最近我遇到了几位腰痛的年轻女患者,一到门诊就跟我说腰痛的烦恼,还说本以为“卸货”后就能回归真我,变身时尚辣妈,可生完孩子后才发现不是这么回事儿。孩子生完了,腰痛的毛病也落下了。一侧或者双侧的腰痛,症状的时好时坏、反复出现,实在是很受折磨。年轻的妈妈们就很怀疑,这腰痛跟无痛分娩时腰部的麻醉有关吗?我告诉她们,其实这是一个误区,“腰麻”表示不背这个锅。然后给做了相关检查,最后都证实为同一种疾病——髂骨致密性骨炎。那么,现在我带大家了解一下这种折磨年轻女性的腰痛病——髂骨致密性骨炎到底是什么,再根据它的成因,寻找更好的预防措施。

什么是髂骨致密性骨炎呢?
髂骨致密性骨炎也被称为髂骨浓缩性骨病或髂骨三角性骨增生,是一种原因不明的发生在骶髂关节旁以局限性骨质硬化为特点的非特异性炎症。硬化现象以骶髂关节面中下2/3更为明显,关节间隙无改变,多为两侧对称。其发病率为0.9%-2.5%,女性比男性更常见,主要发生在怀孕和产褥期。

上述箭头所指为骶髂关节
髂骨致密性骨炎有哪些表现呢?
临床上通常以慢性下腰痛或骶髂关节区不适、间歇性酸痛、隐痛为主,多为一侧性,严重者常伴有髋关节活动障碍,且疼痛会向臀部、大腿背侧放射,步行、久坐、久站、负重及劳累后症状会加重。骶髂关节及臀中肌压痛明显,骨盆挤压及分离试验、4字试验阳性。放射学特征为骶髂关节的髂骨侧硬化,通常为双侧、对称和三角形,硬化区轮廓分明且致密,主要位于前中三分之一处。

骶髂关节髂骨侧硬化,骶髂关节间隙正常

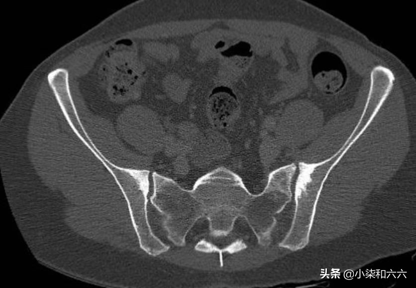
骶髂关节双侧髂骨部硬化、三角形征
发生髂骨致密性骨炎的相关因素有哪些呢?
其病因尚不清楚,但有被认为是机械应力和骶髂关节平衡导致的慢性应激反应。支持这一观点是由于它最常见于已生育的妇女。本病98%发生于中青年,尤其是女性。典型的病例是小于40岁女性妊娠后出现,尽管有很多孕期发生髂骨致密性骨炎的报道,但尚未发现妊娠和髂骨致密性骨炎之间有明确的相关性。然而,男性和未生育的女性也可能发生。该病的发生可能与姿势异常、骨盆韧带松弛、局部血供受阻、泌尿系感染及妇科感染有关。

1、姿势异常:骶髂关节是支持体重的重要关节,重力使髂骨转向前下产生活动,而骨间韧带和凹凸不平的髂骨耳状面起着相反的*制抵**作用,当站立或坐位时,重力传导到骨盆,两侧髂骨首当其冲,而耳状面更是承重的重点。患者因腿痛、跷二郎腿或其他原因导致跛行,躯干的负荷受力全部落于一侧髂骨关节面上,可引起反应性增生性硬化。体重也是相关因素。
2、骨盆韧带松弛:在分娩前,孕妇体内高浓度驰缓素将利于生产,尤其是骨盆周围,但如果弛缓素太多,将会导致孕妇“跛行步法”,这类女性在孕后期将会出现疼痛,骨盆韧带松弛,骶髂关节松动,失去稳定性,使关节面受到异常磨损和刺激,将诱发关节面下硬化性炎症。
3、局部血供受阻:分娩可引起骶髂关节韧带的撕裂损伤,使局部血供受阻,从而导致骨质呈硬化性改变。另外,慢性劳损、外伤等也会引起局部血供受损。
4、泌尿系及妇科感染:泌尿系及妇科感染的炎症毒素波及到骶髂关节,可能会引起骨质改变。
髂骨致密性骨炎该如何治疗,预后会怎样呢?
髂骨致密性骨炎的治疗以适当休息、对症治疗为主。如非甾体抗炎药、理疗、针灸、手法推拿、佩戴骨盆带、中药熏蒸、火罐、关节内注射等综合疗法,严重的可以行骶髂关节融合。该病一般预后良好,它是一个自愈性疾病,随着时间推移,疾病会趋于好转甚至自愈。

如何预防髂骨致密性骨炎呢?
避免多次妊娠,避免肥胖,产后注意适当休息,要劳逸结合。产后骨盆充血,机体恢复需要一段时间,若长时间腰部负重,很容易诱发本病。因而产妇要注意保护腰部,保证充足睡觉,端正坐姿,经常更换卧床姿势,避免提过重或举过高的物体以及过早跑步、长途跋涉。同时多吃高钙食物、具有消炎利尿的食物、富含锌元素的食物。