L4/5),待植骨块融合、结核治愈后取出内固定,可以尽可能多的恢复腰椎功能单位,可以减少临近腰椎间盘退变的几率。
前路病灶清除的手术入路,大多数学者采用下腹部倒“八”字切口腹膜外途径进行下腰椎病灶清除,该病例由于双侧腰大肌脓肿,我们采用下腹部横切口,经腹直肌旁腹膜外入路进行病灶清除,该入路不切断腹壁的肌肉,切口美观,具有创伤小的优点。
手术创面建议使用脉冲加压冲洗设备,这样可以术野的结核物质的残余,使病灶清除更加彻底。
术野常规放置负压引流,可以将创面的渗血、渗液充分引流,可以预防腰大肌积液的发生,减少结核复发的几率,引流时间一般7天左右,引流物在10ml/天以内可以考虑拔除引流,经过我们80多例手术的观察,无一例出现切口不愈合,引流管口窦道形成的情况。
【版权声明】本平台属公益学习平台,转载系出于传递更多学习信息之目的,且已标明作者和出处,如不希望被传播的老师可与我们联系删除