
非常高兴能够与各位同道进行交流。人类长期与结核病做斗争,希望能够想办法遏制它,甚至正式消除它。但目前的形势不容乐观,「新发结核病问题、耐多药问题、一些难治复杂的情况」都是我们在诊治、防治过程中会遇到的,如何更好地使医学界同仁认识结核病现状,同时采取一致的行动?
今天我讲一下在肺结核处理中难度更大、挑战更多的 「免疫功能低下基础疾病患者肺结核诊治」 。
综合性医院的很多科室都会遇到这些患者,如器官移植、肿瘤、疾病免疫抑制治疗、糖尿病、 HIV and AIDS ……事实上,这部分人群肺结核的感染率和病死率要比一般人群高很多。
我从4个方面与大家进行交流。一、免疫功能低下患者肺结核现状;二、免疫功能低下患者临床特点;三、 诊断和治疗中需要关注点;四、如何发挥综合性医院在免疫功能低下(ICH)肺结核诊治中优势。
一、免疫功能低下患者肺结核现状
我刚才提到,首先, 器官移植 已经作为治疗终末期脏器功能衰竭的重要手段,应用得非常之多。第二, 肿瘤的放化疗技术不断发展 ,但为什么会长肿瘤?为什么随着年龄增长,肿瘤的发生率在增加?因为患者的免疫监视功能下降,再加上肿瘤的放疗、化疗之后,患者的免疫功能会进一步受到抑制。第三, 风湿免疫科的自身免疫性疾病 ,患者需要大量使用(甚至需要终身使用)激素和其他免疫*制剂抑**,一旦停药,自身免疫性疾病就会复发、进展,与此同时,在治疗基础疾病时会出现相应的免疫功能低下,很容易出现感染;第四,现在生活条件好了,营养状态过剩, obesity(肥胖症) 等等疾病患病率高,我们国内做过统计,有接近1亿人群有 糖尿病 的情况,广义上来说,糖尿病也会导致免疫功能低下,所以糖尿病合并肺结核和其他肺部感染的发生率非常高;当然还有一些疾病,如 HIV感染发展成为AIDS ,它是以细胞免疫受损导致的体液免疫受损。
接下来,我们以临床问题、需求为导向,从实际出发谈谈ICH与非ICH(Non-ICH)结核患者有什么异同点,以及我们在诊治上面要特别关注哪些问题。
这张表格把我们国内的相关工作做了些总结:

(ICH为immunocompromised host)
我们可以看到,当通过影像学诊断的时候,「肺结核的病灶分布、形态学、肺内播散、肺外播散情况、有无空洞、胸腔积液」这六方面存在的差异是非常重要的参考。
病灶分布: 糖尿病患者、用激素治疗的患者,肺叶分布差异不明显,而非「多为上叶尖后段、下叶背段」这类具有特征性的变化。所以,即使遇到下叶前段病灶时,也不能排除结核。
通常情况下,肺结核的 形态学特点 是多种形态共存,因为结核病病理生理发展的不同阶段可以在一个患者的影像学表现上同时存在,我们能看到渗出性病灶、增殖性病灶,甚至有纤维结节性病灶的改变。但免疫功能低下的宿主却缺乏多形特征,常呈均匀一致片状浸润。
免疫功能低下的人出现 肺内播散、肺外播散 的概率要更高。当患者免疫功能低下时,除了肺结核,我们也要想到会不会并发脑膜炎、椎旁脓肿?会不会出现脊柱结核、肝脏结核甚至盆腔结核?毕竟免疫功能被抑制后,病灶不会局限在一个部位。
此外,免疫功能低下的患者 空洞 相对少见、 胸腔积液 相对多见。
二、这是典型肺结核X线诊断特征:

目前的最新分类为:Ⅰ型: 原发综合征; Ⅱ型: 血行播散型; Ⅲ型: 继发性肺结核 (浸润性肺结核,空洞性肺结核,结核球,干酪样肺炎,纤维空洞型肺结核等); Ⅳ型: 结核性胸膜炎。

从影像学上,有可能表现为Ⅲ型继发性肺结核,也有可能更像原发综合征——有肺部淋巴结肿大、有肺内实质的浸润等等。

还有单一的结核球改变,看了影像后应不太会忘记。(卫星灶 2~4cm,多小于3cm)
对于ICH的肺结核病影像表现,我与大家分享一些病例
病例1:
68岁,男性,2017年1月入院。主诉:反复发热2月,右侧胸隐痛;现病史:胸部CT示双肺散在炎症,抗感染治疗(头孢菌素、呼吸喹诺酮)后有吸收;但症状反复。
寻常型天疱疮,长期美卓乐、硫唑嘌呤治疗;类固醇性糖尿病。
CRP 196↑ mg/L;白细胞计数 9.12 ×10^9/L 中性粒细胞% 98.2;反复痰找抗酸杆菌(-)。
右侧胸腔穿刺,抽得脓性胸水,胸水涂片见抗酸杆菌4+。

