肾癌是多血管肿瘤,常有大的侧枝静脉,手术容易出血,且不易控制。近日,某医院利用 安徽紫薇帝星数字科技有限公司 三维可视化技术成功完成了一例肾癌切除手术!


原始数据

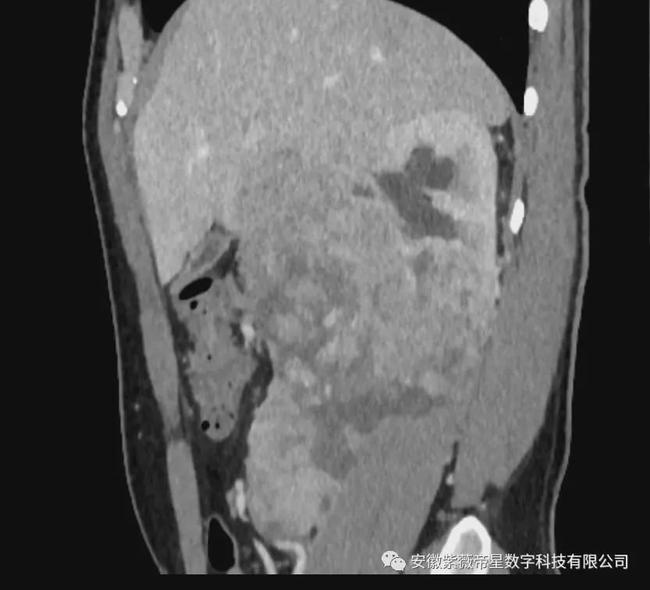
矢状面
肾癌又称肾细胞癌(肾腺癌),起源于肾小管上皮细胞,包括起源于泌尿小管不同部位的各种肾细胞癌亚型,但不包括来源于肾间质的肿瘤和肾盂肿瘤,是最常见的肾脏实质恶性肿瘤,可发生于肾实质的任何部位,但以上、下极为多见,少数侵及全肾;左、右肾发病机会均等,双侧病变占1%~2%。由于平均寿命延长和医学影像学的进步,肾癌的发病率相对增加,临床上并无明显症状而在体检时偶然发现的肾癌日见增多。


冠状面

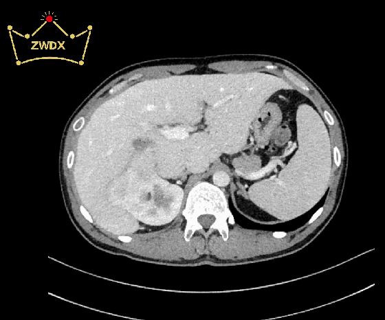
横断面


临床病史: 患者男,35岁,右肾区疼痛三月余,入院检查CT显示,右肾中下极见巨大软组织密度团块影,长度约14.8cm,其内密度不均匀,增强扫描明显强化,与右侧肾盂、肾盏及输尿管移行部分界不清,贴近临近肝脏、下腔静脉。右侧肾盂、肾盏扩张、积水。右肾未见明显异常强化。
三维助力: 专家团队利用 安徽紫薇帝星数字科技有限公司 三维可视化技术对患者进行全面评估,并借助软件中的仿真模拟手术制定手术切缘,精心制定了手术方案及应急预案,成功为患者进行了肾癌手术切除。

紫薇帝星三维可视化重建结果
三维可视化全景

整体图

占位与动脉血管关系图

占位与肝脏关系图

占位与门静脉血管关系图

占位与右肾脏关系图

占位与静脉血管关系图

占位与淋巴结关系图

TIPS:肾癌手术
肾癌手术分为单纯性肾癌切除术和根治性肾癌切除术,目前公认的是根治性肾癌切除术可以提高生存率。根治性肾癌切除术包括肾周围筋膜及其内容:肾周围脂肪、肾和肾上腺。
肾癌是多血管肿瘤,常有大的侧枝静脉,手术容易出血,且不易控制,因此肾癌手术时应争取先结扎肾动脉和肾静脉。 紫薇帝星三维可视化技术,可提前看清血供及周围组织关系,实现可视化、动态化、实时化,用于精准结扎占位周围血供血管,减少手术中出血和可能引起的肿瘤扩散,为肾癌患者点燃新希望!


