军团菌肺炎,你知道多少?
军团菌是潜伏在我们身边的“杀手”,它的部分症状和新冠肺炎较相似,且易发展为重症,病死率为5%~30% [1] 。军团菌侵入人体后,进攻凶猛,7天内就可导致患者死亡,患者死亡大都因为呼吸衰竭,其次为休克和急性肾功能衰竭等。
1
军团菌的由来
军团菌也称为“退役军人杆菌”,1976年首次在美国费城退伍军人年会期间爆发,221人患病,34人死亡,从尸检组织中分离出病原体并将其命名为军团菌。目前已知军团菌有52个种,3个亚群,70个血清型,与人类疾病相关的有24种,其中最常见的是嗜肺军团菌,主要引起军团菌肺炎[2]。
军团菌在25℃~43℃繁殖,最适宜生长温度是35℃,每年7、8、9月军团菌肺炎较高发。军团菌很喜欢在温水及潮热的地方生存蔓延,空调、热水器、淋浴器、温泉等都是它生长繁殖的温床。
所以夏天开空调前,建议对空调进行适当清洗并消毒。预防军团菌可根据不同情况选择消毒干预措施:(1)铜银离子(2)加热至60~77℃和冲洗(3)对局部地区进行紫外线照射等。
2
致病机制
军团菌的致病机制主要有两个方面:一是细胞内生命循环,二是细菌的毒力岛基因组和毒力基因 [1] 。
1.细胞内生命循环:军团菌,通过细菌的黏附素和侵袭素侵入人体巨噬细胞,在胞内繁殖,形成吞噬小体、毒素和毒力因子。
2.毒力岛基因组与毒力基因:根据核苷酸序列分析,在嗜肺军团菌约80000 bp基因区域含有一个相对分子质量为65000的毒力岛。这些毒力基因对于细菌侵袭宿主细胞,*伤杀**人巨噬细胞和在细胞内繁殖起重要作用,是嗜肺军团菌致病的重要因素。
3
什么时候考虑军团菌肺炎
军团菌传播途径类似于新冠病毒,人体因吸入含有军团菌的气溶胶感染而致病!该菌自呼吸道侵入人体,引起肺炎、胸膜炎、呕吐、腹泻、甚至休克和死亡。而且军团菌肺炎专捡“软柿子捏”,免疫力低下人群,比如老人、儿童、孕妇、基础病的患者,常常是他关注的对象。根据WUH评分系统[2],如果以上人群出现:(1)体温>38.9℃(伴有相对缓脉);(2)血沉>90 mm/h或C-反应蛋白>180 mg/L;(3)铁蛋白高于正常2倍;(4)低磷血症;(5)磷酸激酶升高>2倍;(6)入院时镜下血尿。如有大于其中3项,且对β-内酰胺类抗菌药物无反应时,则高度怀疑军团菌肺炎。
或者根据《中国成人社区获得性肺炎诊断和治疗指南(2016年版)》当成人CAP患者出现伴相对缓脉的发热、急性发作性头痛、非药物引发的意识障碍或嗜睡、非药物引起的腹泻、休克、急性肝肾功能损伤、低钠血症、低磷血症、对β-内酰胺类抗菌药物无应答时,要考虑到军团菌肺炎的可能。
4
军团菌的诊断 [1]
(1)军团菌培养阳性是诊断军团菌感染金标准,但阳性率低,先期的抗感药物使用可能造成假阴性,采用支气管肺泡灌洗(BALF)和肺活检标本可提高阳性率。
(2)肺军团菌1型尿抗原检测可用于早期快速诊断,结果不受先期抗感染治疗影响。
(3)合格下呼吸道标本军团菌抗原检测虽然具有快速、简便、可进行属种鉴定、可区分亚型等优点,但敏感性,特异性较差。
5
影像特点
