5年前,患有晚期卵巢癌的她,历经手术、化疗、腹腔热灌注治疗、抗血管生成治疗,一二三线治疗均告失败。
病情进展,肿瘤增大,造成肠梗阻,接受了肠造瘘手术。
后来幸而遇到免疫治疗,肿瘤奇迹般地完全消失,她也如愿告别了三年的“粪袋”生活。
现在的她,达到治愈标准,回归正常生活。
今天,我们一起走进张女士(化名)一波三折的就医历程。
2017年6月,45岁的张女士因盆腔肿块,在医院做了个大手术。
切除了子宫、双侧附件、大网膜、阑尾及直肠前壁肿物,同时还做了盆腔淋巴结清扫,术后的病理确诊为卵巢癌。
接踵而至的是多周期的化疗。
先是术后洛铂腹腔热灌注化疗,后是静脉化疗。2017年7月,她又使用“紫杉醇+铂”化疗了3个周期。
还没等张女士从恶心、呕吐、脱发等副作用中缓过神儿,病情进展了。2017年11月,复查PET-CT提示:张女士腹膜后多发淋巴结转移,盆腔内多发结节及肿块,考虑转移。
张女士的基因检测BRCA1/2为阴性,医生对此调整治疗方案,应用“多柔吡星脂质体+异环磷酰胺”化疗,张女士又“咬牙”坚持化疗了4个周期。
无奈选择抗血管靶向治疗。
2018年2月,张女士进行复查,CT发现直肠前方肿块增大,而此时,张女士无论如何也不想再化疗了。她来到河南省肿瘤医院免疫治疗科,寻求新的治疗方法。
当时可选用的治疗方法十分有限,高全立主任团队为张女士尝试应用抗血管生成药物阿帕替尼进行治疗。治疗1个月后,复查CT显示肿瘤缩小。

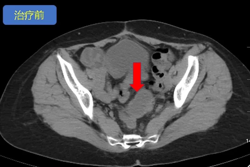
△PD-1抗体治疗前
但好景不长,2018年6月,复查肿块再次增大(图1所示)。同时,由于药物副作用引起的手足综合症(一种皮肤毒性,肿瘤患者在接受化疗或分子靶向治疗的过程中可出现。),疼痛、红斑、肿胀的情况加重,张女士不得已停用了阿帕替尼,治疗陷入僵局。
免疫新药带来希望。
恰逢国内首个PD-1抗体新药欧狄沃上市,张女士和家人得到消息便向医生求证是否适用。
尽管没有卵巢癌的适应证,但有文献报道单用PD-1抗体能让10%左右卵巢癌出现肿瘤缩小,近三分之一的患者可从治疗中获益。
高全立主任团队与张女士和家人充分沟通,张女士将所有希望寄托在这种新的免疫治疗方法上。

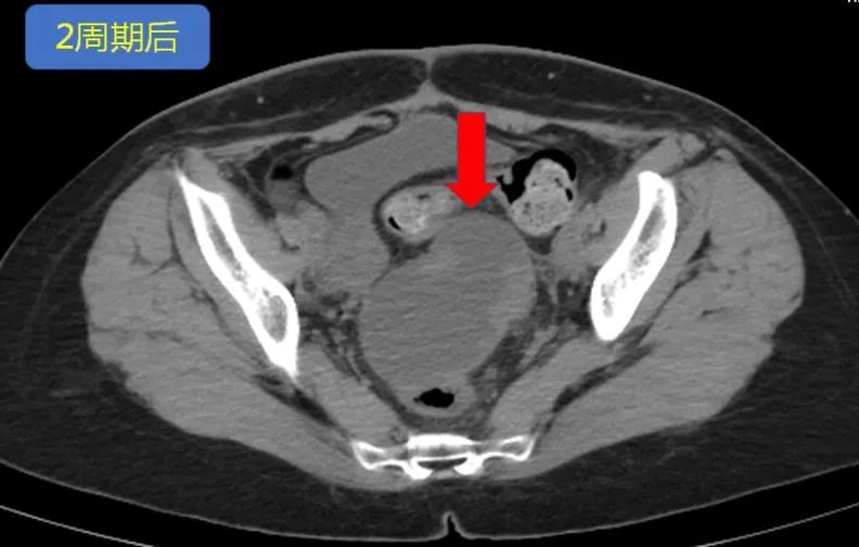
△PD-1抗体治疗两周期后
肿块持续增大!肠梗阻再次手术。
应用PD-1抗体1个多月后,2018年8月,复查发现,张女士盆腔及腹膜后肿块持续增大增多(图2所示)。
雪上加霜的是,张女士因肿块增大,堵塞肠腔,导致了肠梗阻,肚子胀痛,吃东西吐出来,无法放屁、排便,痛苦不堪。普外科袁龙主任医师为其进行了“横结肠造瘘术”。
山穷水尽迎来柳暗花明。
术后,张女士的肠梗阻症状得到了缓解,但是,一道难题摆在免疫治疗科医生面前:最后的救命稻草PD-1抗体治疗也没有效吗?
高全立主任、赵玲娣主任医师和马宝镇主治医师讨论后认为:前期PD-1抗体治疗后,尽管大部分肿瘤增大且出现新发病灶,但阴道残端的肿瘤出现了缩小,提示免疫治疗可能有效,且张女士本人的体力和精神逐渐好转。肿瘤的进展有可能是假性进展,患者应继续坚持应用PD-1抗体治疗。
基于免疫治疗科医生丰富经验的正确研判,张女士继续原方案治疗1个月后,复查CT终于迎来了好消息,腹腔多处病灶明显缩小了,她的体质也日渐恢复,而治疗的过程中几乎没有任何副作用。

