踝关节解剖▲▲▲
(一)内侧结构
内侧副韧带(三角韧带)分深浅两层
- 浅层—跟胫韧带
- 深层—距胫前韧带,距胫后韧带,舟胫韧带

(二)外侧结构
外侧副韧带
- 距腓前韧带
- 距腓后韧带
- 跟腓韧带
- 跟距外侧韧带

(三)其他结构
- 跟距间韧带(跗骨窦韧带)
- 跟骰韧带
- 分歧韧带
- 下胫腓联合韧带
- 踝穴—由内外踝和距骨体组成,正常时内外等宽≤4mm
足踝肌腱与重要的支持带
- 内侧支持带
- 腓骨肌腱上下支持带
- 小腿横韧带和十字韧带

足的跗骨与小骨
- 内侧:第二距骨,副舟骨
- 外侧:距后三角骨,第二跟骨,副腓骨

踝关节的韧带损伤▲▲▲
1.分类
按受伤机制:旋后伤,旋前伤,外旋伤;内翻伤,外翻伤
按解剖特点:单纯伤,联合伤
按损伤的病理特点:部分断裂,完全断裂
按病程:新鲜断裂,陈旧断裂
2.踝外侧副韧带损伤
A.单纯韧带损伤
- 踝外侧副韧带的牵扯及部分断裂特点:没有明显关节不稳
- 踝外侧副韧带完全断裂特点:有明显关节不稳
- 常有一时性脱位或半脱位多合并关节囊的撕裂

B.联合损伤
- 合并内侧三角韧带损伤
- 合并跟距前韧带损伤
- 合并副舟骨损伤
- 合并距后三角骨损伤
- 合并距骨关节面的骨软骨切线骨折
C.陈旧损伤
- 踝关节前外侧不稳
- 踝关节外侧副韧带钙化
- 韧带残端或新生瘢痕组织嵌入关节(软组织撞击综合症)
- 韧带残端瘢痕挛缩引起腓骨肌腱狭窄性腱鞘炎
症状
- 受伤史—内翻伤,旋后伤
- 疼痛、肿胀
- 皮下淤血
- 跛行
- 活动受限

体征
- 肿胀,压痛(注意压痛最明显的部位!)
- 被动内翻后旋后时疼痛明显加重
- 注意检查踝关节有无不稳(抽屉试验、内翻应力试验、距骨侧方移动试验)
- 抗阻检查(内外旋,内外翻)

抽屉试验

术中抽屉试验

内翻应力试验
辅助检查
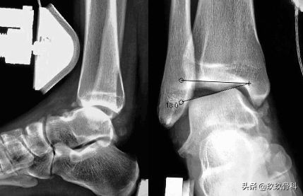
- X线 踝关节正侧位(必要时应加照踝穴位)
- B超
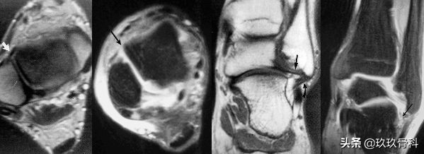
- MRI

应力位片

鉴别诊断
- 腓骨长短肌腱脱位
- 胫后肌腱脱位
- 内外踝骨折
- 跗骨窦韧带损伤
- 软组织撞击综合征
- 关节软骨和骨软骨损伤
治疗
A.现场急救处理:加压包扎棉垫或海绵垫压迫止血;冰敷;关节穿刺抽积血;固定(粘膏支持带,石膏支具)

B.踝外侧副韧带损伤合并其他伤的治疗
- 合并副舟骨和距后三角骨损伤的以后者为主
- 合并骨软骨切线骨折:青少年可石膏靴固定4周,成年则手术治疗,切除切线骨折块。
C.踝外侧副韧带断裂合并暂时性脱位或半脱位的治疗(有争议)
- 与部分撕裂治疗相同
- 前后石膏夹板固定4周
- 先前后石膏夹板固定,若有后遗症或踝关节不稳定,再手术
- 急诊手术:修复断裂韧带和关节囊
D.踝关节不稳或再发性脱位的治疗
- 非手术治疗:训练时护踝或支持带保护;加强踝关节周围肌肉力量的训练
- 手术治疗:韧带止点重建(解剖修复)或缝合修补关节囊;腓骨骨膜连同关节囊上提、拉紧、肌腱移植(韧带重建)
3.踝的旋前损伤
损伤病理:内侧三角韧带断裂
损伤机理:基本作用力是足的旋前力
诊断:仔细检查,防止漏诊

治疗
- 三角韧带单纯伤:较少

- 三角韧带断裂有脱位时:无论是否合并骨折,都需石膏固定3-5周
- 闭合复位困难者:往往为胫后肌腱或韧带残端嵌入关节隙—手术治疗
- 关节不稳:手术治疗(韧带上提紧缩或止点重建术)
4.踝的外旋损伤(下胫腓骨间韧带损伤)
损伤机制:踝的外旋扭转引起胫腓骨之间韧带撕裂(滑雪损伤)
损伤病理:胫腓骨之间韧带撕裂
诊断:体检—疼痛肿胀压痛的部位在踝的前上方;X线—踝内旋20°正位

治疗
- 早期复位非常重要!!!
- u形石膏固定踝关节0°位
- 固定时间:8周
- 复位不满意时应手术治疗!


