
编前语
在不久前结束的中国康复医学会呼吸康复专业委员会第四届学术年会上,病例汇报决赛成了与会人员最关注的环节和亮点,本次病例大赛全国105家医院112份病例参赛、20个病例入围复赛,最终,6个病例入围全国总决赛的病例进行现场角逐。《呼吸界》将陆续给大家推送前三等奖的6篇精彩内容。(获奖团队请见后文)
患者,女性,47岁。主因「咳嗽28年,进行性呼吸困难24年,加重1周」入院。28年前出现咳嗽,雷诺现象,双上肢皮肤变硬,紧绷感,渐扩至面部、躯干,张口受限,Scl 70(+),确诊为系统性硬化症。24年前出现活动后气短、反酸嗳气,皮肤呈蜡样光泽, 双肺听诊可闻及细湿罗音,胸部CT可见双肺散在磨玻璃渗出,NSIP样改变,胸膜下可见小叶间隔增厚;食管下段扩张。发展为间质性肺病。9年前静息状况下即出现呼吸困难,口周出现放射性条纹,肘关节处皮肤变脆薄,关节活动受限,双肺听诊可闻及Velcro 啰音,胸部CT示双肺胸膜下小叶间隔增厚,呈网格样;食管腔扩大。肺功能提示限制性通气功能障碍。超声心动:sPAP 30mmHg;右房增大,RV/LV<1,确诊为肺动脉高压合并右心功能衰竭。1周前呼吸困难症状进一步加重,发生II型呼吸衰竭,遂收治入院。患者早期发病时曾拒绝激素+免疫*制剂抑**治疗。随着病情加重,逐渐增加用药剂量,现维持醋酸泼尼松5mgmgQD;他达拉非10mgQD;托拉塞米+呋塞米静脉泵入;多巴酚丁胺静脉泵入强心;无创呼吸机支持等全面规范的内科治疗,但其呼吸困难症状缓解并不明显,考虑给予患者呼吸康复介入。
我们以MDT合作模式作为基础保障呼吸康复的实施,临床医生、康复治疗师、护士以及其他成员,各司其职又紧密配合,相互沟通及时反馈。这样的工作方式既确保康复安全也提高康复效果。
采用SOAIEP呼吸康复系统对其进行康复干预,该系统包括,主、客观检查,分析与干预,评估与计划6个主要部分。
1、主观观察(subjective)
患者处于卧床状态,神志清楚,但精神较差,消瘦,肌肉萎缩明显,有口唇紫绀,杵状指等体征,且肘关节处有皮肤破损。
2客观观察(objective)
a.检验结果:血常规:血常规:Hb,101g/L(余正常WBC 7.89 x10^12/L,N%:77.2%,RBC:2.17x10 ^12/L);心脏:BNP 259.98ng/ml;肝、肾功:前白蛋白 134.2mg/L(余基本正常范围);血气(FiO2 0.29):pH 7.39,pCO2 75mmHg,pO2 109 mmHg,BE 15.6mmol/L,HCO3- 45.4 mmol/L;淋巴细胞亚群:CD4+Tcell 190cell/ul CD8+Tcell 203cell/ul
b.检查结果:心电图:窦性心律过速,右束支传导阻滞;腹部超声:肝胆胰脾肾未见明显异常;下肢静脉超声:双下肢静脉血流通畅;
c.查体:P2亢进,P2>A2,肺动脉瓣可闻及杂音;双肺听诊可闻及velcro啰音。
d.影像检查:
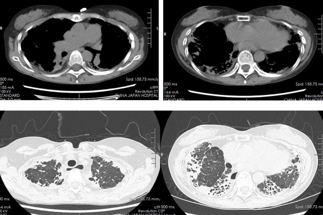
胸部HRCT:双肺小叶间隔增厚,胸膜下可见蜂窝样改变;肺动脉增宽,右心扩大。提示患者存在间质性肺病与右心衰的器质性病理改变。

膈肌超声:L:呼气末:2.83mm;吸气末:3.53mm;增厚分数:24.9%。R:呼气末:0.95mm;吸气末:1.05mm;增厚分数:10.5%。提示患者存在呼吸肌变薄和活动幅度较低的情况。

e. 超声心动:肺动脉高,sPAP:80mmHg; 右心扩大,RV/LV3.29;主肺动脉增宽;三尖瓣反流。
右心导管:肺动脉54/19(31)mmHg; 肺动脉阻力553.1达因 (6.91 Wood) 。

f.肺功能:FVC占预计值的24.8%,提示有严重的限制性通气障碍。

经MDT研判,患者虽然病情较重,但并无康复评估与治疗的绝对禁忌症,呼吸康复适用于该患者,应尽早介入。之后,我们对患者进行了一系列身体功能和活动参与的评估,结果显示患者的基本日常生活能力,肢体与呼吸功能、情感与心理功能均有不同程度的受损。
此外,虽然患者吞咽筛查未见明显异常,但是由于患者存在食管下端明显扩张,可能存在食道潴留的问题,再考虑到患者低体重、低蛋白等情况,我们认为患者维持体重的功能存在着结构和功能的双重影响。

