在临床工作中碰到很多患有肺部肿瘤的患者不知所措,四处投医,得不到正规有效的治疗,甚至会延误病情,错失了治疗机会。对于不同分期、不同体质的肺部肿瘤患者如何选择最佳治疗方案,让病人痛苦降到最低,生存期得到延长,一直是我临床工作所思考的主要问题。本文是我对临床文献和临床经验积累的总结。希望能帮助肺部肿瘤的患者选择一个最佳的治疗方案,解决患者的困惑。

1.完善影像学检查:首先要完善CT检查,要做强化CT检查,而且要完善颅脑、胸部、腹部的强化CT检查。因为强化CT能看清肿瘤的血运情况,更能清晰的判断肿瘤的良恶性程度,还能看清肿瘤淋巴结的情况以及肿瘤同血管的关系。颅脑、腹部强化CT的检查主要是为了排除转移;如果有条件的病人头部可行磁共振检查。因为如果发现转移病灶以后病人的分期和治疗方案是不同的。

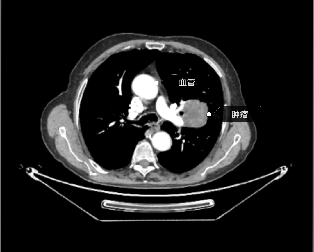
白色的是血管,灰色的肿瘤
2.完善心肺功能检查:肺部肿瘤检查确诊以后要完善心电图、心脏彩超、肺功能检查,评估患者的心肺功能,决定下一步的治疗方案。

3.完善血液系统检查:要检查血RT、凝血检查、生化检查、血沉、感染四项、血型、肿瘤标记物检查、如果怀疑是其他感染性疾病的还要加查其他相关项目检查,比如怀疑曲霉菌病的要查G试验和GM试验,怀疑结核的要加做结核相关检查项目等。

(我想用简单的文字来描述复杂的治疗过程,这个是发现以后的就医流程,希望对您有帮助,码字不易,点赞和关注是对我的一种鼓励。持续更新中!)
作者简介:


公立三级医院科主任 副主任医师 中华医学会会员 世界华人抗癌协会肿瘤微创介入委员会青年组委员 山东省微创介入委员会委员等多项社会兼职
擅长:肿瘤综合治疗、微创介入、呼吸内镜 十多年工作经验,是临床科室最年轻的科主任,多次应邀参加国家级学术会议,分享治疗经验。