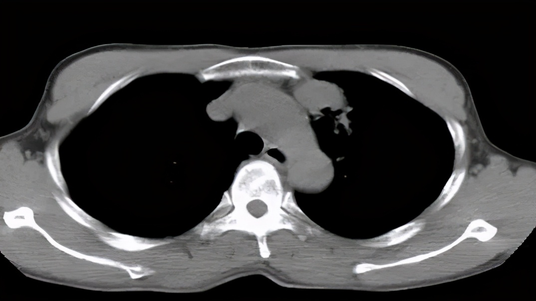
图:2017-1 胸部CT:左肺上叶后段团片影,较前片有所减小;两肺多发炎症,较前片部分吸收;右侧胸膜增厚、胸腔积液,较前片有所增多。
病例2:
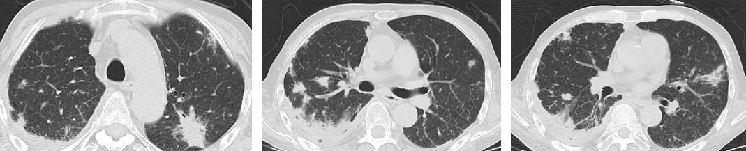
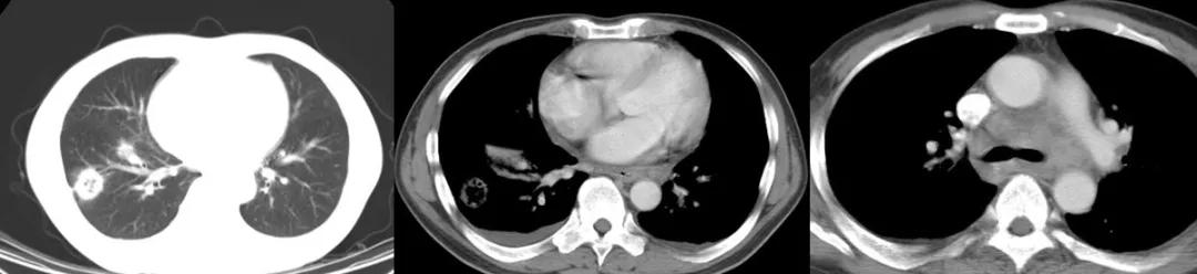
男性,42岁。 2008年诊断干燥综合症,当时胸部影像学未见异常。糖皮质激素30毫克/日 ,减量过程中口干症状加重,2009年7月再次全身检查,胸部CT见左上肺尖段软组织影,伴空腔。(似乎存在空洞,有些低密度区,但究竟是不是空洞呢?需要进一步确认。)


病灶穿刺病理:肉芽肿性炎伴坏死,抗酸染色+。
抗痨治疗6月后:

病例3 :
男,50岁,发热1月;骨穿:感染象;胸部CT:右肺阴影,纵膈淋巴结肿大。
这位患者入院时,完全像是白血病化疗过程中出现的改变,那么,会不会是白血病的肺部浸润呢?但是白血病肺部浸润较多见间质的浸润,而这位患者病变呈片状,是实质性的浸润……我们给患者做了骨穿,证实是感染象。


最终痰抗酸染色阳性、血HIV阳性;患者为同性恋。
病例4:
男性,26岁。2015年8月入院,因「咳嗽、咳痰一个半月,胸痛半月,加重伴高热一天」入院。 糖尿病病史8年余,平素血糖控制差,入院时尿酮体+++。
(一个半月前无明显诱因下出现咳嗽、咳痰,起初为白色泡沫痰,后逐渐转为黄绿痰,量逐渐增多,咳嗽为阵发性,夜间为著,并半伴有盗汗明显,当时无发热,无明显胸闷、气喘,一直未予以重视,未服用药物治疗,半月前患者出现胸痛,以右侧为著,为持续性痛,深呼吸及右侧卧位时胸痛明显,有肩背部放射痛,后患者胸痛症状逐渐加重,并逐渐出现胸闷、气促,今日患者出现发热,体温可达40.0℃,伴有畏寒和怕冷,自觉胸痛症状明显加重,全身乏力,胸闷、气促症状明显,无心前区不适,遂就诊我院急诊,查胸部CT提示右侧液气胸,压缩约99%;右肺萎陷不张,伴可疑空洞及气液平。为进一步诊治,收入我科。精神萎,胃纳欠佳,夜间睡眠欠佳,近期体重无明显改变。
查体:体温:38.0℃ 脉搏:112次/分 呼吸:30次/分 血压:114/65mmHg 吸氧下指末氧 96%。神清,呼吸急促,精神萎。浅表淋巴结未及肿大。右上肺叩诊呈鼓音,右下肺叩诊呈浊音,右肺呼吸音消失,左肺听诊呼吸音清,未及干湿啰音。心律齐未及杂音。腹平软无压痛未及肝脾肿块。下肢无明显水肿。病理反射未引出。)
最终痰涂片找到抗酸杆菌1+。