3、分析(analysis)
根据主观观察和客观检查,MDT团队对患者存在的问题进行分析临床方面认为:患者的免疫系统、呼吸和循环系统,消化系统均存在着不同程度的结构和功能上的受损;康复团队更多的关注了呼*储吸**备和心率储备等可能影响康复训练的因素;护理团队则更多的考虑到患者营养状态,情感心理,以及皮肤完整性的问题。经MDT团队讨论认为患者虽然病程时间长,但此前从未接触过呼吸康复,也不知晓如何融入主动参与的呼吸康复。因此近期目标的首要任务为:通过认知行为干预,建立起患者为中心的呼吸康复医患协作关系。对于远期目标,考虑到患者原发病的特点,我们希望患者能够顺利回归社会并恢复尽可能多的自理能力和兴趣爱好,最终提高生活质量。
4、干预(intervention)
呼吸康复认知先行,我们的认知-行为干预分为认知层面和行为层面两个部分,在认知层面上,我们与其进行多次一对一的咨询、访谈,应用「意识觉醒」、「感情唤起」、「自我再评价」、「环境再评价」和「社会支持」等心理学技术。在行为干预层面上,我们采用「自我承诺」、协助关系、情景替代、强化管理和刺激控制等行为学技术,使患者认识到主动参在疾病康复中的重要作用。MDT团队以ICF语言框架为蓝本,参考了慢性呼吸系统疾病和慢性循环系统疾病的综合核心要素,并充分考虑患者的实际情况,为患者制定了全方位的呼吸康复治疗方案。干预不仅包括呼吸、循环、免疫和消化系统药物治疗,也涵盖了对患者及家属的情感支持。还制定了精细的适用于重度肺动脉高压患者的康复处方和生活活动指导及个性化的营养方案。并根据康复训练方案,及时予以调整。
虽然患有肺动脉高压的个体对运动有着异常的肺血管动力学反应,但是在严密监护下进行精心设计的低水平缓慢递增的运动方案对这类患者仍然是安全而又有效的。在我们的病例中,我们采用了低强度有氧耐力训练、低负荷的上肢力量训练和吸气肌力量训练,同时注重患者训练中的呼吸策略和氧疗方式的选择,保证患者康复训练和住院期间的活动安全。住院期间我们采取了一系列的康复措施,如呼吸重构技术、床旁踏车,低强度上肢力量训练等。

值得一提的是,我们的作业疗法师也为患者进行了各种生活活动指导和职业模拟训练。而我们的护理团队,很好的在病房中帮助患者完成了呼吸康复的延续方案。MDT团队通力合作,务实建立了患者主动参与的医患协作管理模式。

营养方面,患者存在着严重的热量和蛋白质的摄入不足,除营养科会诊制定膳食处方外,我还着重分析了患者进食少的原因,如患者因进食慢,食物温度的流失造成了食欲下降,我们建议患者使用可加热饭盒,仍能保证膳食的温度,以更好地增加患者的进食量。而这些细节,也更让患者切实体会到医患之间关怀与支持。

随着呼吸康复的进程,我们和患者之间初步建立了患者主动参与的医患协作管理模式,为出院后建立长期协作关系打下基础,同时患者的症状也得到了很大的改善。
5、评估(evaluation)
通过评估,我们发现患者的心率储备增加了45次/分,呼*储吸**备也明显增加,呼吸频率由32次/分下降到20次/分,体重也由入院是不足40公斤,增加到了43.5公斤,BMI增加1.56。再次评估康复相关量表和运动测试,患者的日常生活能力达到基本生活自理,因活动受限、症状限制或疾病相关的生活质量也得到了明显改善,心理情感功能趋于正常,呼吸肌功能和运动耐量也有了全面的提升。
复查超声心动,我们惊喜地发现患者的肺动脉收缩压有了显著的降低,由入院时的80mmHg降低至59mmHg,RV/LV比值也明显减少,由3.29降至1.05。

6、计划(plan)
综上所述,我们认为此患者的呼吸康复取得了阶段性成果,在和患者沟通后,MDT团队和患者共同决定近期出院。为了使患者更好适应从住院到居家的环境改变,我们在院内模拟居家康复场景,尽可能地发现潜在问题,并提供解决方案,为出院后的康复服务交付打下基础。出院后,物联网康复管理系统成为了康复服务交付的主要工具,包括线上监测用药和康复训练情况,调整居家康复处方,建立无障碍的医患沟通渠道,继续行为学干预,嘱患者记录康复日记,促进其运动行为的养成。
经过MDT团队和患者的共同努力,患者的健康状态和生活质量取得了长足的进步,从入院时卧床的惰态到出院后能自己驾驶汽车带家人出行。我们重新回到ICF语言框架下,对患者的健康状况进行综合的评估,患者在结构与功能,参与与环境各个方面均有明显的改善。通过康复训练患者不仅恢复了基本的生活能力和社会参与,还重拾了兴趣爱好,丰富了娱乐生活,燃起了对生活的激情。