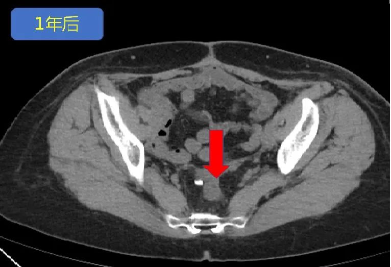
△PD-1抗体治疗1年后,肿瘤几乎完全消失
乘胜追击,肿瘤完全消失。
在后续治疗中,张女士的肿瘤继续缩小。PD-1抗体治疗1年后,肿瘤几乎完全消失,疗效达到完全缓解(图3所示)。2020年6月,在PD-1抗体治疗满两年后,张女士结束了所有治疗。
肿瘤走向治愈,如愿摆脱粪袋。
随着肿瘤缩小,症状减轻,张女士的生活也基本恢复了正常。
但此时她却一度出现了明显的抑郁,甚至不得不口服抗抑郁药物。
原来,结肠造瘘术后,她不得不背着粪袋生活,这对于爱干净的张女士来说难以接受,她多次期望医生再做手术将结肠还回去。

△PD-1抗体治疗结束1年后,PET-CT评价肿瘤仍为完全缓解
2021年7月,张女士停药满一年。医生分析认为,肿瘤再复发的可能性已经很小了。保险起见,张女士进行PET-CT检查,结果显示原肿瘤病灶代谢未见异常(图4所示),疗效评价仍为完全缓解。
基于此,2022年3月,袁龙主任医师为张女士进行了结肠造瘘还纳术。手术进行得非常顺利,张女士摆脱了随身携带的粪袋,回归了正常生活。

近日,基于该病例的研究Complete remission of ovarian clear cell carcinoma achieved after pseudoprogression during PD-1 inhibitor therapy(《卵巢透明细胞癌应用PD-1*制剂抑**治疗出现假性进展后达到完全缓解》)被医学专业期刊Immunotherapy接收。
河南省肿瘤医院免疫治疗科高全立主任:
1.尽管目前还没有卵巢癌的适应证,但已有小样本的临床研究报道,单药PD-1抗体能让10%左右的卵巢癌出现肿瘤缩小,近三分之一的病人可从治疗中获益。在已经没有可选择治疗方案的情况下,经医生与病人及家属充分沟通并签署知情同意书,选择应用PD-1抗体治疗是合理的。
2.尽管越来越多的证据支持PD-1抗体越早应用效果越好,但对于一些像张女士这样经多线治疗后晚期的肿瘤患者,仍有部分人会从PD-1抗体治疗中获益,肿瘤进入晚期并不意味着病人完全丧失了抗肿瘤免疫力。
3.张女士在治疗的过程中出现了假性进展,这需要医生仔细斟酌,切莫将假性进展误诊为真进展,使病人错失最好的治疗方案。
4.尽管有很多文献报道,应用PD-1抗体后出现不良反应的病人治疗效果更好,但没有不良反应的病人也有可能出现很好的效果,张女士就是典型的范例。
5.最后,张女士很有可能获得治愈。尽管目前免疫治疗的完全缓解率仍然很低,但已有文献报道,免疫治疗达到完全缓解的病人,80%左右的患者不再出现肿瘤复发。
(河南省肿瘤医院 马宝镇)