图:胸部CT:右侧液气胸,右肺实变,伴空洞及气液平。
病例5:
男,52岁,溶血性贫血,激素治疗43天。

最初完全按照大叶型肺炎、细菌性肺炎治疗,没有明显效果。最后出现播散,用了机械通气,出现气胸等等。

病例6:
这位患者是急性单核细胞性白血病,化疗2个疗程后出现病症——发热、咳嗽,咳黄痰,很多人会因此想到细菌性肺炎。但事实上,做了气管镜、采样、活检,证实有大量的抗酸杆菌。肺组织活检证实是肉芽肿改变,最后确诊肺结核。

经过治疗以后明显吸收好转:

病例7:
患者是混合性结缔组织疾病,激素治疗6个月后出现发热,肺部病灶明显增多,两侧情况不一样,我们冒了很大风险给他做支气管肺泡灌洗,做刷检、做活检,刷检时也找到了抗酸杆菌,但活检的结果是:既有一般的结缔组织的肉芽肿性改变,同时也看到有结核的干酪样坏死。因为患者是在激素减量过程中出现的症状,所以我们考虑是既有结缔组织疾病,又合并了肺结核。

所以,在免疫功能低下、有基础疾病的人群当中,肺部出现病灶,有呼吸系统的症状或有发热,我们鉴别诊断的时候就不能想得那么简单,有时并不是一元论,有时是会出现 混合感染 ,结核可能合并普通细菌感染,也可以和真菌、巨细胞病毒合并呈现,因为在患者免疫功能低下时,很多条件致病菌可以同时出现,肺结核也不例外。
三、诊断和治疗中需要关注点
这也是大家在临床上无法绕开的问题。
1、病原学和(或)病理组织学诊断:
确诊肺结核无非是两种方法,一种是通过病原学和病理组织学确诊,另一种是尚未诊断时进行诊断性治疗,然后回顾性地评估判断。
尤其是免疫功能低下宿主中发生肺结核后,我们要特别关注 无创、有创检查采样技术的应用 。否则如果诊断不清,误诊成一般的细菌性感染,经验性治疗又不断更换方案……再确诊的时候可能就晚了。
早期诊断 非常重要。如果患者没有早期得到诊断,病死率将明显提高,尤其是出现肺内和肺外播散的时候,治疗成功率会明显下降。
除了传统方法,我们应在有条件的医院开展 基因,NGS 等等更多应用。
还有我刚才已经提到 注意结核与其他病原体混合感染 ,这样的思路非常重要。
2、因为免疫功能低下,注意混合感染;
3、肺结核与基础疾病肺部病变共存;
如混合性结缔组织疾病、淋巴瘤、白血病肺部浸润合并肺结核,有时治疗了肺结核,但是淋巴瘤本身没有得到有效治疗。
4、注意肺结核播散;
现在有相对强有力的抗结核药物,一般情况下,尤其是早期诊断的、非免疫功能低下的患者肺内播散概率比较小。
5、肺外结核同时存在。
我们诊断免疫功能低下合并肺结核时,必须做相应的体检,并根据线索做进一步检查来明确或排除是否合并肺外结核。有时肺内结核得到了控制,但肺外结核没有得到有效治疗,继续恶化。如淋巴结结核、椎旁脓肿、脊柱骨结核等需要采取相应的外科处理才能取得较好效果。
6、治疗方面要点。
有几个方面我们需要考虑,1)处理好基础疾病治疗与肺结核治疗关系——很多情况下是以治疗肺结核为主,而兼顾基础疾病治疗的稳态; 2)激素和免疫*制剂抑**使用把握和调节; 3)肺外结核或者播散同步积极有效处理;4)混合感染相关治疗等。
重点强调,激素和免疫*制剂抑**使用把握和调节该怎么进行?
ICH患者确诊肺结核或者混合感染;则考虑停用或者减少糖皮质激素或者其他免疫*制剂抑**的使用。
在实体器官移植而发生肺结核;减少剂量甚至短暂停药不会对移植脏器排异带来极其不利的影响。
遇到抗排异治疗停用或者减量面临实体器官排异导致功能丧失,而不停用、不减量则患者肺结核不能得到控制甚至出现死亡的风险;
以控制肺结核保证患者生命为重点,尤其在肾、肝移植时采用更是如此,可以采用人工肾或者肝替代,一旦感染控制治愈后再择期移植新的器官。
四、如何发挥综合性医院在ICH肺结核诊治中优势

