血管周围间隙的解剖:
血管周围间隙包绕在经蛛网膜下腔进入脑实质的小血管(动脉、小动脉、静脉、小静脉)壁周围,并不与蛛网膜下腔直接相通
脑动脉皮质支外被以柔脑膜,它是由软脑膜延伸而来,由此可知皮质动脉的血管周围间隙是蛛网膜下腔内动脉的血管周围间隙的直接延续
大脑皮质静脉周围缺乏柔脑膜,这表明静脉的血管周围间隙与软脑膜下腔直接相通
基底节静脉周围没有柔脑膜,与皮质静脉一样,它的血管周围间隙与软脑膜下腔直接相通。
基底节动脉被覆两层柔脑膜,两层柔脑膜之间为血管周围间隙
内层的柔脑膜紧贴血管外膜,外层的柔脑膜毗连脑的神经胶质界膜,是脑和前穿支表面软脑膜的延续。
脑实质内的组织间液通过细胞外间隙弥散而从脑灰质中排出,之后沿着血管周围间隙流动。动物示踪研究和人脑病理分析证实血管周围间隙从脑内运输溶质,事实上是脑的淋巴回流通道。
发病机制:
节段性坏死性血管炎或其他原因引起动脉壁通透性增高;
脑脊液回流受阻使组织间液排出障碍,从而导致血管周围间隙扩大;
血管迂曲及脑萎缩;
沿动脉长轴分布的血管周围间隙纤维化和闭塞阻碍了液体流动,
MRI特点:
血管周围间隙的信号特征:
肉眼观察血管周围间隙在MRI的各种成像序列上与脑脊液信号一致在T2WI 测量这些信号值却比脑脊液信号低,这也说明血管周围间隙内包含的是组织间液。
DWI上弥散不受限
增强后血管周围间隙无强化
小至中等大小(直径 2~5mm)的血管周围间隙的邻近脑实质一般无信号异常。
扩大的血管周围间隙常分布于三个特征性的部位:
Ⅰ型见于豆纹动脉经前穿支进入基底节处
Ⅱ型分布于脑的穿髓动脉进入大脑凸面并延伸至皮质下白质处
Ⅲ型见于脑干
其他较少见部位:丘脑、小脑、岛叶、最外囊及海马。
根据扫描的层面不同血管周围间隙可呈椭圆形、圆形、线状或管状,通常双侧对称、边界清楚,直径在5mm以下。

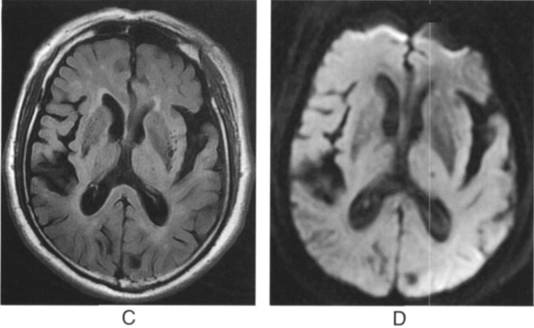
A.横断位T1WI显示双侧基底节多发斑点状低信号灶;B.T2WI显示高信号C.FLAIR成像显示为脑脊液信号,其周围脑组织信号正常D.DWI显示无弥散受限

横断位T2WI显示双侧半卵圆中心多发斑点状高信号灶;B.同一层面FLAIR显示为斑点状低信号,周围脑实质信号正常。左侧半球两个病灶(箭示)显示为中央低信号,周围高信号,此为陈旧性腔隙性脑梗塞

矢状位(A)及横断位B)T1WI显示脑干管状低信号灶;
C.T2WI显示脑脊液样高信号灶