军团菌肺炎胸部影像相对特异性的表现是磨玻璃影中混杂着边缘相对清晰的实变影。虽然临床症状改善,影像学在短时间内仍有进展(1周内),或肺部浸润影几周甚至几个月后才完全吸收也是军团菌肺炎的影像学特点 [3] 。

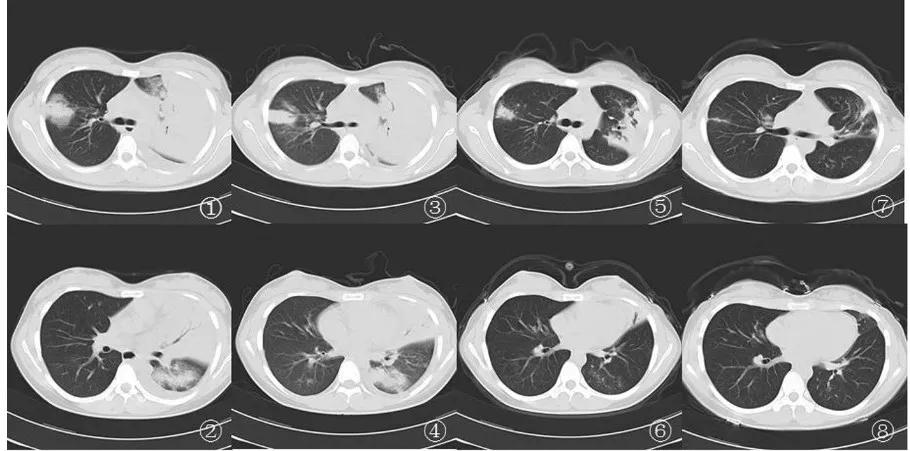
图1①-⑧
注:①②患者入院第1天胸部CT示双肺多发斑片样渗出影,左上肺实变,内可见支气管充气征,伴有左侧少量胸腔积液;③④治疗1周后右上叶渗出影略有减小,左侧胸腔积液减少(胸穿术后);⑤⑥治疗6周后双肺渗出影明显吸收好转;⑦⑧双肺渗出影基本吸收,左上肺叶遗留纤维索条影和坏死物质排出后形成的空腔 [4] 。
6
治疗
军团菌是一种胞内寄生菌,通过呼吸道进入人体后侵入巨噬细胞进行生长繁殖。因此,对军团菌有效的抗感染药物取决于抗军团菌活性及其在肺泡巨噬细胞中的浓度。β内酰胺类及氨基糖苷类药物因无法穿透细胞膜,对军团菌肺炎治疗效果很差。经筛选目前可用于治疗军团菌感染的常用药物包括喹诺酮类、大环内酯类、多西环素,另外替加环素、复方新诺明及利福平也被证实对军团菌感染 有效。
对于免疫功能正常的轻、中度军团菌肺炎患者,可采用大环内酯类、呼吸喹诺酮类或多西环素单药治疗;对于重症病例、单药治疗失败、免疫功能低下的患者建议喹诺酮类药物联合利福平或大环内酯类药物治疗。当喹诺酮类药物联合大环内酯类药物治疗时,应警惕发生心脏电生理异常的潜在风险。
具体用法[5]: 首选左氧氟沙星750mg,口服/静脉注射,每天一次,连用7-10天;莫西沙星400mg,口服/静脉注射,每天一次,连用7-10天;或者阿奇霉素500mg,口服/静脉注射,每天一次,连用7-10天。利福平每次300mg,口服/静脉注射,每天两次(非强制使用),与其它所列的药物联合使用。
替代方案:红霉素1g/6h,静脉注射,然后每次500mg,口服,每天4次,共7-10天。环丙沙星400mg,每隔12小时一次,静脉注射,然后每次750mg,口服,每天2次,共7-10天。
其它感染部位: 心内膜炎:氟喹诺酮类(同上述肺炎)+利福平每次300mg,口服,每天两次,连用4-6周,通常需要瓣膜置换术。
参考文献:
[1]中华医学会呼吸病学分会.中国成人社区获得性肺炎诊断和治疗指南(2016年版)[J].中华结核和呼吸杂志,2016,39(4):253-279.DOI:10.3760/cma.j.issn.1001-0939.2016.04.005.
[2]梁思聪,陈愉.军团菌肺炎的诊治策略[J].中国实用内科杂志,2020,40(5):357-361.
[3]庞莉,张杜超,秦崇,刘佳,潘磊.社区获得性军团菌肺炎39例临床分析[J].标记免疫分析与临床,2021,28(5):748-752.
[4]尚月静.社区获得性军团菌肺炎的影像学表现及其诊断价值[J].基层医学论坛,2011,15(28):938-940.
[5]约翰.霍普金斯,ABX指南.p334-335.
本文首发:医学界呼吸频道
【版权声明】本平台属公益学习平台,转载系出于传递更多学习信息之目的,且已标明作者和出处,如不希望被传播的老师可与我们联系删除