小结
1、肺动脉高压(PAH)患者的呼吸康复方案应由运动疗法、营养支持和心理治疗等多方面多维度组成。心理治疗为呼吸康复的启动提供信心,并为之持续注入动力。
2、呼吸康复的教育应从传统的说教方式转变为促进认知-行为改变,以建立协作性的自我管理模式为目标。
3、PAH的康复训练不是无原则的小心谨慎,而是在循证医学的基础上,应用康复核心技术和专业知识精心设计的低强度和短持续时间且缓慢递增的运动方案。
本病例中,MDT团队依靠慢病管理系统,在住院期间以认知-行为治疗为出发点,着重建立以患者主动参与为目标的「协作性康复管理模式」,在出院后采用「基于物联网的康复维持策略」,并以ICF为蓝本,给予患者全周期的精益化呼吸康复服务交付,具有可复制、可执行、可推广的特点,使药物控制不佳PAH患者不仅改善了原发病,更恢复生活的乐趣,提高生活质量!
参考文献
[1] Mainguy V , Maltais F , Saey D , et al. Peripheral muscle dysfunction in idiopathic pulmonary arterial hypertension[J]. Thorax, 2010, 65(2): 113-119.
[2] Whaley M, Brubaker P, Otto R, Armstrong L. American College of Sports Medicine ’ s guide to clinical exercise testing and prescription. Philadelphia: Lippincott Williams & Wilkins; 2013. p. 2013.
[3] Bolton CE, Bevan-Smith EF, Blakey JD, Crowe P, Elkin SL, Garrod R, et al. British Thoracic Society guideline on pulmonary rehabilitation in adults. Thorax. 2013;68(Suppl 2):ii1 – 30.
[4] Waller L , Karsten K, Conrad K , et al. Effects of Different Types of Exercise Training on Pulmonary Arterial Hypertension: A Systematic Review[J]. Journal of Clinical Medicine, 2020, 9(6): 125-130.
[5] Burcu C, Meral B G, Müşerrefe N K. Effects of upper extremity aerobic exercise training on functional exercise capacity, respiratory muscle strength and dyspnea in patients with pulmonary arterial hypertension: A preliminary report[C]// Ers International Congress,2017.
[6] Madonna R , Morganti R , Radico F , et al. Isolated Exercise-Induced Pulmonary Hypertension Associates with Higher Cardiovascular Risk in Scleroderma Patients [J]. Journal of Clinical Medicine, 2020, 9(6): 1910-1915.
[7] ACSM. Guidelines for exercise testing and prescription. 10th ed. Riverwoods: Lippincott Williams & Wilkins; 2017.
[8] Nagel C , Nasereddin M , Benjamin N , et al. Supervised Exercise Training in Patients with Chronic Thromboembolic Pulmonary Hypertension as Early Follow-Up Treatment after Pulmonary Endarterectomy: A Prospective Cohort Study[J]. Respiration, 2020:1-12.
指导专家

谢欲晓
主任医师,教授,中日医院康复科主任。兼任全国康复科学首席传播专家;中华医学会物理医学与康复专委会常委兼心肺学组组长;中国康复医学会常委理事兼副秘书长、远程康复专委会主委、运动疗法专委会副主委;中国老年医学会康复分会副会长。

赵红梅
中日医院呼吸与危重症医学科五部副主任,主任医师,教授;中国残疾人康复协会肺康复专业委员会主任委员;中国康复医学会呼吸康复专业委员会副主任委员;中国康复医学会吞咽障碍专业委员会副主任委员;世界中医药联合会肺康复专业委员会副主任委员;Thorax中文版副主编;中国医学装备协会呼吸病学装备技术委员会常务委员;中国医师协会康复医师分会呼吸康复专业委员会主任委员;中国医师协会呼吸医师分会呼吸相关职业发展工作委员会副主任委员;中华医学会康复医学分会心肺康复专业学组委员;中国医师协会呼吸医师分会重症医学工作委员会委员;中国老年医学会呼吸病学分会委员;获得中国残疾人联合会优秀科研成果一等奖(省部级)。

冯鹏
主管护师,中日友好医院呼吸与危重症医学科五部(B栋)护士长;中国康复医学会呼吸康复专业委员会护理学组组长;中国康复医学会呼吸康复专业委员会青年学组委员;中国医学装备协会呼吸病学装备技术专业委员会 护理装备学组 副组长;主持厅级课题一项,参与多项课题。
病例来源:中国康复医学会呼吸康复专业委员会第四届学术年会——病例PK赛决赛6强

本文完
未经许可,请勿转载