最近,有位读者询问患上乙肝是否会脸色发黄,家人原本没有感染乙肝,因为和自己长期生活在一起,担心家人会不会被感染乙肝而出现脸色发黄。番茄医生根据这位读者主要关心的内容,解读乙肝和脸黄。

乙肝和脸黄
临床引起脸色黄的原因有很多,也包括一些非病理性原因。乙肝引起的脸黄,主要是由于肝功能受损以后,血清胆红素升高导致黄疸,我们可以从皮肤、尿液、汗液、眼白变黄去观察。只能说,这位读者的脸黄有可能是乙肝引起,这是一个主要排查方向,而且还有一些非疾病引起的脸黄,需要了解。

非疾病引起的脸黄
比如,长期熬夜、长期劳累、长期的睡眠不足,导致肝脏休息不充分,也会暂时出现脸黄,这主要是因为机体和皮肤代谢变慢了,通常也会出现皮肤粗糙,这种是属于生活不规律造成的;还包括吃了一些能引起脸黄的食物,比如长期吃胡萝卜、南瓜、桔子等,它们都含胡萝卜素,还有抗结核药、呋喃类药物等也都会引起脸色发黄。

番茄医生提醒,如果没有身体上的不适,不需要特别治疗,只要停止以上行为,皮肤颜色会逐渐恢复正常的。

肝内外胆管梗阻 胆管上皮细胞恶性肿瘤可能
疾病引起的脸黄
比如,胆道梗阻,胆红素不能顺利排入肠道,也会出现脸黄,临床上属于梗阻性黄疸。当一个人长期营养不良时,身体的代谢水平会相应下降,也会脸黄,也就是我们日常指的面黄肌瘦。

新生儿黄疸 多属于间接胆红素升高 即溶血性黄疸
肝脏受到药物、酒精、病毒等影响,引发肝损伤以后,也会造成肝脏处理胆红素异常出现黄疸,也就是临床的肝细胞性黄疸。当然,还有一种比较常见的溶血性黄疸,发生在急性溶血时期,胆红素比健康状态下明显增多,超出了肝脏处理能力,也会引发黄疸。

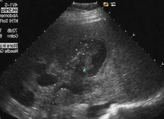
案例图:乙肝病史十年 超声显示肝实质回声增粗,增强
所以,根据这位读者是一位乙肝患者,近期又有脸黄症状,可优先排查肝功能、肝脏B超、病毒载量等指标。对于健康人出现脸黄,比如读者的家人是没有感染乙肝的情况,要优先排查以上非疾病原因,然后才是疾病原因引起。