
大家无论夏天还是冬天
都喜欢喝奶茶
奶茶在不知不觉间
已经成了很多人生活的标配
出门逛街喝一杯
下午茶喝一杯
加完班喝一杯
……

近日,14岁女孩喝了珍珠奶茶后,
五天没有排便,还肚子疼,
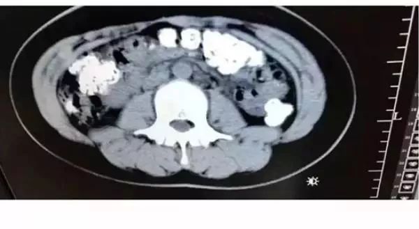
CT检查发现
胃肠道布满一颗颗圆圆的高密度阴影
——没有消化的“珍珠”。

本文图均为 浙江24小时 图
5月28日晚,女孩小沈(化名)在父母陪同下到浙江诸暨市人民医院急诊,说肚子疼,几天无法排便,也吃不下东西。
接诊医生张楼炜见她肚子鼓鼓的,便安排了腹部CT,检查结果让他一惊:患者胃部、横结肠、升结肠、降结肠、乙状结肠,一直到肛门,全是颗粒状阴影,足有百余颗。

张楼炜问小沈最近吃过什么不易消化的食物?女孩吞吞吐吐地说5天前喝过珍珠奶茶。

“小女孩可能是怕父母说她,而隐瞒了病史——这么多未消化的‘珍珠’不像喝一杯奶茶就积累的,应该是近期喝了一段时间造成的。”张楼炜推断。之后,他给患者开了润肠通便的药物,帮助将未消化的“珍珠”排出体外。
诸暨市人民医院急诊科主任何玉领6月4日告诉记者,珍珠奶茶里的“珍珠”是木薯淀粉制成,本身就不易消化,有的商家为提升口感还会加入增稠剂等添加剂,大量连续食用,极易导致胃肠功能紊乱。
医生建议少喝奶茶!
张楼炜说,至于这样的情况是不是重金属超标,还需要进一步确诊!不过,在他曾经接受的病人中,的确有类似的情况,是重金属超标的。
张楼炜建议:日常生活中,还是尽量少喝珍珠奶茶!因为,大部分奶茶中的“珍珠”除了不消化,还会添加不少食品添加剂、增稠剂以及防腐剂等。
同时,奶茶本身就含有反式脂肪酸,喝多了也会增大心血管患病的风险,体内的激素水平也会偏高。
来源| 诸暨日报爱诸暨、澎湃新闻、浙江24小时


我就知道你在看!