踝的骨折▲▲▲





第五跖骨疲劳骨折
跟腱断裂▲▲▲
病因:直接外力、开放伤、闭合伤、间接外伤


病理:26/38例伤前有跟腱腱围炎病史
病理改变:主要为跟腱的坏死、纤维变、纤维截断及腱周围组织血管增生、血管内膜增厚。
术中所见:断端呈马尾状,间隙有血肿,但出血少,腱围同时破裂,跖肌腱常完好。
损伤机制:在踝背伸60-70度位突然用力蹬地或踏跳
诊断
- 有外伤史
- 症状:棒击感、疼痛、提踵无力
- 体征:跟腱外型消失、休息位改变、背伸范围加大、跖屈抗阻无力、捏小腿三头肌试验(+)、跟腱处可触到凹陷伴压痛

治疗
- 非手术治疗(严格掌握适应症):长腿石膏固定6周(跖屈位2周,中立位4周)
- 手术治疗:单纯缝合;缝合+翻瓣加固


跟腱断裂的手术治疗
跟腱的其他损伤
- 跟腱陈旧断裂
- 跟腱部分断裂
- 跟腱再断裂
- 跟腱腱围炎
- 跟腱腱病

跟腱陈旧断裂

跟腱腱病
运动员踝关节的骨关节病▲▲▲
名称:运动员之踝、足球踝、踝关节撞击性骨疣、踝关节前撞击综合征

原因:
- 踝关节活动过多或过劳
- 与运动特点有明显关系
- 训练年限与发病的关系
- 踝关节反复扭伤和不稳
受伤机理:
- 踝关节活动过多或过劳
- 踢球时踝关节囊反复牵扯损伤
- X线显示的骨疣骨唇均在关节内与关节囊和韧带无关
- 我们的观点:踝关节超常范围的、不合适的运动,使胫骨或距骨本身或关节软骨因异常撞击、挤压磨损
- 反复多次扭伤
- 一次严重扭伤
骨疣、骨唇成因:
- 软骨缘的长期磨损
- 间断的挤压和撞击刺激
病理改变:
- 滑膜的改变
- 关节内骨疣、骨唇以及骨的改变
- 关节软骨的改变
- 肌腱的改变
手术治疗:切开;关节镜
腓骨肌腱外伤性脱位▲▲▲
受伤机制:
- 肌腱作用于支持带使之断裂
- 踝关节内翻位时突然被动背伸,腓骨肌突然反射性收缩
- 足处于轻度外翻位时,腓骨肌突然急剧收缩
损伤病理:
- 急性伤:腓骨肌上支持带断裂,使腓骨长短肌脱位,滑向腓骨前方。
- 陈旧伤:如果急性伤治疗不及时,久之变成习惯性脱位。
- 支持带部分断裂
- 支持带完全断裂
- 支持带断裂及撕脱骨折
症状及体征:
- 急性伤后在外踝下后部支持带撕裂处有肿胀、锐性压痛
- 抗阻力外翻检查疼痛加重,或可见肌腱脱位
诊断:
- 照片发现外踝后有撕脱骨折片可确诊
- 踝关节抗阻外翻检查很重要
- 由于腓骨肌腱损伤脱位后很容易复位,所以易误诊为踝外侧副韧带损伤
治疗:
- 保守:石膏固定轻度跖屈位5-6周
- 手术:缝合支持带;骨片转移;支持带重建
运动员的副舟骨损伤▲▲▲
解剖:圆形,与舟状骨体无接触面,像髌骨一样长于胫后肌腱上,其底面为关节面,一般不产生症状。
长形,舟状骨的颈较长,副舟骨与之接触,为圆形或三角形,此型很易受伤引起症状。副舟骨与舟状骨之间的连接组织为玻璃软骨,纤维软骨。
受伤原因及损伤机制:外伤所致,少数与劳损有关,多伴有平足。
病理改变:
- 损伤副舟骨的骨质改变
- 副舟骨与舟状骨连接组织的改变
- 胫后肌腱腱鞘改变
症状及诊断:
早期多因急性扭伤引起,常被外侧副韧带损伤的症状所掩盖,恢复运动后,因内侧疼痛而被发现。主要症状表现为蹬地、跑跳时疼痛加重。
临床体征:副舟骨部突出,局部压痛,足内收抗阻痛。

距后三角骨、第二距骨损伤▲▲▲
解剖:外结节、内结节
受伤机制:足剧烈跖屈损伤
病理:末端病表现
症状及诊断:跖屈痛、屈拇长肌腱炎
治疗:封闭、制动、手术
鉴别:跟距后关节骨关节病;第二距骨损伤


距后三角骨损伤

距骨后突延长

第二距骨损伤
踝关节撞击综合征▲▲▲
1950 WOLIN首先描述踝关节内半月板样损伤。1991 ANDREWS确认上述损伤是因距腓前韧带撕裂后断端嵌入踝关节前外侧沟中形成,并报告切除这种损伤可缓解踝关节肿痛。
1991 FERKEL通过组织病理学分析证明其为增厚的滑膜组织。从此开始将踝关节无骨折脱位的长期肿痛称为踝关节软组织撞击综合征。
- 前外侧撞击综合征
- 前内侧撞击综合征
统称为踝关节软组织撞击综合征
- 踝前撞击综合征
以上三者统称为踝关节前方撞击综合征
体征:前内或前外间隙压痛;部分病人关节肿痛、背伸受限、不能下蹲。

诊断:踝关节扭伤史、X线无明显异常、踝前疼痛肿胀、经休息及非手术治疗不明显者应考虑为本病。
治疗:踝关节封闭—控制炎症;踝关节镜手术效果较好。

玖玖骨科平台致力于为骨科医生、患者提供优质产品、服务的中国骨科疾病专业管理平台。上玖玖骨科,骨科需求一站式解决。微信关注“玖玖骨科”公众号,请搜索jiujiugk