除了肺以外,其他脏器也都存在结核感染的可能!结核病是多系统疾病,综合医院开展诊治具有独特的诊疗优势。另外,综合性医院也是结核病例早期发现、准确诊断的主要场所,是接诊结核的重要战线,下图为有症状结核患者初诊单位构成比,综合性医院占了1/3左右:

提高综合性医院结核诊治能力有利于早期诊断治疗,因为「因症就诊」是发现患者的重要途径,当患者咳嗽、咯血、发烧时通常会进入综合性医院,呼吸及危重症科又常常是首诊科室,可以在第一时间发现患者,及早诊断。而且,院内转诊可以缩短就诊半径,减少就医环节,患者得到及时治疗。

我们需要进行与综合性医院功能定位相匹配和适应的诊治肺结核能级建设:
1、促进完善结核病诊治技术 ;2、肺部疾病病理学科亚专业建设和能级提升;3、肺结核鉴别诊断相关技术和能级建设;4、形成结核病防诊控治康体系;5、肺结核和肺外结核治疗药物和临床技术保障; 6、持续提升ICH肺结核诊治能力。
在综合性医院里需要促进完善结核病诊治技术:

最后,我认为需要持续提升ICH肺结核诊治能力:
各级医师要继续教育和培训 ,不仅是呼吸科、感染科,还有涉及 结核高危人群 的所有专科:如内分泌科;以及涉及 潜伏感染/免疫抑制治疗 的所有专科:如风湿免疫科、肿瘤科、血液科、肾病科; 肺外结核 的相关科室:如骨科、消化科、妇产科、神经内科……
特别要 重视高危人群 ,即糖尿病、免疫*制剂抑**治疗患者;遇到「疑难」病例,永不忘鉴别诊断结核病。
参考文献
[1] S CZ, Q J(瞿介明), HE Lixian . Chinese Medical Journal, 2003,116(11):1717-22(SCI 收录,corresponding author)
[2] 全国第五次结核病流⾏行病学抽样调查技术指导组,全国第五次结核病流⾏行病学抽样调查办公室.2010年全国第五次结核病流⾏行病学抽样调查报告[J].中国防痨杂志,2012,34(8):485-508
[3] 布音代里格尔,阿依努尔·吐尔逊.活动性肺结核患者发现方法的探讨[J].医学信息,2013,(13):455-455,456
专家介绍

瞿介明
医学博士,呼吸内科主任医师,二级教授岗位,博士研究生导师,上海市领军人才,上海交通大学医学院附属瑞金医院*党**委书记,原院长。目前担任中华医学会呼吸病学分会主任委员、中国医师协会呼吸医师分会副会长、上海市医师协会呼吸内科医师分会会长、上海市医学会呼吸病学专科分会第十届主任委员、上海市医院协会副会长。瞿介明教授作为负责人承担国家自然科学基金项目(7项,其中重点项目1项)、科技部国家重点研发项目1项、科技部国家重点基础研究子课题2项等十余项课题。获上海市科技奖进步一等奖,国家教育部科技进步二等奖、上海市科技进步二等奖等科技成果奖共9次,在the Lancet、BMJ、PNAS、AJRCC、JCI、ERJ、Thorax、Cancer Research等国际权威杂志作为第一和通讯作者发表SCI论文100余篇,IF560分,总他引6526次。主编专著或者副主编10部,包括英文版《COVID-19:THE ESSENTIALS OF PREVENTION AND TREATMENT》是Elsevier出版社在新冠肺炎防治领域第一部由中国学者出版的专著。
本文由《呼吸界》编辑 Jerry 整理、排版,感谢瞿介明教授的审阅修改!
本文完
*今条头日**排版:刘旋
未经许可,请勿转载